
各位专家同道好,本期CHESS月评(第三十七期)将分享上月PubMed发表的门静脉高压诊疗领域6篇文献(诊断监测3篇、多学科治疗3篇)。本期特邀月评专家:中山大学附属第一医院普外科郭志勇教授和中南大学湘雅三医院放射科容鹏飞教授、中国科学技术大学附属第一医院普外科王继洲教授。


Zhang W, Peng C, Zhang S, et al. EUS-guided Portal Pressure Gradient Measurement in Patients With Acute or Subacute Portal Hypertension. Gastrointest Endosc. 2020
超声内镜(EUS)引导下门静脉压力梯度(PPG)测量是一种评估门静脉高压严重程度的新方法。近日,来自我国南京大学医学院附属鼓楼医院的Zhang W等人研究了急性或亚急性门静脉高压患者EUS-PPG与肝静脉压力梯度(HVPG)测量值间的一致性。相关内容发表在Gastrointestinal Endoscopy杂志上。
该前瞻性研究共纳入12例患者。使用22号细针抽吸针(FNA)在EUS引导下行PPG中央静脉压测量。采用经颈静脉入路测量HVPG。如果无法获得HVPG测量值,并且患者接受了经颈静脉肝内门体分流术(TIPS)治疗,则在手术过程中记录PPG作为参考标准。最后评估EUS引导下PPG的可行性与安全性,并分析两种测量方法之间的相关性。
结果发现,EUS-PPG成功测量11例(91.7%)。在2例Budd-Chiari综合征(肝静脉阻塞亚型)患者中HVPG测量失败,其中1例接受TIPS并获得经颈静脉PPG数据。在一次HVPG测量中发现一个小分流导致测定不准确。最终,9例患者纳入统计分析。患者平均EUS-PPG和HVPG/PPG(经颈静脉)分别为18.07±4.32 mmHg和18.82±3.43 mmHg。两种方法间的Pearson相关系数为0.923(P<0.001)。
因此,EUS引导下用22号细针测量门静脉压力是一种安全、准确的方法,有望作为检测HVPG的补充方法。

简评丨祁小龙
兰州大学第一医院门静脉高压研究所(中心)
对于急性或亚急性门静脉高压患者,需准确评估其门静脉压力,以指导临床不同的治疗方法。目前,评估门静脉压力的金标准为介入条件下测量的HVPG。超声胃镜(EUS)作为近年来发展的新技术,在胰腺肿瘤、胃肠道肿瘤等领域发挥了重要作用(Gastroenterology,2019)。目前,EUS在门静脉高压领域的价值也在积极探索中:CHESS与天津市第二人民医院合作推进的CHESS1902研究,旨在探讨EUS测量的食管胃壁外静脉曲张大小对肝硬化门静脉高压失代偿事件的预测价值。
本项来自南京鼓楼医院的研究发现,针对急性或亚急性门静脉高压患者,EUS引导下测量的PPG与在介入条件下测量的HVPG/PPG具有良好的相关性(R=0.923,P<0.001)。研究从2018年6月到2019年12月连续入组了12位患者,其中1例患者EUS-PPG测量失败,另外两位患者HVPG测量失败,最终纳入分析的患者为9人。结果表明,EUS-PPG与介入条件下测量的HVPG/PPG的测量值(18.07±4.32 mmHg vs. 18.82±3.43 mmHg, P=0.231)及手术时间(38.33±15.41 s vs. 37.22±6.18 s, P=0.862)无显著性差异。
本研究设计看似简单,但实施难度不小,如:EUS引导下的血管穿刺、具有配对的EUS-PPG和HVPG。作为发表在国际内镜顶刊Gastrointestinal Endoscopy的数据,该研究借助EUS新技术测量PPG,可在一定程度上解决HVPG检测技术人员短缺、仅能评估窦性肝硬化门静脉压力等问题。本研究作者团队提到:①该研究结果仍需要大样本的验证;②深度镇静药物可能影响EUS-PPG测量的准确性(Liver Int 2014)。因此,适度镇静和镇痛对于此类患者是否更加合适?CHESS正在进行的另一项研究试图探索适度镇静和镇痛对HVPG检测准确性的影响。
