

为了进一步规范我国自身免疫性肝炎(AIH)的诊断和治疗,中华医学会肝病学分会、中华医学会消化病学分会和中华医学会感染病学分会组织国内有关专家制订了2015年版《自身免疫性肝炎诊断和治疗共识》。
“中华医学会第十七次全国病毒性肝炎及肝病学术会议暨2015年中华医学会感染病学分会年会、中华医学会肝病学分会年会”上,上海交通大学医学院附属仁济医院马雄教授为与会者介绍了该共识要点。
自身免疫性肝炎(AIH)是一种由针对肝细胞的自身免疫反应所介导的肝脏实质炎症,临床特征为血清自身抗体阳性、高免疫球蛋白G和(或)γ-球蛋白血症、肝组织学显示界面性肝炎及对免疫抑制治疗应答,如不治疗常可导致肝硬化、肝功能衰竭。实验室检查可见血清ALT/AST水平升高、自身抗体(ANA、SMA、SLA、LKM1)阳性、血清IgG水平升高、典型肝组织学改变。
1.AIH主要表现为慢性肝炎、肝硬化,也可表现为急性发作,甚至急性肝功能衰竭。因此,原因不明的肝功能异常患者均应考虑存在AIH的可能(1B)。
2.拟诊AIH时应检测肝病相关自身抗体,并可根据自身抗体将AIH分为两型:1型AIH呈ANA、ASMA或抗-SLA阳性,2型AIH呈LKM-1和/或LC-1阳性(1B)。
3.拟诊AIH时应常规检测血清IgG和/或γ-球蛋白水平,血清免疫球蛋白水平对诊断和观察治疗应答有重要价值(1B)。
4.应尽可能对所有拟诊AIH的患者进行肝组织学检查以明确诊断。AIH特征性肝组织学表现包括界面性肝炎、淋巴-浆细胞浸润、肝细胞玫瑰花环样改变和淋巴细胞穿入现象等(1B)。

AIH特征性肝组织学表现包括界面性肝炎、淋巴浆细胞浸润、肝细胞玫瑰花环样改变、淋巴细胞穿入现象和小叶中央坏死等。
1) 界面性肝炎
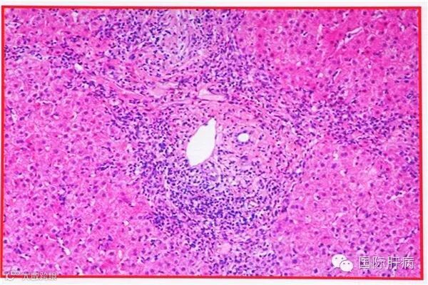
由于门管区炎症导致与门管区或纤维间隔相邻的肝细胞坏死,称之为界面性肝炎,表现为炎症细胞沿破坏的界面向小叶内延伸小叶界面呈“虫蛀”状;界面肝细胞呈单个或小簇状坏死、脱落;对于AIH的诊断具有特征性而非特异性。

界面性肝炎(HE,200倍)
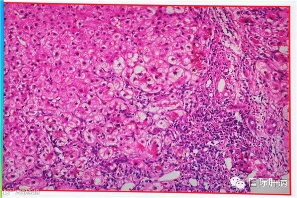
2) 肝细胞呈“玫瑰花环”样改变
肝细胞呈“玫瑰花环”样改变是指由2-3个水样变性的肝细胞形成的假腺样结构,中心有时可见扩张的毛细胆管,形似玫瑰花环,周围可见淋巴细胞包绕,一般见于界面炎周围。

玫瑰花环(HE,100倍)
3)浆细胞浸润
浆细胞浸润是AIH另一特征性组织学改变,主要见于门管区和界面处,有时也可出现在小叶内。

浆细胞浸润
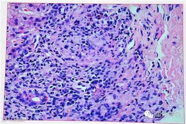
4)淋巴细胞穿入现象
穿入现象是指淋巴细胞进入肝细胞胞浆的组织学表现,多见于活动性界面炎区域。我国研究表明,65%的AIH患者可见穿入现象,显著高于其他慢性肝病患者,并与AIH肝内炎症和纤维化程度相关;穿入的淋巴细胞主要为CD8+T细胞,可导致肝细胞凋亡。

