大数跨境
0
0

肝癌患者TACE术后并发胆管损伤早期预测指标的临床研究

肝癌患者TACE术后并发胆管损伤早期预测指标的临床研究 国际肝病
2023-09-15
1

引用本文

徐后云, 余细平, 王俊丽, 胡吉波,胡红杰.  肝癌患者TACE术后并发胆管损伤早期预测指标的临床研究 [J] . 中华肝脏病杂志, 2023, 31(7) : 710-715. DOI: 10.3760/cma.j.cn501113-20230607-00249.



目的
探讨肝细胞癌(HCC)患者经导管动脉化疗栓塞术(TACE)术后并发胆管损伤的预测因素。

方法
回顾性研究483例HCC患者TACE术后相关并发症,发现共有21例患者出现TACE术后胆管损伤。记录这类患者TACE术前、术后1周及随访的实验室数据、影像学资料和临床相关病史。分类变量采用χ2检验或Fisher确切概率法;两样本均数的比较采用:配对t检验或wilcoxon秩和检验;多样本均数的比较采用方差分析。

结果
21例胆管损伤患者分别出现肝内胆管扩张、胆汁瘤及肝门部胆管狭窄等表现。14.3%(3/21)患者TACE术后1周CT平扫出现沿胆管走行区线条样高密度影,76.2%(16/21)患者TACE术后碱性磷酸酶(ALP)>200 U/L,后期随访出现胆管损伤。所有患者TACE术后丙氨酸转氨酶(ALT)、天冬氨酸转氨酶(AST)、ALP及γ-谷氨酰转移酶(GGT)较术前均明显升高(分别为t=-2.721,P=0.014;t=-2.674,P=0.015;t=-3.079,P=0.006;t=-3.377,P=0.003)。

结论
TACE术后1周CT平扫胆管周围出现碘油沉积,或ALP(>200 U/L)持续升高,对后期胆管损伤具有一定的预测价值。



经导管动脉化疗栓塞术(transcatheter arterial chemoembolization,TACE)是中晚期肝细胞癌(hepatocellular carcinoma,HCC)非手术治疗最常选择的方法之一,其有效性及安全性均得到大量随机对照研究证实[1,2]。但其在运用过程中,逐渐产生一些并发症,胆管损伤作为其并发症之一被学者们所报道[3,4]。因其早期缺乏特异性,故临床诊断比较困难,且我们发现一旦并发肝门部胆管狭窄,临床预后较差[5,6]。因此,HCC患者TACE术后并发胆管损伤的早期预测是目前临床面临的重要问题。我们回顾以往国内外文献,未发现相关文章报道。故笔者通过回顾性研究,初步探讨该类并发症发生的预测因子,以帮助临床能够早期发现、及时治疗。



资料与方法

1.研究对象
本研究总共回顾性分析近2年483例因HCC需TACE治疗的患者,所有患者至少接受1次TACE治疗。分析所有患者影像资料、实验室数据及临床表现,诊断37例患者发生TACE术后胆管损伤。根据排除标准[10]:(1)TACE应作为首次非手术治疗方式,其中合并其他介入治疗8例(消融治疗7例,粒子植入1例);(2)其他因素导致胆管扩张及狭窄3例(肿瘤侵犯胆管1例,门静脉周围水肿2例);(3)既往有胆道损伤病史3例(胆肠吻合手术史1例、经皮经肝胆道引流术1例、内镜下逆行胰胆管造影术1例);(4)数据失访2例。最后21例患者纳入本研究当中。所有患者TACE操作之前均已签署知情同意书,且该项研究已通过我院伦理委员会审查(伦理编号:2020科0722-39)。

2.研究方案
(1)TACE术前:完善相关实验室检查(肝功能、血常规、甲胎蛋白)及影像学检查,包括X射线计算机断层摄影术(computed tomography,CT)、磁共振成像(magnetic resonance image,MRI)、B超等。

(2)TACE术后1周:①肝功能检查及血分析;②CT平扫(关注胆管走行区有无碘油沉积)。

(3)随访:①TACE术后1个月复查增强CT及MRI,同时行相关实验室检查(肝功能检查、甲胎蛋白及血分析);②之后每隔2~3个月随访1次。具体随访方案详见图1。所有随访影像资料均由放射科两名腹部专业组医师单独阅片,若两名医师阅片结果相同,则认为诊断结论可信。所有患者随访时间至少6个月,随访终止时间为本研究结束时间。


