
编者按
肝癌是全球发病率第六、死亡率第二的恶性肿瘤,每年新发病例80万,其死亡和发病比高达0.92。在我国,肝癌是第三位常见恶性肿瘤和第二位肿瘤致死病因,每年有大约新发病例50万,死亡病例38万,其中70%~80%的患者依赖介入、消融、药物系统治疗(靶向药物、免疫药物)等非手术治疗。本刊特邀广州医科大学附属第二医院朱康顺教授针对当前中晚期肝癌介入治疗的新格局进行综述。
一
肝癌非手术的现状
由于我国肝癌的早期诊断率较低,仅有10%~15%的初诊患者有根治性手术的机会。以介入治疗为主的非手术治疗成为我国肝癌患者的主要治疗手段,包括经导管肝动脉化疗栓塞术(TACE)、经皮物理消融术(射频、微波、冷冻消融)、经导管肝动脉化疗灌注术(TAI)和持续性药物灌注术(HAIC)、经皮放射性粒子植入术等。
在西方BCLC分期系统中,消融主要用于极早期/早期、单个肝癌(<3 cm)治疗,TACE主要用于中期肝癌治疗。然而,在我国CNLC分期系统中,消融和TACE等非手术治疗已广泛应用于早、中、晚各期肝癌的治疗,尤其是TACE可以通过对病灶局部化疗、阻断肿瘤血供导致肿瘤坏死,实现减少肿瘤负荷,已成为目前最常用的肝癌介入治疗手段。
值得注意的是,对中晚期巨大肝癌或合并血管侵犯的肝癌,TACE和消融的远期生存不满意,而我国肝癌患者肿瘤分期偏晚,肿瘤负荷过大,存在大血管侵犯、肝外转移等复杂情况,因此TACE和消融治疗肝癌仍存在难以突破的瓶颈。
肝癌TACE治疗的瓶颈
TACE对肝癌的治疗作出了巨大贡献,使中期肝癌患者的生存延长了20个月,但仍需突破一些瓶颈问题才能进一步改善远期生存、提高临床治愈率,主要原因有以下几方面:第一、TACE治疗难以彻底清除局部肿瘤病灶;第二、对于非小肝癌、多结节肝癌难以达到完全性栓塞;第三、TACE单独治疗对于伴有门静脉癌栓的肝癌治疗效果差;第四、多次TACE后可发生抵抗、疗效减低;除此以外,有些研究还提示TACE可诱发VEGF升高和免疫逃逸,引起肝癌复发转移。
肝癌消融治疗的瓶颈
消融可以利用物理能量直接损毁肝癌病灶,但仍存在一定的复发风险,由于肝细胞癌呈浸润性生长、边界不规则,影像学所显示的“肿瘤边界”小于真正的肿瘤边界,而且消融电极之间可能存在“消融真空”(电极之间残存的肿瘤细胞),因此针对>3 cm的肝癌进行单一消融治疗仍是临床难点,其不完全消融的可能性更大,在“亚致死温度”下残留肝细胞癌可能具有更高的侵袭性。
二
加强局部联合治疗
鉴于TACE、消融等非手术治疗存在的瓶颈,单一治疗可能难以满足临床治疗需求。近年来,学术界开始探讨各种联合治疗,包括局部联合局部,局部联合全身治疗,以期进一步提高疗效和改善患者生存。
TACE联合局部消融
单独局部消融适用于:CNLC Ia期及部分Ib期肝癌(即单个肿瘤直径≤5 cm,或2-3个肿瘤且最大直径≤3 cm);无血管、胆管和邻近器官及远处转移,肝功能分级Child-Pugh A/B级的患者。对于直径3-7 cm的单发肿瘤或多发肿瘤,则可采用局部消融联合TACE。
复旦大学附属中山医院的一项随机对照研究纳入110例<7 cm或多个结节(≤5个,且≤5 cm)的中晚期HCC患者,显示TACE+消融可较TACE显著改善患者OS(29 vs. 18个月)。该项研究表明,精细的TACE可使肿瘤缩小,在肿瘤缩小基础上精准消融治疗,消融针容易达到完全消融覆盖,从而达到彻底杀灭肿瘤的目的。另有文献报道,对于直径≤5 cm的肿瘤,TACE联合射频消融治疗的5年生存率、无病生存率均达到外科手术切除水平。

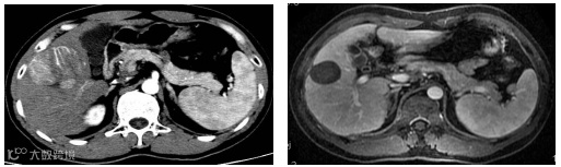
图1.病例54岁,肝右叶5.5×5.4cm肝癌(左图),行TACE+消融肿瘤完全坏死并缩小(右图),现患者已生存14年
TACE联合HAIC
相较于西方国家,我国肝癌患者的肿瘤负荷更大,门静脉癌栓(PVTT)比例更高。此种情况下,药物洗脱微球栓塞术(DEB-TACE)可改善传统TACE在治疗>5 cm肝癌的不足,微球和药物的高亲和性,可持续、缓慢释放药物而提高局部药物浓度、降低全身药物浓度,达到疗效和耐受性的改善。我们研究团队在一项利用DEB-TACE联合FOLFOX HAIC治疗大肝癌的研究中(Zhu KS,et al. J Hepatocell Carcinoma. 2021, 8;8:1445-1458.),发现该方案较单独DEB-TACE可显著延长患者的无疾病进展生存(PFS)和总体生存(OS),并减少介入治疗的次数。DEB-TACE联合FOLFOX-HAIC治疗包含门静脉癌栓、浸润性生长的大肝癌可获得19个月的生存,对具有大血管癌栓的大肝癌也可获得15个月生存。