淋巴细胞穿入(HE,400倍)
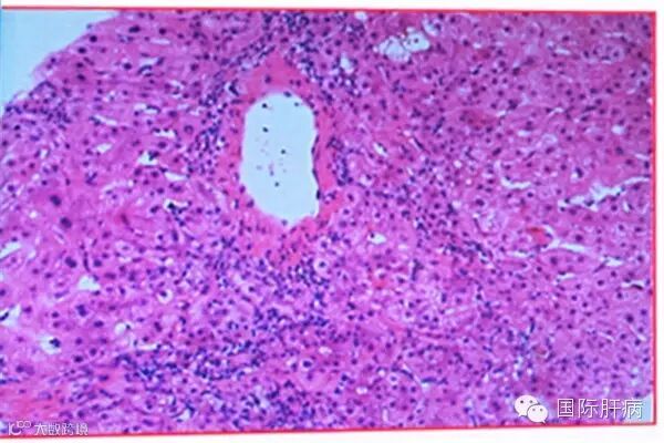
5)小叶中央坏死
研究显示,17.5%的AIH患者在肝活检组织中可出现小叶中央(第三区)坏死,可能是AIH急性发作的表现之一。它可以单独出现,也可伴随界面性肝炎和较重的门管区炎症。患者往往伴有高胆红素血症,及时的免疫抑制治疗缓解后小叶中央坏死可完全消失。

小叶中央坏死(HE,200倍)
5.AIH患者常并发其他器官或系统性自身免疫性疾病(1C)。
6.AIH的诊断应结合临床症状与体征、血清生化、免疫学异常、血清自身抗体以及肝脏组织学等进行综合诊断,并排除其他可能原因(1A)。
7.简化积分系统可用于我国AIH患者的临床诊断,具有较高的敏感性和特异性。但遇到临床表现、血清生化和免疫学或肝组织学不典型的病例时,可使用综合评分系统进行评估(1B)。
8.诊断AIH时需注意与药物性肝损伤、慢性HCV感染、Wilson病和非酒精性脂肪性肝炎等肝脏疾病进行鉴别,合并胆汁淤积表现时需与PBC、PSC和IgG4相关硬化性胆管炎等鉴别(1A)。
1999年国际自身免疫性肝炎小组制定的AIH描述性诊断标准:

马雄教授介绍,我国开展了国内多中心研究,验证综合诊断积分系统和简化AIH诊断积分系统这两种标准的诊断价值,综合和简化积分系统诊断敏感性和特异性较高。马教授指出,综合诊断积分系统比较复杂,多用于临床科研,简化积分系统易漏诊不典型病例,建议临床上联合使用。

9.治疗目标是获得生化缓解(血清转氨酶、IgG和/或γ-球蛋白水平均恢复正常)和肝组织学缓解,防止疾病进展(1B)。
10.中重度AIH、急性表现、活动性肝硬化等活动性AIH患者均建议行免疫抑制治疗(1A)。
11.以肝组织学为依据,存在中、重度界面性肝炎的患者应行免疫抑制治疗。轻度界面性肝炎的年轻患者亦推荐行免疫抑制治疗,而存在轻度界面性肝炎的老年(>65岁)患者可暂不予免疫抑制治疗(1B)。
12.对于无疾病活动或自动缓解期的AIH、非活动性肝硬化可暂不考虑行免疫抑制治疗,但应长期密切随访(如每隔3~6月随访1次)(2C)。