(4)数据记录:患者基本资料(包括年龄、性别、基础疾病等)、肝功能、甲胎蛋白、影像资料、TACE方案、手术病史、胆管损伤的预后、临床治疗方法等。若TACE的次数不止1次,记录的数据为出现胆管损伤之前及随访数据。

3.TACE术后胆管损伤的影像表现
TACE术后并发胆管损伤的诊断标准依靠病理组织学检查:表现为胆管上皮细胞坏死、胆汁溢出、胆汁瘤形成、胆管及周围组织纤维化、胆管狭窄[7]。但常规胆管损伤病理标本获取不易,故目前临床上关于TACE术后并发胆管损伤的诊断依据主要依赖于影像学检查[8,9]。首先,TACE术前胆管正常,术后出现以下影像表现:(1)肝内胆管扩张表现为沿着格林森鞘走行的线条样低密度影或T2WI序列上呈高信号分布于肝内,周围可有充血水肿,同时可合并感染;(2)胆汁瘤表现为肝内圆形、椭圆形的囊性低密度影或T2WI序列高信号,可伴发感染,可与周围胆管相通;(3)肝门部胆管狭窄表现为肝门部胆管壁不规则增厚伴管腔不同程度狭窄,伴远端肝内胆管扩张。以上三种胆管损伤的影像表现可单独发生,也可同时存在。

4.统计学方法
分类变量采用χ2检验或Fisher确切概率法;连续变量:(1)两样本均数的比较采用:配对t检验或wilcoxon秩和检验;(2)多样本均数的比较采用方差分析。预测因子采用单因素logistics回归分析。所有数据分析采用的SPSS软件22.0版本,P<0.05为差异有统计学意义。



结  果


1.CT及MRI表现
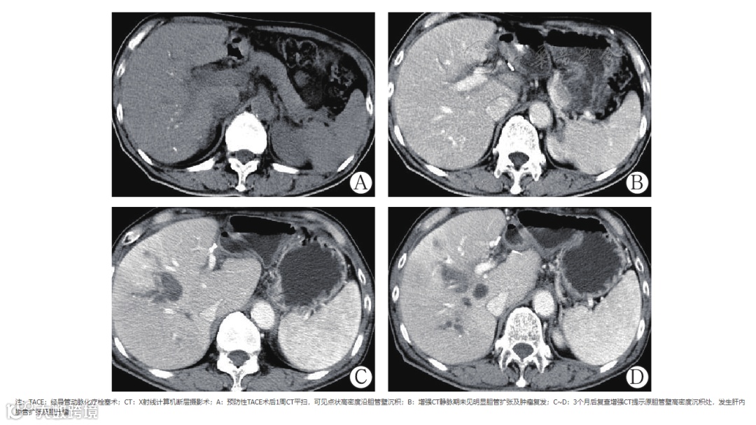
483例患者中,21例患者出现肝内胆管扩张、胆汁瘤及肝门部胆管狭窄等1种或多种影像表现,其中14.3%(3/21)患者首次TACE术后1周CT平扫出现线条样高密度影分布于胆管走行区,随访3个月后出现肝内胆管扩张及胆汁瘤(图2),与非胆管损伤组(1.1%,5/462)比较,差异有统计学意义(χ2=21.498,P<0.001)(表1)。本研究中大部分肝内胆管扩张的患者预后良好,无明显临床症状,后期随访无明显变化,其中9.5%(2/21)肝内胆管扩张的患者,随访中逐渐并发胆汁瘤的形成。另本研究中6例患者(28.6%,6/21)出现肝门部胆管狭窄,磁共振胰胆管造影(magnetic resonance cholangiopancreatography,MRCP)表现为肝门部胆管壁毛糙,其中4例经皮经肝胆道引流术(percutaneous transhepatic cholangial drainage,PTCD)治疗效果不佳,后期出现肝功能异常及反复胆道感染。


2.胆管损伤类型
按胆管损伤的类型统计:肝内胆管扩张20个(20/35,57.1%),胆汁瘤9个(9/35,25.7%),肝门部胆管狭窄6个(6/35,17.1%),与肝门部胆管狭窄及胆汁瘤比较,肝内胆管扩张的发生率最高(χ2=9.314,P=0.009)。根据胆管损伤发生部位分为肝内胆管损伤(包括肝内胆管扩张和胆汁瘤)及肝门部胆管损伤(肝门部胆管狭窄),其中肝内胆管损伤占82.9%,肝门部胆管损伤占17.1%,差异有统计学意义(χ2=15.114,P<0.001),表明肝内胆管损伤更容易发生。

