
王磊 施军平 杭州师范大学附属医院
非酒精性脂肪性肝病是当前我国第一大肝病,毫不意外地成为第十八次全国病毒性肝炎及肝病学术年会的焦点之一,其流行病学、自然史、管理、临床试验及基础研究等讨论都受到了极大的关注。其中,杭州师范大学附属医院施军平教授向大家介绍了非酒精性脂肪性肝病的动物模型。会后,施教授还就该话题撰文如下,方便大家系统学习。
非酒精性脂肪性肝病(non-alcoholic fatty liver disease,NAFLD)作为代谢综合征在肝脏的表现,与肥胖、胰岛素抵抗(IR)、糖尿病、高脂血症等代谢异常具有密切的联系[1,2]。近年来,随着人们生活方式的改变和饮食结构的西化,非酒精性脂肪肝的发病率呈不断上升的趋势[3]。
NAFLD是一种以肝实质细胞脂肪变性和脂肪贮积为特征的临床病理综合征[4]。其疾病谱包括单纯的肝脏脂肪变性、非酒精性脂肪性肝炎(non-alcoholic steatohepatitis,NASH)、肝纤维化,甚至可以进展成肝硬化和肝癌[5-6]。然而,NAFLD的确切发病机制尚不完全清楚,也缺乏有效的治疗方法,动物模型是研究NAFLD发病机制以及新药开发的重要平台。
单纯脂肪肝动物模型
(1)高脂饮食(HFD)诱导的动物模型
NAFLD与肥胖之间的关联导致与现代西方饮食相匹配的HFD的发展。经典的HFD饮食组成为71%脂肪,11%碳水化合物和18%蛋白质。HFD饮食喂养SD大鼠3周即可出现典型的脂肪肝,与饲喂标准饮食的对照大鼠相比,HFD引起肝脂肪变性几乎是对照大鼠的两倍。
与人NAFLD患者类似,HFD诱导的NAFLD大鼠模型伴有胰岛素抵抗(insulin resistant,IR),血浆胰岛素水平升高(图1、2)[7]。HFD饮食喂养Wistar大鼠可出现类似的结果,且较单纯高糖、高果糖饮食造模效果更佳[8] (图3)。但相比较而言,SD大鼠体重随着喂养时间延长而持续增加,因此较Wistar大鼠更适合用于NAFLD建模。

图1. HFD诱导的NAFLD大鼠模型血浆胰岛素水平

图2. HFD诱导的NAFLD大鼠模型肝脏病例表现
(A:对照饮食,B:HFD)

图3. 不同饮食饲养大鼠模型的肝脏病理表现
(A:MF,B:HF,C:HS,D:HFr)
接受HFD喂养16周的雄性C57BL/6小鼠出现相似的结果。小鼠体重明显增加,病理结果明显的肝细胞脂肪变形、肝细胞肿胀、Mallory小体,空腹血糖水平升高和脂联素水平降低,且存在IR[9]。以另外一种配方的HFD饮食(45%脂肪,35%碳水化合物和20%蛋白质)饲喂12周的雄性C57BL/6小鼠发展为脂肪变性,其肝脏脂质积聚如图4所示。

图4. HFD饮食诱导的小鼠脂肪肝模型肝脏病理表现
(2)ob/ob小鼠和db/db小鼠模型
db/db小鼠由于db基因(瘦素受体编码基因)突变,导致瘦素受体丧失功能,失去信号转导活性,引起瘦素抵抗伴或不伴高瘦素血症[10],ob/ob小鼠存在ob基因(瘦素编码基因)自发突变,使得瘦素合成障碍,普通饮食即可诱导出现许多和人类NAFLD相似的特征,如肥胖、高胰岛素血症、高脂血症、糖尿病等[11,12],因此,db/db小鼠和db/db小鼠是NAFLD的良好模型,是国外最常用的NAFLD动物模型(图5-6)。
但由于在人类中极少出现瘦素受体等基因突变,这两类模型在复制人类NAFLD方面不如饮食诱导的模型。并且这些基因缺陷的小鼠模型不能自发地由单纯性脂肪肝发展成脂肪性肝炎,只有联合胆碱-蛋氨酸缺乏饮食、高脂饮食或有内毒素、酒精、缺血再灌注损伤等“二次打击”下,才可演变为显著的NASH。

