
北海一34岁女子腹部疼痛,检查发现8厘米大的囊肿
“我还没生过孩子,这可怎么办?”近期,34岁的李女士(化名)可真是愁坏了。
李女士是北海人,不久前,因下腹不适到外院检查,发现原来是长了一个大小约8cm的囊肿!

“怎么又复发了呢?”李女士感觉非常无奈,原来在3年前,李女士就已经检查出有过囊肿,在外院已经做过囊肿剔除手术了。
焦虑、担心、困惑,李女士来到北海市人民医院妇科就诊,经检查考虑是卵巢巧克力囊肿复发。可能是李女士术后忙于工作等原因,未进行综合管理,也未定期复查,这才复发了。
巧克力囊肿是由于异位的子宫内膜在卵巢内生长,随着月经周期而出血,形成存在陈旧性积血的囊肿。囊肿内容物通常呈咖啡色,黏稠如糊状,像巧克力样,因此俗称“卵巢巧克力囊肿”。
“再做一次手术会不会对以后生育功能造成影响?”李女士对于手术充满了恐惧。
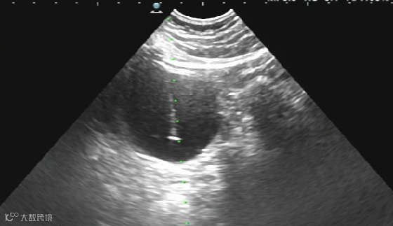
为了打消李女士的顾虑,妇科专家蔡健主任医师及超声医学科专家叶长空主任医师对李女士的病情进行了会诊讨论:根据《子宫内膜异位症诊治指南(第三版)》,对于复发性卵巢子宫内膜异位囊肿(巧克力囊肿),为保护卵巢功能,结合患者的年龄、体征、生育要求,可选择超声引导下卵巢囊肿穿刺硬化治疗。

于是决定为李女士进行卵巢囊肿穿刺硬化治疗手术。在超声科叶长空医生的超声引导下,妇科黄再铭主治医师用一根细针将囊肿里面的液体抽完,随后往囊肿里面注射硬化剂,五分钟后再将硬化剂抽出来,经过硬化囊肿治疗后,再次检查就看不到这个囊肿。
“没想到这么快,半个小时就好了,不用开刀,又很安全,真是既安心又方便,一根针解决了我的大‘囊’题。”李女士在结束治疗后开心地说到。
多数囊肿在体检时发现,如无明显不适症状,一般无需治疗,但需要定期复查以了解囊肿的变化情况。一般肝、肾≥5cm,甲状腺囊肿≥2cm者需要进行治疗。卵巢囊肿因涉及生育功能,且与年龄、月经期相关,需结合具体病情分析;有手术指征者常规行腹腔镜手术,对于有生育要求患者的复发性卵巢巧克力囊肿,建议首选囊肿穿刺治疗。
介入超声是指在实时超声引导下将穿刺针或导管精准地穿刺入病灶,进行活检、置管、注药、消融治疗等操作的技术。使患者避免外科手术的痛苦,并达到与外科手术相媲美的效果。
在实时超声的“导航下”进行操作,精准安全,创伤小、术后并发症少、术后恢复快。
超声设备便于移动,必要时可在床旁进行操作。
浅表器官的穿刺活检,如甲状腺、乳腺、淋巴结、浅表肿物。
腹盆腔脏器占位性病变及弥漫性病变的穿刺活检,如肝脏、肾脏、胰腺、盆腔占位、腹膜后病变等。
胸部脏器病变的穿刺活检,如胸膜、肺周围型占位、纵隔占位等。
胸腔、腹腔、盆腔、心包腔积液穿刺抽液及置管引流术。
经皮肝胆管、胆囊置管引流术。
肝、肾脓肿穿刺抽液及置管引流术。
胸壁手术后积液抽液治疗:


治疗前
治疗后
肝脓肿抽液治疗:


治疗前
治疗后
如乳腺囊肿、肝囊肿、肾囊肿、卵巢囊肿等。
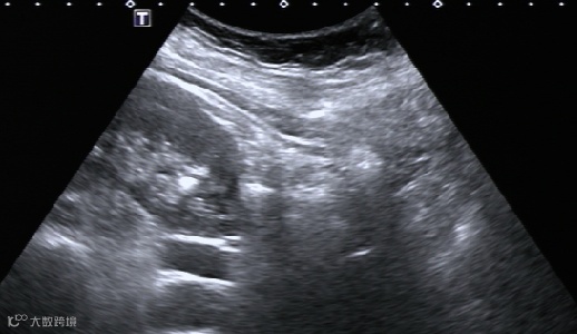
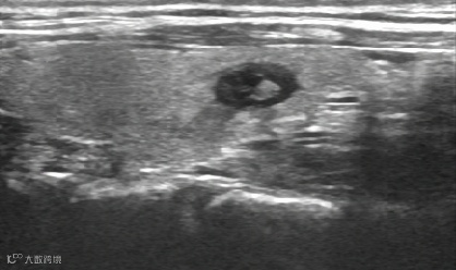
左肾囊肿硬化治疗:


治疗前
治疗后
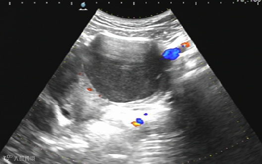
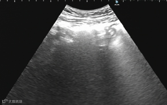
卵巢巧克力囊肿硬化治疗:


治疗前
治疗后
如甲状腺肿瘤、乳腺良性肿瘤、子宫肌瘤、子宫腺肌症等。
甲状腺结节消融治疗:


治疗前
治疗后,结节明显缩小
子宫肌瘤消融治疗:


治疗前,肌瘤大小77X50X76mm。
微波消融治疗后12个月,肌瘤几乎消失。
如腱鞘囊肿、肌腱炎、滑囊炎、滑膜炎、腱鞘炎及各部位关节炎等。
腱鞘囊肿抽液治疗:


治疗前,囊肿大小11X10mm。
治疗后,囊肿消失。
- END -
➤内容来源:北海市人民医院 超声医学科 | 版权归原作者所有
➤图文编辑:北海阿叔-豆腐|转载请注明
➤北海阿叔 商业推广联系:bh9584(请备注店名)






