医用敷料,通过物理覆盖屏障创面,吸收渗出液,用于创面护理、止血。也用于手术过程中承托器官、组织等。包括脱脂棉纱布、凡士林纱布、创面敷贴、创口贴、胶原蛋白海绵、粉末敷料、水凝胶敷料、水胶体敷料、藻酸盐敷料、聚乙烯醇泡沫敷料、液体敷料、猪皮生物敷料、活性炭敷料。目前,医用敷料类产品在临床上运用广泛,随着现有医疗水平不断进步,临床患者对敷料类产品各方面的性能要求也不断提高,这促使敷料行业迅速发展。常见的热门敷料有:透明质酸敷料、胶原蛋白敷料、及含抗菌成分的敷料等。医用敷料类产品是医疗器械的重要分支,但并不是所有的医用敷料都可以被称为医疗器械,只有敷料所含成分均不发挥药理学、免疫学或者代谢作用,才能按医疗器械管理,一类医疗器械敷料目前只有创口贴,二类是指具有防组织或器官粘连功能、或作为人工皮肤用于慢性创面(清疡、压疮、褥疮、深Il度或II度烧伤)或者可被人体全部或部分吸收的医用敷料。而对不可被人体吸收的敷料则按照III类医疗管理。
医用敷料应具有的特点
1.使伤口保持恒定的温度(37℃)
2.敷料与伤口接触面需保持一定湿度:有类似于皮肤的水分蒸发率---水蒸气透过率
3.能吸收多余渗出物,有利于引流---液体吸收性
4.防止微生物、有害嶶粒及其他有害物质污染伤口,起到屏障作用---阻菌性
5.移去敷料时不会损伤伤口,容易揭除,不伤肉芽组织,给患者带来较轻的疼痛 ---容易去除、减轻疼痛
6.良好的粘附性,有些敷料自身不具有粘附性,需要第二层敷料覆盖---持粘性、刹离强度
动物试验研究
动物试验研究是许多ll类、lll类敷料医疗器械申报重要的环节之一,其主要内容包括:
(1)动物模型的选择及依据(烫伤、皮肤缺损)
(2)动物试验详细步骤
(3)动物试验所支持的预期用途
(4)评价指标:有效性、安全性
(5)建议与一个已合法上市且临床应用评价高的、纽分和生产工艺类似的器械进行对比。或者是不含银盐成分的产品
杭州赫贝科技有限公司(以下简称赫贝)提供符合CNAS规范的综合性临床前研究服务,与多个企业合作,开发了多款医用敷料的非临床动物实验验证方法,提供产品炎症反应、胶原纤维生成、创口愈合率等多种风险评估以充分评估产品的安全有效性。针对各类医用敷料产品,赫贝在实验方案设计以及执行过程中对动物数量、对照品的选择、随访周期等要求严格按照遵守非临床动物试验设计要求。相关案例如下:
01
创伤修复类敷料
实验目的:通过动物造模评价某敷料对大鼠创伤模型的恢复影响。
动物选择:雄性SD大鼠。
模型建立:背部剃毛并消毒,取大鼠背部10 mm的圆形全层创面,经不锈钢穿刺取出皮肤。每只大鼠2个创面。
观察时间点:造模后1d、5d、8d、11d和14d。
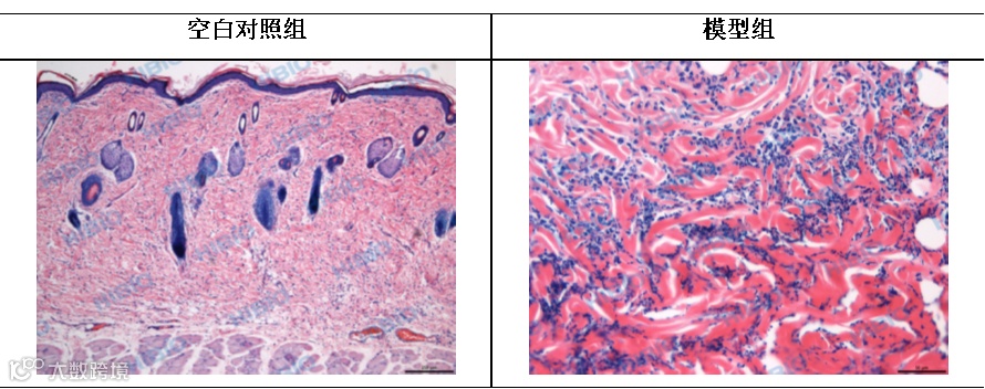
检测指标:大鼠创伤面积,创伤愈合情况,HE染色,Masson染色,免疫组化(VEGF蛋白)。
实验结果图(向左滑动即可查看更多图片)
02
治疗增生性瘢痕类敷料
实验目的:构建大鼠深二级烫伤模型对待测凝胶敷料治疗大鼠增生性瘢痕效果进行评价。
动物选择:雄性SD大鼠。
模型建立
切割造模:以大鼠背部中轴线为轴,中轴线上选取三块区域用于划伤造模。
烫伤造模:以大鼠背部中轴线为轴,左右对称位置各划定2块区域用于创伤造模。
观察时间点:模型构建后7d、14d、21d。
检测指标:创面愈合率观察,创面颜色变化记录,瘢痕硬度检测,瘢痕病理HE及Masson染色。
实验结果图(向左滑动即可查看更多图片)
03
激光损伤修复类敷料
实验目的:通过比较水凝胶敷料和胶原贴敷料的疗效,探讨水凝胶敷料是否对激光损伤后皮肤修复有较好的临床效果。
动物选择:雄性SD大鼠。
模型建立:共8个激光点,2个为空白组,2个为对照组,2个为实验组(I型)及2个为实验组(III型)。
观察时间点:造模后第0、1、4、7、9和14天。
检测指标:创面愈合率,HE染色,Masson染色,免疫组化(PCNA)。
实验结果图(向左滑动即可查看更多图片)
如需更多资料,请电话咨询:0571-28313118。
赫贝获得浙江省专精特新中小企业认定,具备“专业化、精细化、特色化、新颖化”四大特点,赫贝数十年如一日地专注于细分行业,通过创新掌握关键核心技术,练就独门绝活,保证企业发展稳健、专注,完全契合“专精特新”企业发展要求。赫贝致力于新药、新医疗器械临床前CRO服务,拥有6000多平方的专业生物实验室和SPF实验动物中心,具备药理毒理评价资质及CNAs实验室质量认可,是浙江省内规模靠前、技术领先的专业临床前CRO企业。赫贝始终关注创新型医疗器械研发的最新动向以及临床前生物相容性、有效性评价政策法规,已开展多项医疗器械可行性研究和临床前研究项目,推动过多项医疗器械产品通过NMPA审批进入临床阶段和成功上市。旨在加快创新医疗器械产品成果转化,促进医疗卫生事业与大健康产业快速发展。
扫码关注我们
联系电话:0571-28313118
地址:
杭州市余杭区余杭街道智溢路136号2幢3-4层/杭州市临安区锦南街道九州街88号天目医药港C座1-2层
网址:http://www.hi-bio.cn