图5(左)、图6(右). ob/ob小鼠和db/db小鼠脂肪肝模型肝脏病理表现
NASH动物模型
(1)胆碱-蛋氨酸缺乏(MCD)模型
胆碱是主要储存在肝脏中的基本营养素。胆碱缺乏会损害肝脏非常低密度脂蛋白(VLDL)分泌,并导致肝损伤、氧化应激以及肝细胞死亡 [13]。MCD饮食喂养小鼠2周后就会出现广泛的肝脏炎症,6周后出现明显肝纤维化[14](图7)。ALT水平也随着肝细胞肿胀变性而逐渐升高(图8)[15]。MCD饮食所引起的肝脏病理改变与人类NASH相似,炎症、纤维化和肝细胞凋亡比HFD或西方饮食的小鼠更快、更严重。
MCD模型的局限性在于,它与人类NASH的代谢特征有差异,动物不伴超重或肥胖,无IR和低血清胰岛素、空腹血糖、瘦素和甘油三酯水平。因此,通常db/db或ob/ob小鼠喂养MCD饮食可以更好地复制人类NASH病理过程。

图7(左)、图8(右). MCD饮食喂养小鼠的肝脏病理变化
(2)高胆固醇饮食(HCD)
饮食中的胆固醇是动物模型[17-19]和人类[20]脂肪性肝炎和肝脏炎症进展的关键因素。单独给予HCD(1%)的小鼠显示血清胰岛素水平显著升高,但肝脏重量、甘油三酯、FFA、ALT水平仅略有增加[20]。而高胆固醇或高脂肪联合高胆固醇饮食喂养小鼠,小鼠NASH的特征更明显。高脂肪(15%)、高胆固醇(1%)饮食(HFHC)饲喂的小鼠体重增加和肝脏脂质沉积更加显著,血清ALT水平可升高10倍,脂肪组织炎症(高TNF-α的基因表达)和肝纤维化。所有这些特征在HFHC小鼠中比单纯HFD或HCD小鼠中更显著(图9、10)[20]。

图9. 高胆固醇饮食、高脂饮食及高胆固醇高脂饮食诱导的小鼠脂肪肝模型的特征

图10. 高胆固醇饮食、高脂饮食及高胆固醇高脂饮食诱导小鼠发生脂肪肝
高脂肪(23%),高蔗糖(424 g/kg)和高胆固醇(1.9 g/kg)饮食或胆碱缺乏型高脂肪饮食(CD-HFD)饲喂3个月后,小鼠可进展为脂肪性肝炎(图11)。

