

前言

“国际肝病-肝脏血管病专栏”是北部战区总医院消化内科祁兴顺医生应《国际肝病》编辑部邀请联合发起的学术专栏,定期收集整理肝脏血管病领域的研究进展,每两周(周三)挑选一篇重要文献进行精读讨论,希望能帮助读者知其然知其所以然,启迪临床科研思维、学以致用。
文章简述
内脏静脉血栓(splanchnic vein thrombosis,SVT)是急性胰腺炎的并发症(Mallick IH, et al. JOP J Pancreas. 2004;5(5):328–337; Mendelson RM, et al. ANZ J Surg. 2005;75(12):1073–1079)。内脏静脉血栓可能涉及一支或多支静脉血管,如门静脉、脾静脉或肠系膜上静脉。内脏静脉血栓可能有症状,但也可无症状,常在评估急性胰腺炎严重程度或随访影像学检查中发现。实际上,内脏静脉血栓的临床表现与急性胰腺炎的症状和体征重叠。这可能与局部的炎症反应有关(Valla DC, et al. J Hepatol. 2000;32(5):865–871)。
目前,内脏静脉血栓患者进行抗凝治疗尚未达成共识,尚无针对急性胰腺炎相关内脏静脉血栓进行抗凝治疗的具体指南(Valla D, et al. Semin Thromb Hemost. 2015;41(5):494–502)。抗凝药物存在很高的出血风险,因此内脏静脉血栓应慎用抗凝治疗(Ageno W, et al. Blood. 2014;124(25):3685–3691)。尚不清楚抗凝治疗是否有利于急性胰腺炎相关内脏静脉血栓患者的血管再通、改善结局,也缺乏针对这方面的具体指南,这就意味着治疗决策完全取决于每位医生对每个病例的经验与见解。
Internal and Emergency Medicine杂志于2020年1月在线发表了一篇题为《抗凝治疗急性胰腺炎相关内脏静脉血栓的疗效:一项历时3年的单中心研究》的文章。这项研究旨在探讨抗凝治疗急性胰腺炎相关内脏静脉血栓的有效性和安全性。
来自意大利的Pagliari等对2015年12月1日至2018年12月31日的211例急性胰腺炎患者进行了一项回顾性研究。对这些患者完善影像学检查,以评估是否伴有内脏静脉血栓。27(12.21%)例患者合并内脏静脉血栓;其中,16(59.3%)例患者接受抗凝治疗,治疗时间为5.2±2.2个月。当患者诊断为内脏静脉血栓时,给予低分子量肝素100UI/kg b.i.d.,出院时给予磺达肝癸7.5 mg/日、维生素K拮抗剂或新型直接口服抗凝剂。
结果显示,内脏静脉血栓的形成与男性具有显著的相关性(P=0.002)。接受抗凝治疗的患者再通率为11/16(68.7%),未接受抗凝治疗的患者再通率为3/11(27.3%)。两组间的内脏静脉血栓再通率显著不同(P=0.03,OR=5.87)。随访期间未发现内脏静脉血栓复发。接受抗凝治疗的患者未发生出血并发症。接受抗凝治疗和未接受抗凝治疗的患者均未死亡。
总的来说,急性胰腺炎相关内脏静脉血栓的患者中,抗凝治疗似乎是安全有效的;但仍需进行前瞻性临床试验来证实这一结果。
重要研究结果分析及其临床意义
1、纳入患者的基线特征

(表源自文献)
急性胰腺炎相关内脏静脉血栓患者均伴有不同程度的腹痛。纳入27例急性胰腺炎患者中,病因不同;其中,胆石症10例(37%)、酗酒10例(37%)、自发性4例(15%)、其他原因3例(11%)。根据2012年修订的亚特兰大分类标准(Banks PA, et al. Gut. 2013;62(1):102–111),轻度胰腺炎4例(15%)、中度14例(52%)、重度9例(33%)。水肿型胰腺炎8例(30%)、坏死型19例(70%)。24例(88.9%)患者出现内脏静脉血栓相关的局部液体积聚(假性囊肿和/或胰腺坏死壁)。通过多普勒超声诊断为内脏静脉血栓的患者8例(29.6%),通过CT诊断为内脏静脉血栓的患者16例(59.3%),通过MRI诊断为内脏静脉血栓的患者3例(11.1%)。多普勒超声确诊的8例患者中,5例患者进行了第二次CT检查,三例患者进行了第二次MRI检查。男/女比例为23/4(85% vs 15%)。内脏静脉血栓与男性显著相关(P=0.002)。然而,此前Ahmed等的研究并未发现内脏静脉血栓形成与患者性别之间存在显著相关性(Ahmed SU, et al. Ann Gastroenterol. 2018;31(3):371–378)。
2、内脏静脉血栓的再通率

