
门静脉血栓(PVT)是肝硬化的主要并发症之一。完全性门静脉血栓与肝硬化预后不良密切相关。荟萃分析结果均提示,抗凝药物有助于开通门静脉血栓、预防血栓蔓延。然而,临床医生仍非常忌惮肝硬化患者应用抗凝药物后的出血风险。近来的研究证据也暗示着门静脉血栓自发性开通的可能性。当然,这些肝硬化门静脉血栓患者无需抗凝治疗。
沈阳军区总医院消化内科的祁兴顺医生、郭晓钟教授与多位国际著名的肝病医生共同讨论后,首次提出了肝硬化“一过性”门静脉血栓(Transient PVT)的定义。相关综述文章刊登在BMC Medicine杂志(2017 IF=9)(如下图)。


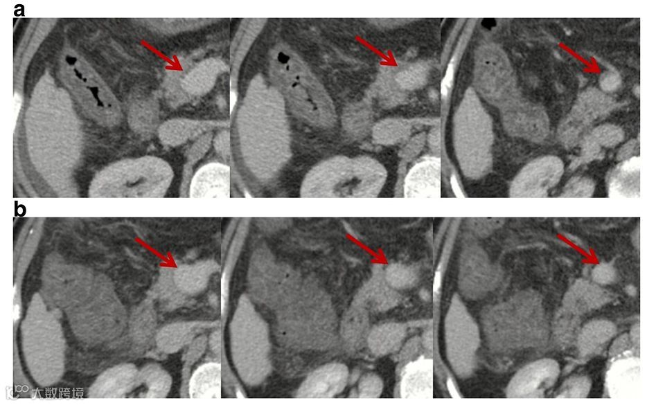
文章展示了祁兴顺医生收治的两例肝硬化“一过性”门静脉血栓患者的影像学结果(如下图)。

第1例患者
图a:门静脉主干与脾静脉汇合处的血管壁可见少许血栓。图b:门静脉主干与脾静脉汇合处的血管腔内通畅。

第2例患者
2016年3月至7月期间,门静脉主干与脾静脉汇合处血栓呈逐渐加重趋势。然而,2017年5月及9月的两次影像学检查均提示,门静脉主干与脾静脉汇合处血栓消失。
文章也汇总了有关肝硬化门静脉血栓自发性开通的相关数据,并进行荟萃分析。结果提示,肝硬化门静脉血栓自发性开通率可达33.2%(如下图)。

荟萃分析结果
最后,文章初步总结了肝硬化“一过性”门静脉血栓的自然病程(如下图)。若患者并未诊断为“临床显著性”门静脉血栓,则可考虑随访1-3个月,再酌情予以抗凝治疗或者继续随访观察。

图释肝硬化“一过性”门静脉血栓的自然病程
文章全文链接详见:
https://bmcmedicine.biomedcentral.com/articles/10.1186/s12916-018-1069-8
祁兴顺
男,1984年7月出生,沈阳军区总医院消化内科,副主任医师,博士,博士后。
主要获奖包括博士毕业论文获得2015年全军优秀博士学位论文;2016年度军队科学技术奖一等奖(排序第2);2017年辽宁医学科技奖一等奖(排序第2);2016年度山东省科学技术奖二等奖(排序第4)。分别于2011年、2015年、2017年获三等功。
学术任职包括中国医师协会整合医学分会消化专业委员会 委员;中国生物医药整合联盟 理事;中华医学会消化病学分会 青年委员;中华中医药学会中药调剂与合理用药分会青年委员会 副主委;中国研究型医院学会肝病青委会 青年委员;《BioMed Research International》(IF=2.4)客座编辑;《Gastroenterology Research and Practice》(IF=1.7)客座编辑;《Therapeutic Advances in Gastroenterology》(IF=3.6)客座编辑;《Canadian Journal of Gastroenterology and Hepatology》(IF=2.1)客座编辑;《Annals of Hepatology》(IF=1.6)副主编;《AME Medical Journal》主编;《World Journal of Hepatology》编委;《Journal of Translational Internal Medicine》执行专栏编委;《Cardiovascular & Hematological Disorders - Drug Targets》编委;《World Journal of Meta-Analysis》编委(2017.01-2018.04);《世界华人消化杂志》编委;《医学信息》编委;《中国循证医学杂志》青年编委;《Journal of Hepatology》、《Clinical Gastroenterology and Hepatology》、《Alimentary Pharmacology & Therapeutics》、《Journal of Thrombosis and Haemostasis》、《Thrombosis and Haemostasis》等50余本SCI杂志的同行评审专家。
以负责人身份共获得基金资助3项,包括:1)2015年国家自然科学基金青年科学基金;2)2015年辽宁省自然科学基金面上项目;3)第58批中国博士后科学基金面上资助二等资助。
以第一作者在《New England Journal of Medicine》发表Image文章,在《Nature Reviews Gastroenterology & Hepatology》、《BMC Medicine》、《Clinical Gastroenterology and Hepatology》、《Alimentary Pharmacology & Therapeutics》、《Thrombosis and Haemostasis》等SCI杂志发表原创性及综述类文章。
根据Scopus统计,当前H-index为27,总共2280次引用。
(来源:《国际肝病》编辑部)