图11. 高脂、高糖、高固醇饮食或胆碱缺乏型高脂饮食诱导小鼠发生NASH
(3)高果糖饮食模型
该造模机制可能是果糖代谢过程中产生的内毒素引起的炎症反应作为第二次打击促使了NASH发生[21]。Takahashi等给Wistar大鼠喂养含70%果糖的饲料,5周后发现大鼠肝脏出现大泡性脂肪变、小叶内炎症程度、肝内TG含量明显升高,肝内白介素(IL-6)、TNF-α的表达量也明显升高[22]
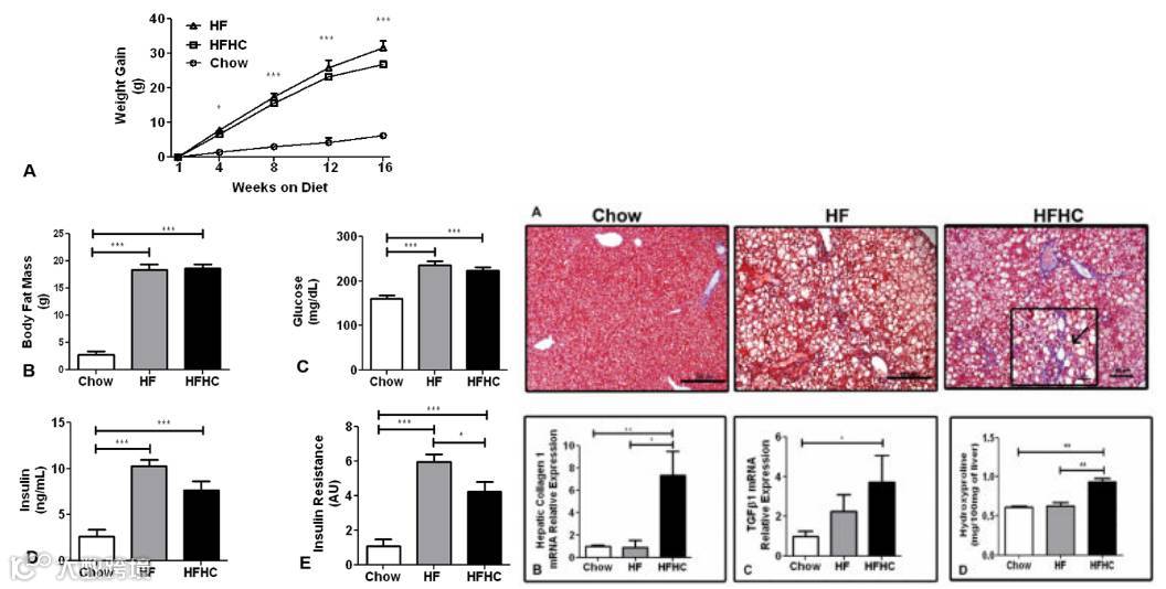
有学者使用高脂肪高果糖(HFHF)饮食喂养C57BL/6小鼠后发现,果糖消耗对于肝脏脂肪沉积进展为肝纤维发生是必要的,伴有肝脏氧化应激,转化生长因子(TGF)-β1驱动的肝纤维形成和胶原沉积在HFHF饮食的小鼠中增加,高脂肪高果糖(HFHF)饮食诱导小鼠可建立NASH伴肝纤维化动物模型(图12、13)[23]。

图12(左)、图13(右). 高脂肪高果糖诱导小鼠NASH伴肝纤维化模型
(4)foz/foz小鼠
foz/foz小鼠具有突变的Alms1基因,可能在细胞内运输和食欲调节中起作用[24]。foz/foz小鼠是病态肥胖的,在出现肝脂肪变性同时,可伴有IR,脂联素水平显著降低,胆固醇水平明显增加。用HFD饮食喂养foz/foz小鼠,可通过加重代谢并发症,促进NASH进展为纤维化。然而,仅在C57BL6/J背景的foz/foz小鼠中观察到IR、高胰岛素血症以及肝纤维化,在 BALB/c背景小鼠中很少出现(图14) [25]。

图14. C57BL6/J-foz/foz小鼠和BALB/c-foz/foz小鼠经HFD饮食喂养后的不同表现
(5)db/db小鼠高铁饮食
除了MCD饮食之外,db/db小鼠中的铁超载也可导致NAFLD进展为NASH和纤维化。高铁饮食诱导的db/db小鼠可见肝细胞膨胀、炎性细胞活化、肝脏炎症免疫细胞活化,以及纤维形成、肝脏氧化应激增加、肝线粒体脂肪酸β受损氧化(图15)[26]。

