
91岁高龄的老奶奶骨折,是选择保守治疗还是选择开刀手术,患者和家属一度犹豫,将希望全部寄托给了医生。

2月27日下午4时许,北海91岁的石奶奶走路不慎跌倒,右髋关节剧烈疼痛,不能自行站立,在外院就医诊断为“右股骨颈骨折”,5个小时后转到市人民医院关节脊柱骨科住院治疗。
“对高龄的老人来说,一方面,长时间卧床可能出现褥疮、肺炎、尿路感染等并发症,文献报道死亡率高达40%,有较高的风险,另一方面,高龄患者往往有较多合并症,手术治疗也存在较大的风险”,该院副院长、骨科博士、主任医师罗世兴说,面对患者和家属的信任,经过深思熟虑,医生决定选择手术治疗尽快再次让患者站起来。

罗世兴说“置换关节手术操作难度并不大,但高龄患者有较高的麻醉风险,尤其是麻醉中骨水泥注入会产生血压急剧下降、呼吸功能丧失的风险,只要麻醉关能过,手术就会比较顺利,就能取得成功”,术前罗世兴和麻醉科副主任医师邓喆进行了充分的沟通,完善相关检查,制定了详细的应急处理方案。

3月2日上午,罗世兴主刀为石奶奶进行“右侧人工关节置换”手术,采取椎管内麻醉,手术过程顺利,仅用时30分钟已完成大部分手术步骤,但手术过程中出现一点小插曲。注入骨水泥前,邓喆提前对石奶奶升压、给氧,但患者的血压、血压氧饱合度仍出乎意外突然往下掉,收缩压从120mmHg一下子掉到70mmHg,血氧饱和度从100%掉到70%”,罗世兴回忆道。
在这一过程中,经验丰富的邓喆一直盯着麻醉显示屏,“立即注入升压药,增加给氧”,患者的血压像过山车一样一下子飙升至200mmHg,“加快补液,继续增加给氧”,整个惊险的过程持续二三十秒钟,一系列熟练有序紧急处理后,患者血压、血氧等生命体征终于平稳下来,这一过程让术者捏了一把汗,手术最终取得成功。
一台手术的成功除了手术医师高超的技术,同样离不开麻醉医师的“保驾护航”。麻醉医师通过密切观察、及时处理手术中各种意外,保障患者在手术过程中生命体征的平稳,确保病人手术过程中无痛、手术顺利进行。

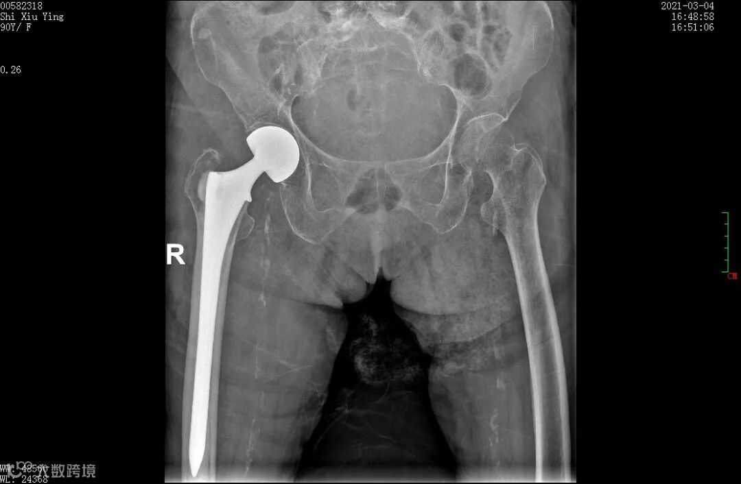
3月4日下午,术后的第三天,石奶奶恢复良好,已经能够下地行走,近期即可出院。
- END -
➤内容来源:北海市人民医院 | 版权归原作者所有
➤图文编辑:北海阿叔|豆腐 |转载请注明
➤北海阿叔 商业推广联系:bhv108(请备注店名)
· 爆款推荐 ·
&
&
&
&
&








