点击蓝字关注我们↑↑↑↑
《天然产物研究与开发》2020年第十二期目录如下,相关文章已在本刊官网发布(点击左下方阅读原文可查看),欢迎作者查阅下载。


《化瘀通络中药通过TAK1/JNK通路抑制巨噬细胞浸润及活化改善糖尿病肾病大鼠肾脏炎症》代表性结果图



长按二维码
关注公众号
获取更多内容
电话:028-85210304
官网:http://www.trcw.ac.cn
点击阅读原文可查看全文
天然产物研究与开发点击蓝字关注我们↑↑↑↑
《天然产物研究与开发》2020年第十二期目录如下,相关文章已在本刊官网发布(点击左下方阅读原文可查看),欢迎作者查阅下载。


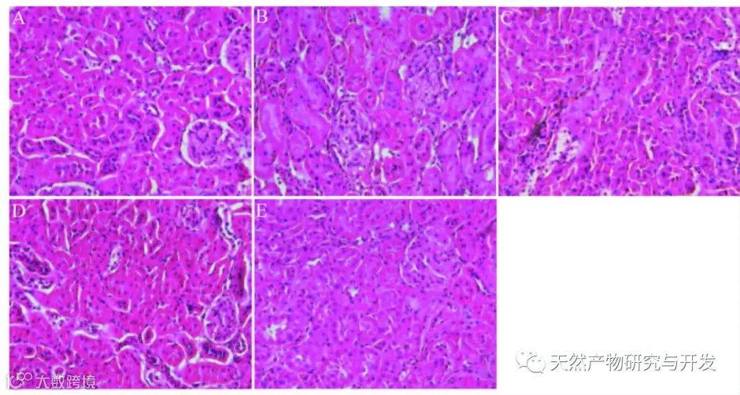
《化瘀通络中药通过TAK1/JNK通路抑制巨噬细胞浸润及活化改善糖尿病肾病大鼠肾脏炎症》代表性结果图



长按二维码
关注公众号
获取更多内容
电话:028-85210304
官网:http://www.trcw.ac.cn
点击阅读原文可查看全文