

编者按:
门静脉高压患者胃静脉曲张(gastric varices, GV)发病率约为20%,包括孤立性GV或合并食管静脉曲张(esophageal varices, EV)。由于EV发病率更高,临床研究开展充分,国内外指南对其治疗已建立起广泛的共识意见。GV发病率相对较低,现有临床研究存在诸多不足之处,学术界争议较大,GV的最佳治疗策略尚未完全确定。在本届EASL年会上,四川大学华西医院罗薛峰副教教授团队口头报告了一项前瞻性随机对照临床研究,探究了球囊阻断逆行静脉血管硬化(BRTO)预防GV再出血的有效性和安全性(大会摘要号:AS104)。该项研究表明,BRTO比内镜下组织胶注射在预防GV再出血方面更有效,并发症发生率和死亡率相似,可以考虑作为二级预防的首选。
门静脉高压患者胃静脉曲张(gastric varices,GV)发病率约为20%,包括孤立性GV或合并食管静脉曲张(esophageal varices,EV)。根据静脉曲张在胃内所处的位置,GV分为胃食管静脉曲张(gastroesophageal varices, GOV)和孤立性胃静脉曲张(isolated gastric varices,IGV)。GOV分为GOV1和GOV2, GOV1是食管静脉曲张跨过胃食管交界处,沿胃小弯侧向下延伸2-5 cm,GOV2是食管静脉曲张跨过食管胃交界处向胃底大弯侧延伸,通常更长、更迂曲,多呈结节性或串珠样。IGV包括IGV1和IGV2,IGV1是指位于胃底部的静脉曲张,向贲门部延伸,多呈结节性或串珠样,而IGV2可发生在胃内任何部位,如胃体、胃窦等。上述胃静脉曲张分型由印度学者Sarin等建立,对GV流行病学统计、出血风险的评估和临床管理具有重要价值[1]。据Sarin等统计,GOV1约占75%,GOV2为 21%, IGV1不到2%,而IVG2约为4%[2]。
食管胃静脉曲张每年破裂出血的风险达到5% ~ 15%,其中约20%的患者在急性出血6周内死亡,40% ~50%的患者出血可自行停止,然而6周内再出血率高达30%~40%,1-2年内静脉曲张再出血率则为60%[3]。一般认为,GV出血发生率低于单纯EV,约占曲张静脉出血来源10~30%[4]。需要重视的是,GV往往出血更严重,死亡率更高,并且急性出血停止后再出血风险高达35%~90%[1]。
由于EV发病率更高,临床研究开展充分,国内外指南对其治疗已建立起广泛的共识意见。GV发病率相对较低,现有临床研究存在诸多不足之处,学术界争议较大,GV的最佳治疗策略尚未完全确定,仍有许多问题亟待探索。
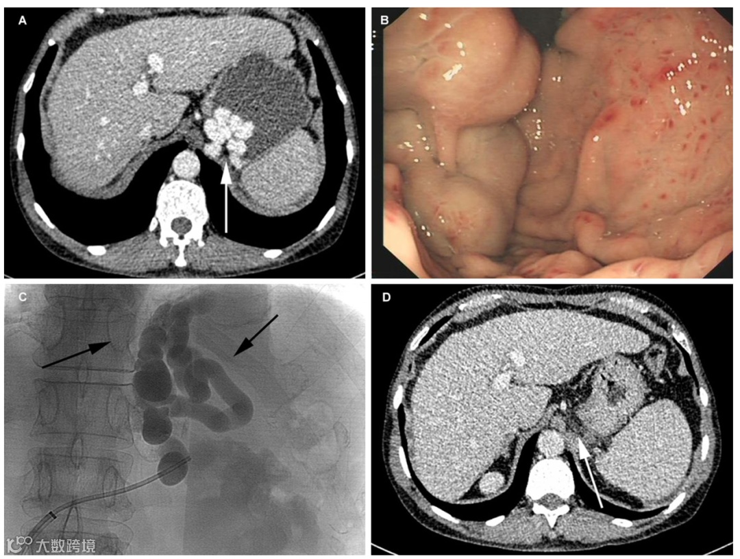
球囊闭塞逆行静脉闭塞术(BRTO)是指经股静脉或颈内静脉将球囊导管插入胃肾或胃腔分流道的流出端,充盈球囊以阻止血流流动,并注射硬化剂以消除静脉曲张[5]。早在1984年,印第安纳大学Olson就尝试球囊封堵胃肾流出道,并成功使用酒精完成了首例GV硬化治疗[6]。Hong等人比较了BRTO与内镜下组织胶注射治疗胃静脉曲张急性出血的疗效,内镜治疗组和BRTO组止血成功率无明显差异(100%和77%),再出血率内镜治疗高于BRTO(71%和15%),并发症和死亡率两组相当[7]。一项样本量较大的回顾性研究评估了6家大学附属医院213例患者接受BRTO治疗胃静脉曲张出血的临床预后, BRTO的技术成功率为97%,与手术相关的并发症(如肺栓塞和肾脏梗死)为4.4%,151例内镜复查的患者中79例(52.3%)GV消失,110例(72.8%)明显缓解[8]。平均随访3年后,39例(18.3%)患者再出血,GV出血7例而EV出血为18例[8]。
