
编者按:第31届亚太肝病研究学会(APASL)年会在韩国首尔如期召开。国内外领域专家学者线上线下互联,共襄此次盛会。会上,中国门静脉高压联盟(CHESS)创始人兼理事长、PH&C杂志创始人兼主编祁小龙教授就门静脉高压症的诊断和监测的最新进展进行了分享。本刊有幸邀请到祁小龙教授做特约访谈,一起聊一聊人工智能与门静脉高压症的那些事。
《国际肝病》
临床实践中,主要应用哪些参数去建立门静脉高压症评估的机器学习模型?对于不同病因的肝硬化,所采用的参数是否有差异?
·祁小龙教授·
机器学习应该是近三年才出现在门静脉高压症领域的舞台上。2018年我们在Lancet Gastroenterol Hepatol上发表相关综述文章(Qi X, et al. Lancet Gastroenterol Hepatol 2018)时,关于人工智能或机器学习在门静脉高压症领域额应用数据还很少。但近几年,相关研究如雨后春笋,比如CHESS就在深度学习与肝硬化门静脉高压无创诊断方面做了不少研究。此次APASL大会上我们也是重点分享了这部分研究结果。

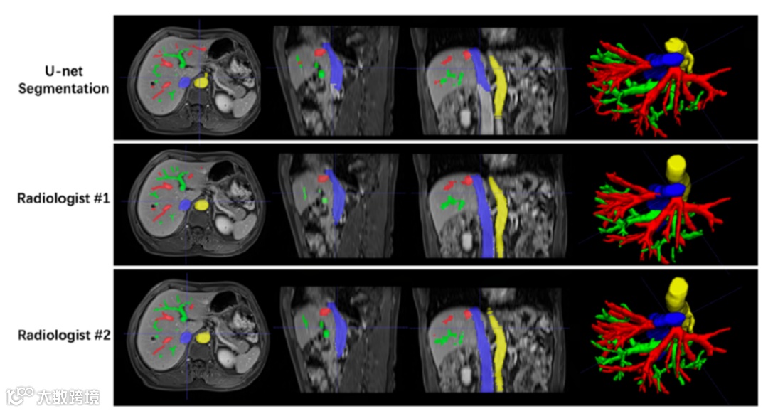
图1. 肝血管几何模型用于检测CSPH
(引自讲者幻灯)
关于不同病因肝硬化的模型参数,暂无可用数据参考。因为该领域整体研究参数质控要求较高,目前还很难做到机器学习的大样本研究。所以目前国内外已发表的研究队列均没有区分不同病因。包括CHESS发表的文章中,我们也没有把乙肝专门做一个队列,主要是受限于样本量,目前还不能实现基于不同病因的肝硬化进行深入分析。
《国际肝病》
目前,是否有经过验证的机器学习模型用于评估肝硬化门静脉高压症?随着人工智能的不断发展,将机器学习模型用于临床实践还需要做哪些努力?
·祁小龙教授·
从“经过验证”这个角度来说,我们目前已经发表的队列数据,特别是高质量的研究队列,均是经过验证的数据。在肝硬化门静脉高压症领域,我们目前验证的金标准还是肝静脉压力梯度(HVPG)定量,因为这是一个相对容易获得的临床终点判定标准。最理想的情况是根据长期随访数据,对失代偿事件或死亡结局等重点事件进行分类,但这对队列研究要求非常高,目前还未看到相应数据公布。此外,利用临床基线数据进行人工智能分析也是经过验证可行的。我们发现,肝脏硬度、血小板计数以及总胆红素值3个指标是在临床所有基线资料中最有价值的模型参数。
对于后续机器学习的临床研究肯定要进一步细化到每个病因,比如在中国、甚至亚太地区研究队列中,要重点分析乙肝队列,一方面这是最主要的病因,另一方面样本量较大,同时还要注意建立标准质控的队列。

图2. 机器学习的临床数据源
(引自讲者幻灯)
但如果要实现机器学习真正应用于临床,还需要面临很多问题,主要是与政策导向或市场选择有关,涉及软件模型的三类医疗器械注册证、涉及当地实际定价、涉及具体医院的收费标准等。我们也可以参考在其他领域相对成熟的引入经验,比如肿瘤筛查或肺小结节筛查领域,已经有一些比较不错的产品的形态形成。我们希望后续能够和大家一起推动人工智能在临床的落地。
《国际肝病》
脾脏硬度值在评估肝硬化门静脉高压症方面的性能如何?