图2.DEB-TACE联合FOLFOX-HAIC治疗对比单独DEB-TACE可显著延长患者的总体生存

图3.该例大于15 cm的巨大肝癌,经过2次DEB-TACE联合FOLFOX HAIC治疗,肿瘤明显缩小和肿瘤完全坏死
TACE联合放射治疗(粒子治疗)
门静脉癌栓(PVTT)是影响TACE疗效及患者生存预后的独立因素,癌栓生长速度约为0.5±0.1 cm/月,而门静脉一级分支癌栓进展到主干仅需6周。因此,对于伴有门静脉癌栓的肝癌,应采取积极有效的治疗措施以防止癌栓进展。我们团队在临床实践中,鉴于TACE可以控制肝内肿瘤进展,而放射性粒子对控制癌栓(尤其是一级分支癌栓)进展有重要意义,采用二者联合治疗合并PVTT的肝癌患者,并取得了较好疗效。

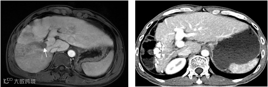
图4.该例肝右叶巨大肝癌合并门静脉右支癌栓(左图,箭头示癌栓),采用TACE治疗肝内肿瘤和放射性粒子治疗门静脉癌栓,术后19个月肝右叶肿瘤几乎完全坏死缩小,而粒子阻止了癌栓进展到主干,门静脉主干保持通畅(右图),现患者已生存5年
三
加强局部联合全身治疗
克服局部介入治疗短板的另一种策略是加强局部与全身治疗的联合,比如TACE联合系统治疗,TACE联合抗病毒治疗等。
TACE联合靶向治疗
靶向药物的问世,改变了晚期肝癌患者的命运,是肝癌治疗历史上的里程碑。目前,晚期肝癌已经涌现了索拉非尼、仑伐替尼、瑞戈非尼等多个小分子靶向治疗药物。然而,单一靶向治疗的有效率仍然有限。通过TACE、消融联合分子靶向药物,可进一步提高肝细胞癌的疗效。TACTICS研究显示,TACE联合索拉非尼治疗BCLC B期肝癌,可较单独TACE进一步延缓发生血管侵犯(31.3 vs 4.0个月)和肝外转移(15.7 vs 6.9个月)时间。对于合并门静脉癌栓、肿瘤负荷较高者,在TACE和消融基础上联合靶向治疗也可进一步增加患者获益。
TACE联合免疫治疗
在免疫治疗方面,由于肝脏免疫耐受特性,单药免疫治疗的有效率(ORR)不足20%,生存获益也存在瓶颈。免疫联合治疗(包括靶向、介入治疗、免疫治疗、放射治疗等)已成为新的发展趋势。有越来越多的研究表明,TACE、消融、粒子植入等肝癌局部治疗可以和免疫治疗发挥协同作用,使肝癌这种免疫治疗的“冷肿瘤”转变为“热肿瘤”,进而提高疗效。

图5.局部治疗联合免疫治疗的理论基础
四
小结
要走出中晚期肝癌局部治疗的困境,我们需要进一步探索多种局部联合治疗手段结合的综合治疗模式,包括TACE联合消融,TACE联合HAIC,TACE联合放射治疗、放射性粒子治疗(门静脉癌栓)等。采用不同局部治疗手段的联合可以达到互相弥补不足的效果;而在局部治疗基础上联合分子靶向治疗、免疫治疗等不同治疗模式,则可以达到增强局部和全身疾病控制的效果,进一步减少复发风险,联合抗病毒治疗则有助于增加肝脏储备功能以及降低肝癌复发风险。
专家简介
朱康顺
教授,主任医师,博士生导师
广州医科大学附属第二医院微创介入科主任
中华医学会介入放射学专业委员会委员
中华医学会肝病学会肝癌学组委员
中国医师协会介入医师分会委员
中国抗癌协会肿瘤微创专业委员会常委
中国临床肿瘤学会(CSCO)消融委员会常委
国家卫生健康委原发性肝癌诊疗规范制定专家
广东省医院协会介入医学分会 主任委员
广东省医学会介入医学分会副主任委员
广东省医师协会介入医师分会副主任委员
广州市医学会介入医学分会 主任委员
主持国家自然科学基金面上项目5项,在 J Clin Oncol、Radiology、Cancer Letters等发表论文60篇
(来源:《肿瘤瞭望》编辑部)


