

惊险!北海8岁娃攀高摔成脾破裂多处出血
医生微创"针眼手术"救命保脾
玩耍时的意外坠落,让“切除脾脏”成为迫在眉睫的救命题。一个8岁的孩子将面临什么?是终身免疫风险的隐忧,还是一个全新的希望?近日,北海市第二人民医院肝胆血管腺体外科麻元亮团队用一项精湛技术,给出了一个温暖而坚定的答案。
惊魂一刻
玩耍摔伤,脾脏破裂命悬一线
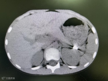
一场快乐的户外游玩,因一次攀高不慎戛然而止。10月13日下午,8岁的小金(化名)在攀爬高处时不慎摔下,因为没有明显外伤,所以当时家长只是带回家观察,并未做特殊处理,直到晚上小金说左侧肋部疼痛越来越剧烈,家长这才匆忙将他送来北海市第二人民医院急诊就医。经验丰富的急诊医生觉察到,小金大概率有内伤!CT检查结果揪紧了所有人的心:脾破裂并出血。

脾脏,质地脆弱如豆腐,是人体重要的免疫器官,也是人体最大的血库。对于成人,危急时刻为保全生命常行脾脏切除术。但面对这个年仅8岁的孩子,一个严峻的抉择摆在面前:传统开腹手术切除脾脏,虽能止血救命,却可能让孩子面临因免疫功能不全而带来的远期感染风险。
生命与免疫的抉择
保脾,就是守护孩子的未来
“孩子还这么小,我们不能轻易放弃他的脾脏!”面对家属的忧惧与期盼,我院肝胆血管腺体外科负责人麻元亮迅速组织科室讨论。切除脾脏是常规且安全的方案,但并非最优解。
为了在“救命”的同时,最大程度地“守护孩子的未来”,团队最终达成一致,并与家属深入沟通后,决定施行一项更精准、更微创的手术——介入下脾动脉栓塞止血术。
“针眼”里的奇迹
局麻下的生命通道
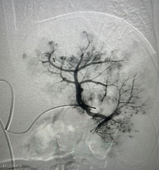
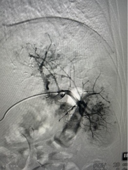
没有大开腹,没有全身麻醉。在患儿勇敢的配合下,手术仅在局部麻醉下进行。医生通过患儿大腿根部一个仅 “针眼”大小的穿刺点,将导管精准送入脾动脉。造影显示,患儿脾脏上下极均有广泛活动性出血,情况危急!
然而,血管外科介入团队沉着冷静,如同精准的导航,通过微导管超选择地将栓塞材料送至出血的血管。瞬间,造影显示活动性出血显著减少,被成功阻断!一场生命的危机,在几乎无创的条件下被化解。
造影脾动脉栓塞以远动脉显影减少,血流速度明显减慢,远端动脉分支造影剂外渗明显减少。

经过后续的精心治疗与观察,患儿目前已恢复良好得以出院。他保住的不仅是一个器官,更是一个无忧无虑、健康完整的童年。
出院后10天复查情况良好
微创介入托起生命新希望
与传统开腹手术相比,介入栓塞术优势显著:
✅ 创伤极小:仅一个穿刺针眼,避免了长长的腹部手术疤痕。
✅ 保留器官:核心优势!成功保住脾脏,守护了孩子宝贵的免疫功能。
✅ 恢复更快:局麻手术,对身体影响小,患儿术后恢复迅速,痛苦轻。
✅ 效果立竿见影:出血即刻被控制,真正做到了“微创治大病”。
如何判断脾破裂
外伤史:脾破裂多由腹部外伤引发。
腹部症状:具有腹部外伤典型症状。
全身出血症状:因失血会出现面色苍白、手脚冰凉、头晕乏力,严重时会意识模糊、晕厥——这些是失血过多的信号。
“肚子被撞后疼,尤其左上腹,还脸色发白、头晕”——这是日常判断脾破裂的“危险信号组合”,此时唯一正确的做法是立即就医,不要自行处理或等待“症状缓解”,以免错过抢救时机。
快乐玩耍≠忽视安全!
孩子玩耍时一定要做好安全防护,攀高、追逐打闹等危险行为需全程看护,一旦发生摔伤、碰撞等意外,尤其是胸腹部受伤,切勿大意,要及时送医检查,避免延误病情。守护孩子安全,才能让他们在快乐中健康成长~
- END -
➤内容来源:北海市第二人民医院 | 版权归原作者所有
➤图文编辑:北海阿叔-泡泡|转载请注明