·祁小龙教授·
脾脏,对于门静脉高压来讲,也是特别重要的一个器官。通常情况下,肝脏血液异常只局限于肝脏内部病变,但是一旦疾病进展到了肝硬化阶段,由于门静脉流出道受阻,就会导致门脉压力增高。我们都知道,门静脉是由脾静脉和肠系膜上静脉连接而成的,所以又会间接影响脾脏的解剖学、形态学和血流动力学的改变。目前,CHESS在脾脏硬度方面的研究有两项。其中一项来自全国多中心研究,考察了瞬时弹性成像检测脾脏硬度的诊断性能,目前该研究已经在总结数据、撰写论文阶段;另一项研究基于二维剪切波弹性成像技术,该技术可以更好地实现脾脏可视化。
总体而言,对于肝硬化门脉高压的评估和监测,脾脏硬度起到一个非常重要的作用。但是目前相关研究证据较少,希望接下来国内外专家学者能重点关注脾脏硬度这一领域。特别是在肝硬化门脉高压患者药物干预方面,脾脏硬度结果或可用于评估药物治疗效果,目前已有一些研究取得相应进展。
《国际肝病》
对于基层医生开展相关的临床研究,您认为需要具备的条件是什么,您有哪些建议?
·祁小龙教授·
整体而言,我们希望实现门静脉高压症的诊疗关口前移,这就突出来基层医院和基层医务工作者的重要性。众所周知,门静脉高压如果到了失代偿期、出血、腹水这个阶段,可能就需要去“大三甲医院”或地级市人民医院进行治疗。但如果是早期患者,并没有明确症状,此时患者可能更愿意在基层地方、自己的社区内接受早期的诊断和评估。所以,对于基层医务工作者,一定要重视早筛早诊的理念,提高医疗条件和相关的诊疗能力。
比如去年5月,CHESS与山西霍州市政府联合开展了基层义诊筛查项目,我们去到了乡村每个街道卫生院,为患者进行传染病四项筛查、糖尿病合并代谢性脂肪肝筛查、门脉高压筛查,与基层医生分享研究进展。这是非常重要的环节,有助于培养基层医生的科研理念。此外,要重视培养基层医生的诊疗思维,如果遇到一些受限于技术条件无法开展的项目(如肝脏硬度筛查),是否可以使用其他指标,比如肝脏纤维化的标记物、GP73、超声检验等。基本检测手段在基层的开展将会有助于提高医务工作者对疾病的早筛早诊能力。
《国际肝病》
近年来,CHESS在门静脉高压症研究领域取得哪些主要进展?
·祁小龙教授·
自2016年CHESS成立以来,在全国专家同道、青年医生和研究者的共同努力下,我们取得了一些可喜成果,主要涉及三个纬度:新理念、新产品和新的标准。
新理念——重视门静脉高压症的正确科普,我们在很多的场合(包括全国两会期间)都会联合领域专家和知名人士共同推动门静脉高压症的规范防治理念,包括全程管理和多学科联合等新理念,以期能够提高公众对这一领域的正确认知。为此,去年经过和相关专家的一致讨论,共同将12月6日确立为“全国门静脉高压防治宣传日”,共同呼吁门静脉高压防治,改善我国门静脉高压防治现状中“重治疗、轻预防”的问题。
此外,一些新理念也渗透到研究领域。比如说在CHESS2106前瞻性多中心研究中,有别于既往重点关注显性肝性脑病的诊断和治疗,我们希望将轻微型肝性脑病提上临床关注日程。目前该研究进展可喜,已经有全国27个省份将近60余家医院入组了约1500例患者。这提示着随着研究的深入,轻微型肝性脑病早筛早诊的理念已经逐步渗透到肝病医生的临床诊疗实践中。
同样渗透入临床实践的还有HVPG检测理念,最新数据显示,2021年全国医院共有4200台HVPG检测设备,而该数字在2016年仅为100左右,五年时间激增40倍也代表着临床对门静脉高压精准评估的越来越重视。
新产品——总的来说,门静脉高压领域的产品进展比较滞后。过去几年,我们努力与相关企业合作,共同开发了一些诊断和监测技术手段,部分已经拿到了国家认证,后面也会加快推动临床实践的落地。
新标准——基于中国国情,建立更适合我国以乙肝肝硬化为主的患者的筛查和管理模型。因为我们的最新流调数据显示(即将发表),在目前为止,中国仍有65%左右的肝硬化是乙肝导致的。
专家简介
祁小龙
教授、博士生导师
CHESS联盟创始人、理事长
PH&C期刊创始人、主编
国家传染病医学中心门静脉高压联盟理事长
中国人体健康科技促进会门静脉高压专业委员会主任委员
美国肝脏研究学会门静脉高压外联委员会副主席
致力于门静脉高压诊治新技术研发及转化。共发表SCI论文135篇,影响因子1172分,引用4300余次(其中被引用文献IF>20分 108篇、IF>10分 340篇),H-index 34。作为通讯作者(第一作者)代表论文:J Hepatol (25.083), Gut (23.059), Lancet Gastroenterol Hepatol (18.486),Radiology (11.105)。研究获得Lancet (79.321),Nature(49.962)专题报道。
(来源:《国际肝病》编辑部)