图15. 高铁饮食诱导db/db小鼠出现NASH表现
(6)ApoE-/-小鼠
ApoE是脂蛋白受体的高亲和力配体,存在于除低密度脂蛋白(LDL)外的其他脂蛋白上。ApoE在肝脏对乳糜微粒和极低密度脂蛋白(VLDL)残余颗粒的摄取和肝脏VLDL的分泌起着重要的作用。高脂高胆固醇饮食诱导ApoE-/-小鼠在出现肝脂肪变同时,可伴有特征性的炎细胞浸润改变,以及出现高脂血症、糖尿病、胰岛素抵抗以及动脉硬化等代谢综合征的组分,是一种理想的NASH模型[27]。
斑马鱼NAFLD/NASH模型
斑马鱼(zebra fish,Danio rerio)是继小鼠、大鼠之后的又一大模式动物,由于其通体透明、繁殖力强、试验周期短、与人类基因有87%的同源性等特点,广泛应用于肝脏疾病的研究。
通过对斑马鱼饲喂高脂肪饮食、高频(过量)饮食和高脂肪高胆固醇的饮食(HFC)22~37天即可建立斑马鱼NAFLD/NASH模型。转基因斑马鱼可在短期内建立肝纤维化和肝癌的相关模型,但仍存在一些问题亟需解决,例如斑马鱼在疾病形成过程中,是否存在与人类相同的分子机制,是否具有与人类相同的器官病变的分子标志,斑马鱼与人类体内病灶的相似度如何等。斑马鱼NAFLD/NASH模型在研究药物筛选以及基因突变方面具有很强的优势。
结语
目前,许多NAFLD动物模型在基础和临床研究领域发挥了重要作用。由于不同致病因素诱导建立的动物模型的形成机制和病理改变也不尽相同,因此,应该根据不同研究目的来选择最合适的动物模型。
参考文献:
[1] Park SK,Seo MH,Shin HC,et a1.Clinical availability of nonalcoholic fatty liver disease as an early predictor of type2 diabetes melfitus in Korean men;5-year prospective cohort study.Hepatology, 2013,57:1378-1383.
[2]Pappachan JM. Antonio FA. Edavalath M, et al. Non-alcoholic fatty liver disease: a diabetologist’s perspective. Endocrine, 2014,45(3):344-353.
[3]Mikolasevic I, Racki S, Zaputovic L, et al. nonalcoholic fatty liver disease(NAFLD):a new risk factor for adverse cardiovascular events in dialysis patients. Med Hypotheses, 2014.82(2):205-208.
[4] Loomba R, Sanyal AJ. The global NAFLD epidemic. Nat Rev Gastroenterol Hepatol, 2013, 10(11):686-690.
[5]J.K. Dowman, J.W. Tomlinson, P.N. Newsome, et al. Pathogenesis of non-alcoholic fatty liver disease, QJM, 2010, 103(2):71-83.
[6] LaBrecque DR, Abbas Z, Anania F, et al. World Gastroenterology Organisation global guidelines: nonalcoholic fatty liver disease and nonalcoholic steatohepatitis. J Clin Gastroenterol, 2014,48(6):467-473.
[7]. Lieber CS, Leo MA, Mak KM, et al. Model of nonalcoholic steatohepatitis. Am J Clin Nutr, 2004; 79: 502–509.
[8]. Fakhoury-Sayegh N, Trak-SmayraV, KhazzakaA, et al. Characteristics of nonalcoholic fatty liver disease induced in wistar rats following four different diets. Nutr Res Pract 2015; 9: 350–357.
[9]. Eccleston HB, Andringa KK, Betancourt AM, et al. Chronic exposure to a high-fat diet induces hepatic steatosis, impairs nitric oxide bioavailability, and modifies the mitochondrial proteome in mice. Antioxid Redox Signal, 2011; 15: 447–459.
[10]Trak-Smayra V, Paradis V, Massart J, et al. Pathology of the liver in obese and diabetic ob/ob and db/db mice fed a standard or high-calorie diet. Int J Exp Pathol, 2011; 92: 413–421.
[11]Sahai A, Malladi P, Pan X, et al. Obese and diabetic db/db mice developmarked liver fibrosis in a model of nonalcoholic steatohepatitis: role of short-form leptin receptors and osteopontin. Am J Physiol Gastrointest Liver Physiol, 2004; 287: G1035–G1043.
[12]K Imajo , M Yoneda ,T Kessoku, et al. Rodent models of nonalcoholic fatty liver disease/nonalcoholic steatohepatitis. International Journal of Molecular Sciences, 2013, 14 (11) :21833-21857.
