
68岁男子长出鹅蛋大的巨大脑膜瘤
10月18日,一位出院5个月的患者在家属陪同下来到市人民医院,给该院神经外科主任、主任医师邓峰送去一面“医德高尚、医术精湛”的锦旗,感谢医生妙手摘除鹅蛋大小的巨大脑膜瘤。

据介绍,患者刘叔(化姓)是北海人,今年68岁,由于精神障碍,长期服用药物治疗。今年5月初,刘叔开始感觉自己左腿乏力,尤其是走路时感觉特别严重无力,这样的症状持续了大约两周,随后症状加重,导致不能行走。
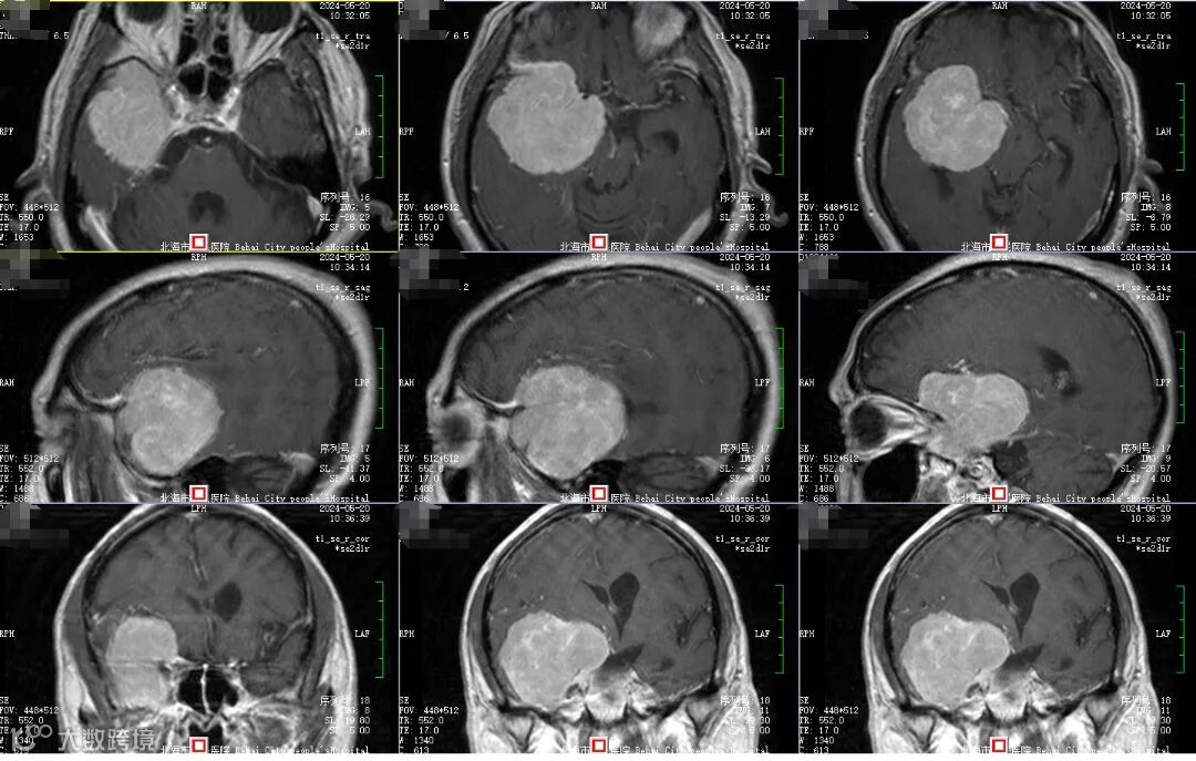
5月中旬,刘叔在家人陪同下来到市人民医院神经外科就诊,经CT检查发现“右额颞叶占位”,也就是说在刘叔脑部发现有一颗肿瘤,再次经过增强磁共振检查后,发现这是颗脑膜瘤长在了右额颞部蝶骨嵴上,大小约为59×61×58毫米。
刘叔的上述症状就是因为这颗巨大肿瘤压迫神经导致,如果不尽快手术摘除的话,肿瘤继续生长会导致患者昏迷,有生命危险。
刘叔家属一度考虑到南宁或广州就医,经过医患沟通,最终选择留在北海手术。面对家属的信任,有30年神经外科工作经验的邓峰选择迎难而上,为刘叔进行手术治疗。

5月下旬,在麻醉科、手术室以及助手莫贻敏的配合下,邓峰主刀手术为刘叔切除脑肿瘤,手术采用右侧翼点入路,在显微镜下进行分块切除。术中发现这颗肿瘤长的实在太大,还包绕了颈内动脉,附近神经受到压迫而移位。
经过6个小时的艰难手术,医生将这颗巨大的肿瘤完全切除,术后刘叔恢复良好,经过一段时间的康复,没有遗留神经功能障碍,步行出院。


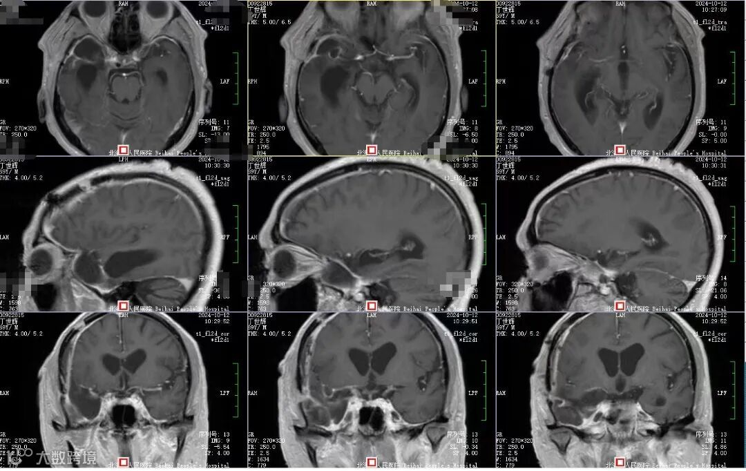
10月下旬,刘叔回到医院复查磁共振,提示肿瘤没有残留或复发,便给主刀医生邓峰送来锦旗表示感谢。
据介绍,今年以来,市人民医院神经外科共完成4例类似上述病例,均能全切肿瘤,术中重要神经和血管保护好,术后恢复良好。
脑膜瘤虽然绝大部分是良性肿瘤,生长缓慢,等到出现症状时肿瘤往往都长得很大了,平时体检做脑部CT或磁共振检查,往往在早期肿瘤比较小的时候就能发现,特别是磁共振检查发现病灶的阳性率更高。能在早期肿瘤比较小时发现,尽早处理,手术难度更小,并发症更少。
专家同时强调,脑膜瘤虽然大部分属于良性肿瘤,但手术后仍有一定的复发率,因此术后定期复查很重要。
- END -
➤内容来源:北海市人民医院 | 版权归原作者所有
➤图文编辑:北海阿叔-泡泡|转载请注明
➤北海阿叔 商业推广联系:bh9584(请备注店名)


