
36岁男子春节夜间连续驾车10几个小时
路上意外“中风”,差点偏瘫!
“下高速之前他还和女儿玩,到北海下了高速之后他就不再说话了,眼神看起来很空洞,我跟他讲话也不搭理我,当时我只是以为他开车累了”

术前,左侧大脑中动脉闭塞
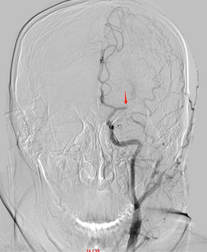
左侧大脑中动脉开通
取出0.5cm的血栓
陈锦艳在评估王先生恢复情况
如果发现患者出现口鼻歪斜、不能说话、手脚无力的症状,极有可能是脑梗,别犹豫,要马上打120,到医院进行溶栓取栓治疗。
- END -
➤内容来源:北海人民医院 | 版权归原作者所有
➤图文编辑:北海阿叔-豆腐|转载请注明
➤北海阿叔 商业推广联系:bh9584(请备注店名)




