
Queck A, Schwierz L, Gu W, et al. Targeted decrease of portal hepatic pressure gradient improves ascites control after TIPS. Hepatology 2022.

简评丨牛猛

简评丨孙超
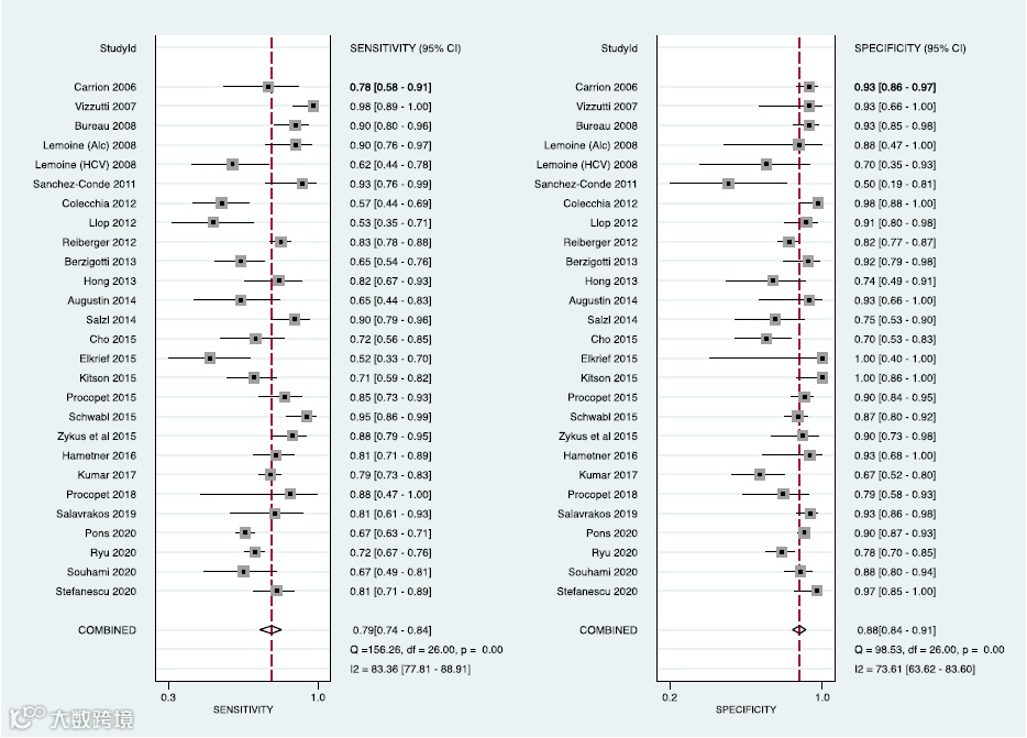
Kumar A, Maruyama H, Arora A, et al. Diagnostic accuracy of transient elastography in diagnosing clinically significant portal hypertension in patients with chronic liver disease: a systematic review and meta-analysis. J Med Ultrason (2001) 2022.

简评丨何蕊玲
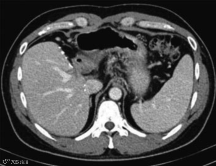
Choi JY, Kim KW, Jang JK, et al. Progression of Portal Hypertension in Acute Cellular Rejection After Liver Transplantation. Exp Clin Transplant 2022.

简评丨饶伟
扫描二维码
浏览往期文章

声明:本文仅供医疗卫生专业人士了解最新医药资讯参考使用,不代表本平台观点。该等信息不能以任何方式取代专业的医疗指导,也不应被视为诊疗建议,如果该信息被用于资讯以外的目的,本站及作者不承担相关责任。
(来源:《国际肝病》编辑部)