Zheng J, Feng X, Liang Y, et al. Safety and feasibility of laparoscopic liver resection for hepatocellular carcinoma with clinically significant portal hypertension: a propensity score-matched study. Surg Endosc. 2020
对于可切除肝细胞癌(HCC)患者,合并有临床显著性门静脉高压(CSPH)仍是肝切除术的相对禁忌证。 近日,来自我国浙江大学医学院附属邵逸夫医院的Zheng J等人探讨了腹腔镜辅助的手术方法将肝切除的适应证扩展至CSPH患者的可行性。相关内容发表在Surgical Endoscopy杂志上。
该研究共纳入了2016年2月至2019年9月由同一医疗团队进行腹腔镜肝切除术(LLR)的156名患者。根据患者是否存在CSPH分为CSPH组(n=26)和非CSPH组(n=130)。分析倾向评分匹配(PSM)前后有或无CSPH组患者间手术和肿瘤学结局。
结果显示,CSPH组患者表现出更多的肝功能不全(P<0.05)。PSM后(n=48例),CSPH组术后住院时间更长(P=0.054)。但是两组患者在手术时间(P= 0.329)、失血量(P =0.392)、输血率(P=0.701)、转开腹手术率(P=0.666)、手术切缘(P=0.306)、手术死亡率和综合并发症指数(P=0.844)上无显著差异。整个研究队列的中位随访时间为19.6个月(0.2~40.6个月)。CSPH组患者的3年总体生存率为62.9%,非CSPH组为84.3%(P=0.109),PSM后的结果相似(P=0.573)。
因此,LLR治疗合并CSPH的肝癌患者是安全可行的。以LLR为代表的微创手术的引入可以适当扩大肝切除的适应证。

简评丨郭志勇
中山大学附属第一医院普外科
临床显著性门静脉高压(CSPH)对于可切除的肝细胞癌患者而言,是肝切除术的相对禁忌证。而经腹腔镜下肝切除术是否能将肝切除的适应证扩展至CSPH的HCC患者,这是许多临床工作者的努力方向。目前,有不少小规模的回顾性研究表明肝部分切除对于门静脉高压的肝细胞癌患者是安全可行的,但需要谨慎地选择患者以及手术熟练的外科医生进行操作。
本研究纳入标准为:①术前根据影像学表现诊断为原发性肝癌;②病灶可手术切除;③初次行腹腔镜肝切除术;④组织学上确定肿块为HCC,并排除组织学上诊断为肝内胆管癌的其他癌症病史和临床资料不完整的患者。从2016年2月至2019年9月在浙江大学医学院附属邵逸夫医院进行的腹腔镜下肝切除术患者中,最终纳入了156例患者,以探究并比较在临床上有CSPH或无CSPH的HCC患者行腹腔镜肝切除术后的外科资料和预后。
对于可切除且同时患有肝细胞癌与CSPH的患者,在一定的围手术期和肿瘤指标范围内,LLR可作为一种根治的治疗方法,尤其是对于在BCLC替代标准诊断下的患者。当然,本研究结果还需进一步证明,即使在肝大部切除术中,LLR适应证也可适当扩大至CSPH患者。
Deng ZC, Jiang WZ, Chen L, et al. Laparoscopic VS. Open Splenectomy and Oesophagogastric Devascularisation for Liver Cirrhosis and Portal Hypertension: A Retrospective Cohort Study. Int J Surg. 2020