BRTO在日韩临床应用经验较多,发表论文也是国际上最多的,欧美国家近年来开展例数也在逐渐增加。目前BRTO技术国内发展不尽如人意,一方面是部分学者关注不够,理念上仍片面追求降低压力,另一方面也是缺乏合适的介入器械。四川大学华西医院一直在探索BRTO技术的规范化和国产化,并于2017年发表了基于华西经验的BRTO技术(图1)[9]。2014年至2015年,32例肝硬化合并GV出血患者在华西医院行聚桂醇泡沫硬化治疗,BRTO技术成功率为96.9%,仅有1例患者缺乏合适的球囊无法彻底封堵分流道。泡沫硬化可以大大降低硬化剂的使用量,减少硬化剂相关并发症,本组患者聚桂醇的平均用量为12.4 ml(8~20 ml)。BRTO术后2例患者新发门静脉血栓自行缓解,7例(22.6%)患者EV加重行内镜治疗,5例(16.1%)患者腹水加重。随访2年后2例患者死亡,31例患者经内镜或CT证实GV消失。

受限于高质量临床研究的匮乏,胃静脉曲张治疗策略尚缺乏广泛接受的共识意见。就GV二级预防而言,美国肝病学会推荐TIPS或BRTO为一线治疗,内镜下组织胶注射为二线治疗。英国指南则推荐内镜下组织胶注射为一线治疗,TIPS二线治疗。国际上最有影响力的Baveno共识意见则认为内镜下组织胶注射、β受体阻滞剂、内镜联合药物治疗或TIPS均可应用于预防GV再出血。与此同时,Baveno共识和英国指南都认为BRTO治疗GV值得进一步探索。
我们通过前瞻性随机对照临床研究,纳入GV急性出血恢复的患者,比较内镜下组织胶水注射和BRTO预防GV再出血的有效性和安全性。主要终点为胃静脉曲张再出血或全因再出血。两组患者基线信息无明显差异。内镜治疗组平均随访时间为27.1±12个月,BRTO组平均随访时间为27.6±14.3个月。BRTO组GV完全闭塞率高于内镜治疗组(96.9% vs 81.3%, P= 0.045)。内镜治疗组胃静脉曲张再次出血的概率高于BRTO组(P= 0.024)。内镜治疗组与BRTO术后1年和2年无出血的概率分别为77%和96.3%,65.2%和92.6% (P= 0.004)。两组患者的生存率、并发症发生率及EVs加重程度相似。同时,BRTO减少了住院次数和住院时间,降低了总的住院医疗费用。结论:BRTO比内镜下组织胶注射在预防GV再出血方面更有效,并发症发生率和死亡率相似,可以考虑作为二级预防的首选。
专家简介
杨丽
四川大学华西医院消化内科/内镜中心主任
四川大学-牛津大学华西消化道肿瘤联合研究中心主任教授/主任医师、博士生导师
四川省学术和技术带头人、四川省卫生健康领军人才中华医学会肝病学分会委员
中国医师协会消化医师分会委员
中华医学会肝病学会肝纤维化、肝硬化学组副组长
中华医学会消化内镜学会影像学协作组副组长
中华医学会肝病学会自身免疫性肝病学组委员
中华医学会消化内镜学会静脉曲张学组委员
中华医学会消化内镜学会超级微创协作组委员
四川省医学会第七届消化专委会主任委员
四川省医师协会第四届消化医师分会候任会长
国家消化道早癌防治中心联盟理事
国际食道疾病中国分会执行常委
专家简介
罗薛峰 四川大学华西医院
医学博士、副教授、硕士研究生导师
Baveno 7专家组成员
中华医学会放射学分会 介入/青年委员
中国抗癌协会肿瘤微创治疗专委会 门脉高压专委会 常委
(来源:《国际肝病》编辑部)


