
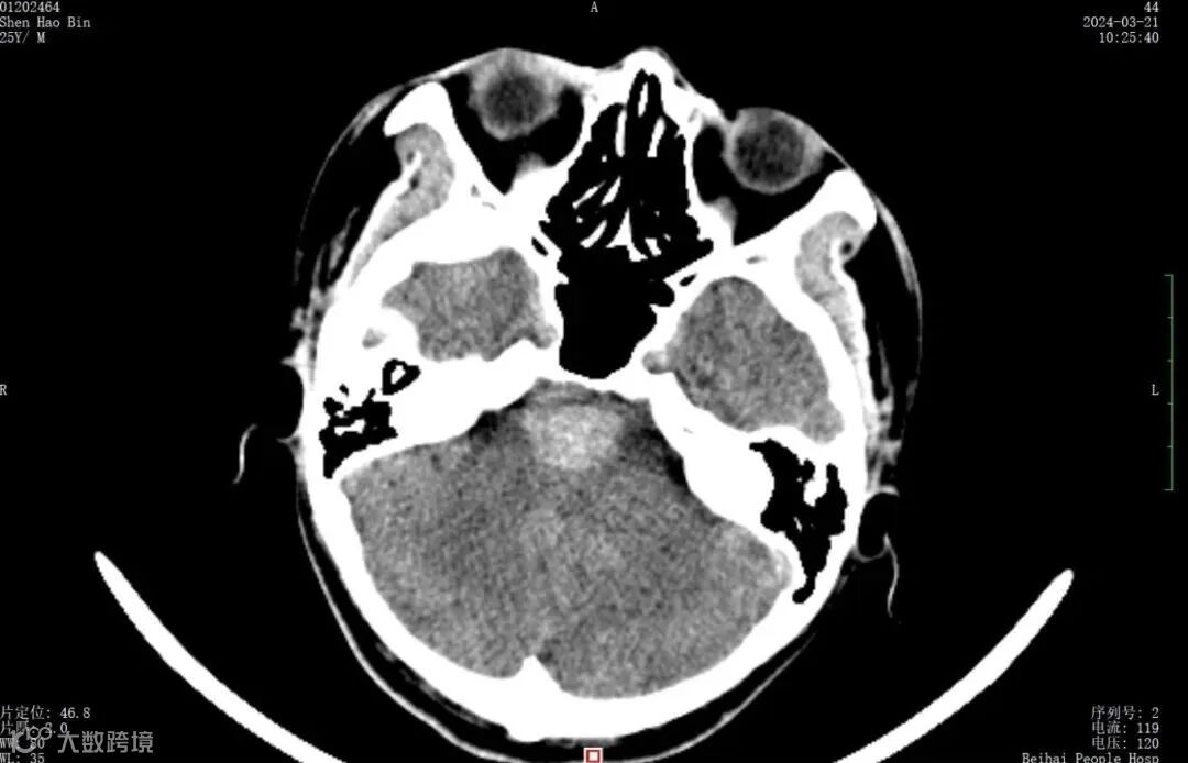
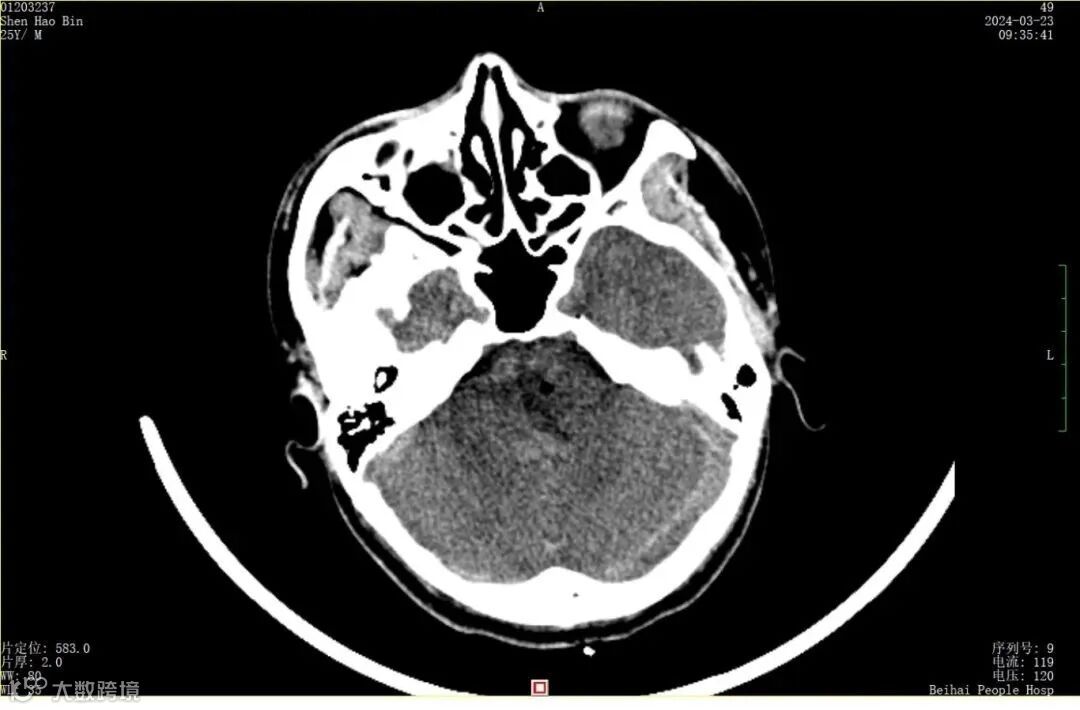
北海25岁男青年头痛5天,检查原来是脑出血
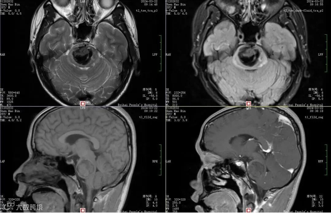
术前磁共振提示海绵状血管瘤合并出血
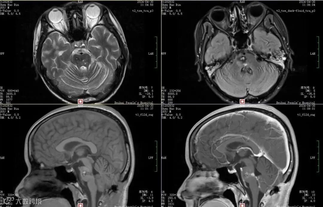
术后CT及磁共振提示病灶清除,术区呈术后改变
温馨提醒:
若出现不明原因的头痛
一定不要轻视
立即前往医院做系统检查治疗
- END -
➤内容来源:北海市人民医院 | 版权归原作者所有
➤图文编辑:北海阿叔-豆腐|转载请注明
➤北海阿叔 商业推广联系:bh9584(请备注店名)


北海阿叔

北海25岁男青年头痛5天,检查原来是脑出血
术前磁共振提示海绵状血管瘤合并出血
术后CT及磁共振提示病灶清除,术区呈术后改变
温馨提醒:
若出现不明原因的头痛
一定不要轻视
立即前往医院做系统检查治疗
- END -
➤内容来源:北海市人民医院 | 版权归原作者所有
➤图文编辑:北海阿叔-豆腐|转载请注明
➤北海阿叔 商业推广联系:bh9584(请备注店名)