近日,来自我国江苏的Deng ZC等人比较了肝硬化继发性门静脉高压患者中腹腔镜脾切除联合食管胃断流术与开腹脾切除联合食管胃断流术的疗效。相关内容发表在International Journal of Surgery杂志上。
该回顾性研究纳入2002年1月至2018年12月间在该院确诊为门静脉高压和严重食管胃静脉曲张的192例患者; 其中62例患者接受了腹腔镜脾切除联合食管胃断流术(腹腔镜组),130例患者接受开放手术(开放组)。
结果显示,腹腔镜组患者的平均失血量明显少于开放组(180 mL vs. 380 mL,P<0.001)。腹腔镜组患者的住院时间较短(6天vs. 11天,P<0.001),并发症发生率更低(P<0.001)。开放组和腹腔镜组患者的一般并发症发生率分别为23.8%和4.8%(P<0.001),手术并发症发生率分别为56.1%和24.2%(P<0.001)。在患者术后随访的10~60个月期间,两组之间食管胃静脉曲张再出血发生率没有显著差异。
因此,腹腔镜脾切除联合食管胃断流术是一种安全可行的方法。与开放手术相比,腹腔镜组患者出血量少、住院时间短、术后并发症少,远期疗效无明显差别。

简评丨王继洲
中国科学技术大学附属第一医院普外科
门静脉高压和食管胃静脉曲张出血是肝硬化最主要的并发症,肝移植是根治性的方法,但由于供体短缺等问题严重限制其应用。由于分流手术常造成术后肝性脑病问题,目前在我国,切脾断流术是解决食管胃静脉曲张和脾功能亢进的主要治疗手段。随着腹腔镜技术的发展,越来越多的中心已经陆续开展腹腔镜切脾断流手术。
该研究回顾其中心过去17年的开放和腹腔镜切脾断流的临床数据,发现腹腔镜手术可以减少术中出血、缩短住院时间,并且术后食管胃静脉曲张再出血的发生率也与开放手术相当。腹腔镜技术不仅可以减少切脾断流的心肺并发症、消化溃疡、肠梗阻及肾衰发生率,还可以控制手术相关并发症,比如切口感染、膈下脓肿、胰瘘、胸腔积液等,但在控制门静脉血栓及腹腔出血方面并没有体现出优势。
该研究通过单中心回顾性分析,明确了腹腔镜技术在切脾断流手术中的优势,但目前利用腹腔镜进行巨脾(尤其是脾脏超过腹正中线或髂前上棘连线)切除的安全性还存在争议,该研究并没有对这类患者进行分层分析,期待更多的分层数据证实腹腔镜技术在各种特殊类型的食管胃静脉曲张出血及脾亢患者中的安全性。
Mesropyan N, Isaak A, Faron A, et al. Magnetic resonance parametric mapping of the spleen for non-invasive assessment of portal hypertension. Eur Radiol. 2020
门静脉高压是晚期肝病患者的重要危险因素,有可能导致患者出现食管静脉曲张破裂出血、腹水和肝性脑病等并发症。近日,来自德国的Mesropyan等人研究了核磁共振T1和T2图像指标以及细胞外体积分数(ECV)在门静脉高压无创性诊断中的价值。相关内容发表在European Radiology杂志上。
该项前瞻性研究对50名参与者进行了MRI检查[33例有经颈静脉肝内门体分流术(TIPS)适应证的患者和17名健康志愿者]。试验队列和验证队列分别包括40名和10名参与者。使用定量标测技术评估T1和T2弛豫时间和肝脾ECV。在患者行TIPS手术期间进行直接肝静脉压力梯度(HVPG)和门静脉压力测量。最后通过ROC分析比较各指标的诊断性能。
结果显示,脾脏ECV与门静脉压力(r=0.72; P<0.001)与患者HVPG(r=0.50; P=0.003)相关;而脾脏T1和T2舒弛豫时间与门静脉压力间未存在显著相关性(P值均大于0.05)。在试验队列中,脾脏ECV在鉴别临床显著性门静脉高压(HVPG≥10 mmHg)时AUC为1.000,优于其他参数:肝T2(AUC 0.731),脾T2(AUC 0.736)和脾固有T1(AUC 0.806)(P值均<0.05)。在验证队列中,相关参数的诊断性能相当。