(表源自文献)
16例(59.3%)患者接受了抗凝治疗。这些患者均接受治疗剂量的低分子量肝素(100UI/kg b.i.d.);出院后,7例患者接受维生素K拮抗剂治疗(国际标准化比率(INR)达2.0-3.0),5例患者接受磺达肝癸钠(7.5 mg/日),4例患者接受阿哌沙班治疗(5 mg b.i.d.)。抗凝治疗的平均持续时间为5.2±2.2个月(1.5-9个月)。所有接受抗凝治疗的患者均未发现与其相关的并发症。
14例(51.8%)患者的内脏静脉血栓完全再通。接受抗凝治疗的患者再通率为11/16(68.7%),未接受抗凝治疗的患者再通率为3/11(27.3%),二者间差异有统计学意义(P=0.03,OR=5.87)。再通率与患者年龄(P=0.55)、急性胰腺炎病因(P=0.68)和抗凝治疗类型(P=0.62)无显著关系。随访期间未发现内脏静脉血栓复发;未发现其他部位的静脉血栓栓塞。
两组均未发生出血并发症,也均无死亡病例。此外,接受抗凝治疗的患者中,门静脉系统比脾-肠系膜静脉系统的内脏静脉血栓再通率更高。
3、三例患者抗凝治疗期间的影像学变化

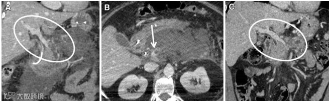
(图源自文献)
A,一例65岁胰腺炎患者,冠状位CT提示:门静脉和肠系膜上静脉部分和完全血栓形成(圆圈)。
B,轴位CT提示:在门-脾-肠系膜静脉汇合处(箭头)可见局灶性血栓形成,这与胰腺坏死积聚有关。
C,抗凝治疗后6个月的冠状位CT提示:门静脉和肠系膜上静脉完全再通,胰周坏死积聚的面积缩小(圆圈)。

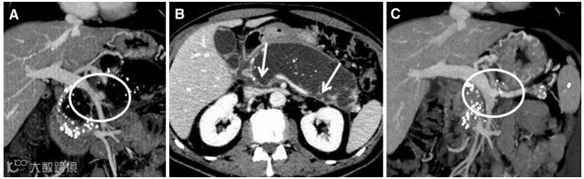
(图源自文献)
A,一例57岁男性患者,冠状位CT显示:慢性胰腺炎的坏死组织中可见部分门静脉和完全脾静脉血栓形成(圆圈)。
B,轴位CT提示:脾静脉部分血栓形成(箭头),这与坏死的胰腺组织大量积聚有关。
C,抗凝治疗后6个月的冠状位CT提示:脾静脉和门静脉完全重新再通,坏死组织积聚消失(圆圈)。

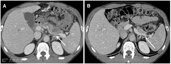
(图源自文献)
A,一例41岁男性病因不明的坏死性胰腺炎患者,轴位CT显示:胰尾部坏死组织(箭头)的直接压迫导致其远端部分脾静脉血栓形成。该病例证实了血栓形成的发病机制与局部组织炎症或直接压迫有关。
B,脾静脉血栓和胰腺坏死组织积聚消失(箭头)。
4、与既往研究相比,急性胰腺炎患者内脏静脉血栓的发病率

(表源于文献)
迄今为止,急性胰腺炎相关内脏静脉血栓的发病率为1.8%至27.1%。这项回顾性研究记录了3年内急性胰腺炎患者内脏静脉血栓的发病率为12.21%,与此前的研究结果一致。Ahmed等纳入了96例急性胰腺炎患者,内脏静脉血栓发病率为27.1%;他们发现炎症是主要致病机制(Ahmed SU, et al. Ann Gastroenterol. 2018;31(3):371–378)。据报道,外科ICU坏死性胰腺炎相关内脏静脉血栓的发病率达36.5%(Zhou J, et al. Thromb Res. 2015;135(1):68–72)。大多数坏死性胰腺炎患者都合并内脏静脉血栓,因此胰腺周围炎症可能是导致内脏静脉血栓形成的重要危险因素。
总结及展望
内脏静脉血栓是急性胰腺炎的常见并发症,尤其是坏死性或中重度急性胰腺炎患者。抗凝治疗可认为是安全的、有效的;抗凝治疗显著增加内脏静脉血栓的再通率,但未增加出血或其他相关并发症的发生风险。局部聚集/坏死与内脏静脉血栓相关性较高,局部压迫和血管周围的炎症是导致内脏静脉血栓形成进展的重要机制。引流胰腺周围液体可能是内脏静脉血栓的一种潜在治疗方法,并可避免内脏静脉血栓形成。迄今为止,尚无关于急性胰腺炎患者抗凝治疗的具体指南或标准化适应证,需要更多的前瞻性临床试验来证实这一结果。

作者简介
洪岑,北部战区总医院消化内科,锦州医科大学研究生院。
《国际肝病-肝脏血管病》专栏发起人及校审:
祁兴顺,北部战区总医院消化内科,副主任医师、博士、博士后,沈阳药科大学及锦州医科大学硕士生导师。中华医学会消化病学分会第十一届委员会青年委员。2019年第十二届辽宁省青年科技奖十大英才。据Scopus统计,H-index为33,总共3509次引用。

(来源:《国际肝病》编辑部)