[13]Corbin KD, Zeisel SH. Choline metabolism provides novel insights into nonalcoholic fatty liver disease and its progression. Curr Opin Gastroenterol, 2012; 28: 159–165.
[14]Yamada T, Obata A, Kashiwagi Y, et al. Gd-EOB-DTPA-enhanced-MR imaging in the inflammation stage of nonalcoholic steatohepatitis(NASH) in mice. Magn Reson Imaging, 2016; 34: 724–729.
[15]Larter CZ, Yeh MM, Williams J, et al. MCD-induced steatohepatitis is associated with hepatic adiponectin resistance and adipogenic transformation of hepatocytes. J Hepatol, 2008; 49: 407–416.
[17]Matsuzawa N, Takamura T, Kurita S, et al. Lipid-induced oxidative stress causes steatohepatitis in mice fed an atherogenic diet. Hepatology, 2007; 46: 1392-1403.
[18]Zheng S, Hoos L, Cook J, et al. Ezetimibe improves high fat and cholesterol diet-induced non-alcoholic fatty liver disease inmice. Eur J Pharmacol, 2008; 584: 118-124.
[19]51Subramanian S, Goodspeed L, Wang S, et al. Dietary cholesterol exacerbates hepatic steatosis and inflammation in obese LDL receptor-deficient mice. J Lipid Res, 2011; 52: 1626-1635.
[20] Savard C, Tartaglione EV, Kuver R, et al. Synergistic interaction of dietary cholesterol and dietary fat in inducing experimental steatohepatitis. Hepatology, 2013; 57: 81-92.
[21]X Ouyang ,P Cirillo, Y Sautin,et al.Fructose consumption as a risk factor for non-alcoholic fatty liver disease.J Hepatol, 2008 , 48 (6) :993
[22]Takahashi Y, Soejima Y, Fukusato T. Animal models of nonalcoholic fatty liver disease/nonalcoholic steatohepatitis. World J Gastroenterol, 2012 , 18 (19) :2300.
[23]Kohli R, Kirby M, Xanthakos SA, et al. High-fructose, medium chain trans fat diet induces liver fibrosis and elevates plasma coenzyme Q9 in a novel murine model of obesity and nonalcoholic steatohepatitis. Hepatology, 2010; 52: 934–944.
[24]Bell-Anderson KS, Aouad L, Williams H, et al. Coordinated improvement in glucose tolerance, liver steatosis and obesityassociated inflammation by cannabinoid 1 receptor antagonism in fat Aussie mice. Int J Obes (Lond), 2011; 35: 1539-1548.
[25]Farrell GC, Mridha AR, Yeh MM, et al. Strain dependence of diet-induced NASH and liver fibrosis in obese mice is linked to diabetes and inflammatory phenotype. Liver Int, 2014; 34: 1084–1093.
[26]Handa P, Morgan-Stevenson V, Maliken BD, et al. Iron overload results in hepatic oxidative stress, immune cell activation, and hepatocellular ballooning injury, leading to nonalcoholic steatohepatitis in genetically obese mice. Am J Physiol Gastrointest Liver Physiol, 2016; 310: G117-G127.
[27]KL Ma, XZ Ruan, SH Powis, et al. Inflammatory stress exacerbates lipid accumulation in hepatic cells and fatty livers of apolipoprotein E knockout mice. Hepatology, 2008, 48 (3) :770–781.
(来源:《国际肝病》编辑部)
版
权
声
明
版权属国际肝病网所有。欢迎个人转发分享。其他任何媒体、网站如需转载或引用本网版权所有之内容须在醒目位置处注明“转自国际肝病网”