因此,脾脏ECV与晚期肝病患者的门静脉压力相关。进一步的研究应该在更广泛的门静脉高压范围内探索参数的诊断价值。

简评丨容鹏飞
中南大学湘雅三医院放射科
门静脉高压对于晚期肝病患者而言是导致胃底-食管静脉曲张出血、腹水和肝性脑病等严重并发症的重要危险因素。目前测量门静脉高压的金标准是肝静脉压力梯度(HVPG),因其具有侵袭性和费用问题限制了临床上的开展。目前临床多用彩超和CT、MRI来判断门静脉高压的存在,但都难以发挥类似于HVPG定量分析的作用。
本研究前瞻性招募了50名参与者行MRI检查,其中33名为曾接受经颈静脉肝内门体分流术(TIPS)的晚期肝病患者,另外17名为健康志愿者。所招募的病例按照4:1的比例随机分为原始组和验证组,将他们MRI扫描中肝脏和脾脏的T1、T2弛豫时间以及细胞外体积分数(ECV)与参与者的门静脉高压数据进行统计分析。
结果显示,脾脏ECV与门静脉高压(P<0.001)、直接HVPG(P=0.003)显著相关。诊断效能检验显示,脾脏ECV敏感性在原始组和验证组均为100%,特异性在原始组和验证组分别为100%和80%。肝脏和脾脏的T1、T2弛豫时间则没有显著相关性,诊断效能检验也没有明显诊断意义。因此,晚期肝病患者脾ECV与门静脉压力测定相关。未来在无创定量分析门静脉高压时,脾ECV或起到一定作用。
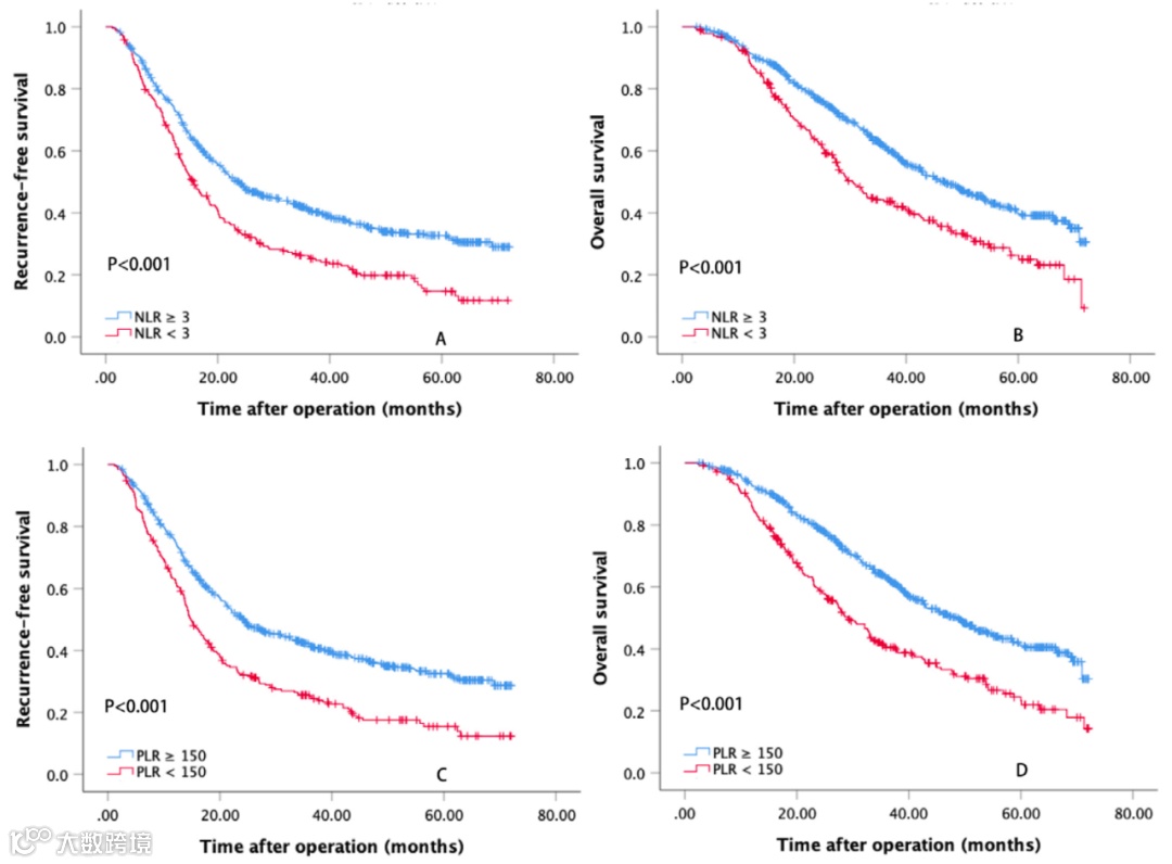
Qin L, Li C, Xie F, et al. Are inflammation-based markers useful in patients with hepatocellular carcinoma and clinically significant portal hypertension after liver resection? Biosci Trends. 2020
基于炎症的标志物被认为是肝细胞癌(HCC)患者肝切除术后的预后指标。但是,关于这些指标是否对合并有临床显著性门静脉高压(CSPH)的HCC患者有效知之甚少。近日,来自我国华西医院的Qin L等人探讨了相关问题,具体内容发表在BioScience Trends杂志上。
该研究共纳入了1452例患者。分析伴或不伴CSPH患者的无复发生存期(RFS)和总体生存期(OS)的独立危险因素。
多因素分析表明,对于没有CSPH的HCC患者,微血管浸润(MVI)、中性粒细胞与淋巴细胞比率(NLR)≥3、血小板与淋巴细胞之比(PLR)≥150,肿瘤大小>5 cm,以及存在微卫星病变,与RFS独立相关。MVI、NLR≥3、PLR≥150和患者巴塞罗那临床肝癌分期(BCLC)晚期是导致死亡的主要因素。但是,无论是NLR还是PLR都未显示出对合并CSPH的HCC患者有任何预后预测能力。对于合并CSPH的HCC患者,肿瘤大小>5 cm、MVI、卫星病变和白蛋白-胆红素(ALBI)级别是RFS的独立危险因素,而肿瘤大小> 5 cm、MVI、多发肿瘤、ALBI级别和BCLC晚期对患者OS有预测作用。
因此,该研究证实了CSPH可影响基于炎症标志物的预测能力。这些结果提示,在肝切除术后的肝癌患者中应用此类标记物时,应更加注意CSPH的影响。

简评丨郭志勇
中山大学附属第一医院普外科
在临床上,对于肝切除术后的肝细胞癌患者,炎症标记物可作为预后预测因子发挥作用。但是,关于它们是否对临床显著性门静脉高压(CSPH)的HCC患者有用的信息非常少。本研究从2013年至2019年在四川华西医学院接受了肝切除术治疗的肝细胞癌患者人群中,依据排除标准:①再次肝切除术;②癌组织破裂者;③术前进行了抗肿瘤治疗者;④病理显示手术切缘肿瘤细胞阳性者;⑤患有其他类型肿瘤者。最终纳入1452名患者,以探究CSPH是否会对炎症标志物的预测作用产生不利影响。