13.一般选择泼尼松(龙)和硫唑嘌呤联合治疗方案。推荐泼尼松(龙)初始剂量一般为30~40 mg/d,4~6周内逐渐减至15 mg/d,并以5~7.5 mg/d维持;硫唑嘌呤剂量为50 mg/d或1 mg/(kg·d),可尝试在维持治疗中完全停用泼尼松(龙)而以硫唑嘌呤单药维持治疗(1B)。
14.选择泼尼松(龙)单药治疗方案时,推荐泼尼松(龙)初始剂量一般为40~60 mg/d,并于4~6周内逐渐减量至15~20 mg/d,以5~10 mg/d剂量维持治疗(1B)。
15.提倡个体化治疗,应根据血清转氨酶和IgG恢复情况调整泼尼松(龙)的剂量(1B)。
16.对于硫唑嘌呤应答但不能耐受者可考虑在泼尼松(龙)的基础上加用吗替麦考酚酯(0.5~1.0 g/d,分两次服用),但也应严密监测血常规变化(1B)。

17.免疫抑制治疗一般应维持3年以上,或获得生化缓解后至少2年以上。建议停药前行肝组织学检查,肝内无炎症活动时方可考虑停药(1B)。
18.停药后复发或维持治疗中反跳的AIH患者应以初始治疗相似的方案进行治疗,并推荐尽可能联合治疗并长期维持(1C)。
19.需长期接受糖皮质激素治疗的AIH患者,建议治疗前行基线骨密度测定并每年监测随访,并适当补充维生素D和钙剂(1B)。
20.在治疗前已存在血细胞减少者或肝硬化者,慎用硫唑嘌呤。硫唑嘌呤用药过程中也应注意检测全血细胞计数,防止骨髓抑制的发生。有条件的情况下可检测TPMT基因型或活性以指导临床用药(1B)。
严重程度和病程:急性发作、急性肝功能衰竭、肝硬化代偿期和失代偿期。
年龄或性别特殊:儿童、妊娠、老年、男性。
临床特征变异:自身抗体阴性AIH、AIH-PBC重叠综合征、DI-AIH。
合并其他肝病:HBV、HCV、NASH。
肝移植术:复发和新发(De Novo)AIH。
21.AIH患者的肝移植指征包括:①终末期肝病经内科处理疗效不佳者;②急性肝功能衰竭经糖皮质激素治疗1周后病情无明显改善甚至恶化者(1B)。
22.肝移植术后AIH复发的患者建议在抗排异治疗方案基础上加用泼尼松(龙)或硫唑嘌呤。因其他病因进行肝移植患者如出现AIH样生化和肝组织学表现,需考虑“新发”AIH(de novo AIH)的可能性(1C)。
23.急性起病的AIH(慢性疾病基础上的急性发作或无慢性疾病基础的急性AIH)应及时启动糖皮质激素治疗以防止急性肝功能衰竭的发生(1C)。
24.AIH相关急性肝功能衰竭可先予短期静脉输注甲泼尼松龙(一般剂量为40~60 mg/d)治疗,若患者1周内病情无明显改善甚至有恶化者需考虑肝移植术(1C)。
25.AIH伴胆汁淤积表现者需排除PBC和PSC等胆管疾病,在泼尼松(龙)治疗的基础上可联合使用熊去氧胆酸[13~15 mg/(kg·d)](1C)。
26.对于自身抗体阴性而肝组织学检查呈典型AIH表现者,在严格排除其他病因后可考虑进行糖皮质激素的试验性治疗,如应答良好支持AIH诊断(1C)。
31.在AIH患者妊娠过程中,可予小剂量泼尼松(龙)(一般剂量为5~10 mg/d)维持治疗。在患者分娩前2周或分娩后应适当加大糖皮质激素以降低复发风险(1C)。
32.老年AIH患者发病隐匿,一般对糖皮质激素应答较好,复发率低,但在治疗过程中需及时发现和预防骨质疏松症(1C)。
33.儿童AIH患者确诊后即应启动免疫制剂治疗,推荐泼尼松(龙)和硫唑嘌呤联合治疗方案或泼尼松(龙)单药治疗方案(1C)。
版
权
声
明
版权属国际肝病网所有。欢迎个人转发分享。其他任何媒体、网站如需转载或引用本网版权所有之内容须在醒目位置处注明“转自国际肝病网”
(来源:《国际肝病》编辑部)


