

65岁妇女眼球突出,
检查后发现是罕见颅底沟通脑膜瘤
近日,市人民医院神经外科负责人、主任医师邓峰等医务人员为一名65岁妇女切除罕见颅底沟通脑膜瘤,该肿瘤在颅底匍匐生长,侵犯了眼眶、鼻窦、额颞底部。术后患者突眼回缩满意,12月29日康复出院。


术前ct
11月下旬,患者因右侧眼球突出,在市人民医院眼科就诊,检查发现鼻窦里也有肿物,收住耳鼻喉科,磁共振检查又发现颅底生长有肿瘤,做了鼻窦肿物活检,确定是个脑膜瘤,由于眼眶、鼻窦、颅内都有肿瘤侵犯,12月6日,患者转入神经外科。

术前磁共振检查更清楚显示颅内及右侧眶内、蝶窦内广泛侵袭,局部颅骨增生明显。
由于病情复杂,医院组织神经外科、耳鼻喉科、眼科、放射科、肿瘤科、放疗科、病理科等多学科会诊,制定科学合理的治疗方案。与患者及家属充分沟通后,家属选择了手术治疗。
完善各项术前准备后,12月12日,邓峰、莫贻敏、邓喆等医务人员为患者进行手术,采用右侧翼点入路,术中用高速微型磨钻磨开颅底及右侧眼眶上壁和外侧壁,显微镜下蝶鞍旁、眶内、蝶窦病损切除手术及神经减压术,切除肿瘤大小约4*3cm,手术持续六个小时顺利完成。
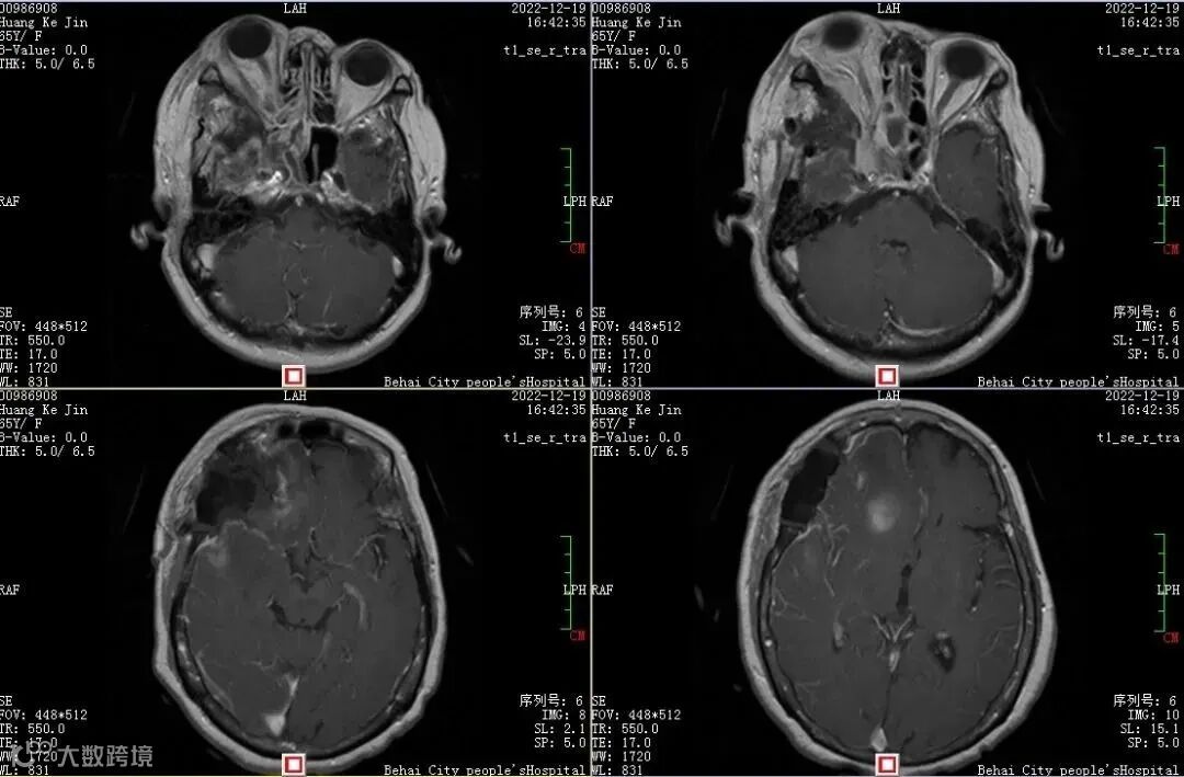
术后1周复查磁共振显示颅内及右侧眶内、蝶窦内肿瘤已切除,突出的右眼球也逐渐回缩。

邓峰介绍,这个良性的颅底沟通脑膜瘤从颅内长到颅外,在临床上相对比较少见,肿瘤在颅底向四周匍匐生长,涉及到颅内以及眼眶、鼻窦,包绕重要血管神经,手术风险高,难度大,最终顺利完成了手术。
术中重建了颅底,术后患者顺利度过了水肿和感染风险,术后病人眼球慢慢回缩,视力还能保留着术前的水平,病人和家属比较满意,康复出院。
- END -
➤图文编辑:北海阿叔-豆腐|转载请注明
➤北海阿叔 商业推广联系:bh9584(请备注店名)
--★--
· 爆款推荐 ·
&
&