本研究发现,对于非CSPH的HCC患者,多因素分析表明:微血管浸润(MVI)、嗜中性白细胞与淋巴细胞之比(NLR)≥ 3、血小板与淋巴细胞之比(PLR)≥ 150、肿瘤大小≥ 5 cm以及存在卫星病变,皆与无复发生存期(RFS)存在独立的相关性。MVI、NLR≥3、PLR≥150和巴塞罗那分期(BCLC)晚期都会导致死亡。但是,对于CSPH的HCC患者,NLR和PLR均无预后预测价值。对于CSPH的HCC患者,肿瘤大小>5 cm、MVI、卫星病变以及白蛋白-胆红素(ALBI)分级皆是RFS的独立危险因素,而肿瘤大小>5 cm、MVI、多发肿瘤、ALBI级和BCLC晚期都显示出对总体生存期(OS)的预后能力。
研究证实,CSPH可以影响全身性炎症反应标志物的预测能力。NLR与PLR仅在非CSPH的HCC患者中表现出预测价值,而根据ALBI分级评估的肝功能不佳会导致CSPH的HCC肝切除术后患者预后较差。因此,在临床实践中,尤其是在肝切除术后对肝癌患者应用炎症标记物时,应更加注意CSPH对炎症标记物预测价值的影响。
Casellas-Robert M, Lim C, Lopez-Ben S, et al. Laparoscopic Liver Resection for Hepatocellular Carcinoma in Child-Pugh A Patients With and Without Portal Hypertension: A Multicentre Study. World J Surg. 2020
腹腔镜下肝切除术(LLR)有可能会改善肝硬化合并门静脉高压(PHT)的肝细胞癌(HCC)患者的预后。近日,Casellas-Robert M等人的研究比较了肝硬化合并或不合并PHT的HCC患者行LLR的术后短期预后情况。相关内容发表在World Journal of Surgery杂志上。
该多中心研究共纳入了96例接受LLR的HCC患者。有临床显著性门静脉高压(CSPH)定义为肝静脉压梯度≥10 mmHg。比较伴和不伴CSPH患者的短期预后和肝特异性并发症,包括肝切除术后肝衰竭(PHLF)、腹水和脑病。
结果发现,共有31名患者(32%)合并有CSPH。CSPH组患者术后并发症的发病率更高(52%vs. 15%;P<0.001),PHLF(10%vs. 0%;P=0.03)和脑病(10%vs. 0%;P=0.03)发生率都显著增加。两组患者术后腹水无明显差异(CSPH:16% vs. 无CPSH:8%,P=0.28)。CSPH组患者的住院时间要长于不伴有CSPH的患者(6天vs. 4天;P<0.001)。
因此,腹腔镜手术在某些筛选后的合并CSPH的HCC患者中是可行的,同时伴有CSPH的患者术后肝特异性并发症和住院时间显著增加。

简评丨王继洲
中国科学技术大学附属第一医院普外科
该研究通过回顾法国和西班牙三家中心96例肝癌的腹腔镜肝切除数据,发现其中伴有临床显著性门静脉高压(CSPH)的患者比例高达32%。这类患者进行腹腔镜肝切除具有更高的术后并发症和肝衰竭发生率,肝性脑病发生率可达10%。尽管CSPH并没有增加术后腹水的发生,但这类患者的手术时间、肝门阻断时间和住院时间明显延长,术中失血也明显增多。
该研究证实了腹腔镜肝切除在伴有CSPH的肝癌患者中是可行的,由于研究并没有纳入开腹肝切除患者的数据,腹腔镜技术在伴有CSPH肝癌患者中的优势及缺点还要更多的数据支持。另外,伴有CSPH肝癌患者在腹腔镜肝切除后肿瘤复发和患者生存的数据还需要进一步观察和随访。
扫描二维码
浏览往期文章

(来源:《国际肝病》编辑部)