3.肝生物化学指标
本研究中90%(19/21)患者TACE术前AST与ALT均正常[AST=(38.6±28.2)U/L,ALT=(35.6±19.4)U/L],另外2例患者肝功能异常考虑与术前肿瘤及HBV感染相关,术后21例患者的AST与ALT分别为(63.67±29.3)U/L、(65.2±42.9)U/L较术前均明显升高,差异均有统计学意义t=-2.721,P=0.014;t=-2.674,P=0.015)。术前21例患者ALP均处于正常水平(120.1±100.9)U/L,术后ALP(249.1±158.3)U/L明显升高(t=-3.079,P=0.006),其中有16例(76.2%,16/21)患者ALP>200 U/L,相比较于非胆管损伤组(2.2%,10/462),差异有统计学意义(χ2=216.116,P<0.001)(图3、表2)。术后随访GGT、总胆红素及直接胆红素均较术前明显升高(P<0.05),其中2例患者出现梗阻性黄疸伴肝内胆管结石。术前甲胎蛋白、间接胆红素及白蛋白与术后随访数据差异无统计学意义。




讨  论


目前对于中晚期HCC患者,TACE仍然是一种有效安全的治疗方法[20,21]。有文献报道,部分HCC患者经TACE治疗后,可以达到临床治愈标准或长期带瘤生存,且生活质量明显提高[1,2]。但TACE同时也出现一些并发症:如栓塞术后综合征、异位栓塞(肺栓塞、胆囊动脉栓塞等)、肝脓肿、肝功能衰竭等,其中胆管损伤作为其严重并发症之一,逐渐被国内外学者研究[17,18,19]。本研究胆管损伤的发生率为4.3%(21/483),与学者Miyayama等[11]所报道的胆管损伤发生率4%类似。作者团队研究结果显示肝内胆管较肝门部胆管更易发生损伤,认为可能与这两类胆管供血差异有关,相比较肝内胆管(主要由肝动脉供血)来说,肝门部胆管供血系统更为丰富(除来自于左右肝动脉的分支与吻合支供血外,还可由胃十二指肠动脉及胰十二指肠后上动脉通过吻合支供血,在胆管周围形成丰富的血管网)[12,13]。虽然肝门部胆管狭窄发生概率较低,但其预后往往不尽人意。尽管临床上给予抗感染、护肝、胆汁引流等治疗,但该类患者后期易反复出现肝功能异常、胆道感染及梗阻征象,甚至出现肝功能衰竭、大量腹水及肝性脑病[14,15]等并发症。本研究中6例肝门部胆管狭窄的患者,仅2例患者经胆道引流及内科辅助治疗后好转,其余4例患者后期均出现相关严重并发症。故针对此类患者,若能早期预测它的发生,显得极为重要。

本研究发现21例胆管损伤患者中,有3例患者术后1周CT平扫显示胆管走行区线条样高密度影,后期出现肝内胆管扩张及胆汁瘤。我们推测胆管周围高密度影,可能是碘油沉积在胆管壁上,造成胆管周围血管网缺血损伤,引起胆管上皮细胞坏死,胆汁溢出,从而导致胆管及周围组织损伤等相关并发症。故作者认为1周后CT平扫胆管周围若出现线条样高密度影可能提示胆管早期损伤,此时应及时对症治疗,同时需避免胆管再次损伤的相关操作。Guiu等[16]认为实验室数据(主要是ALP)的早期变化,相比较于影像学表现,能更早预测胆管损伤,敏感性及特异性分别为60.3%、69.2%。我们研究发现TACE术后ALP持续升高的患者,后期易出现胆管损伤。本研究中21例胆管损伤患者,其中16例患者后期随访ALP均大于200 U/L,且持续3个月以上。故我们猜测ALP异常升高,可能提示胆管早期损伤,但其具体的分子机制及转化过程目前仍不明确,可作为今后进一步研究的方向。

综上所述,我们认为TACE术后ALP持续升高(>200 U/L)与术后1周CT平扫出现胆管走行区线条样高密度影,与胆管损伤存在一定的相关性,可作为TACE术后并发胆管损伤的早期预测指标。此时应尽早干预(护肝、利胆及抗感染等治疗),同时还需尽可能避免胆管进一步损伤(如再次TACE、胆管相关手术操作等)。由于本文属于回顾性研究,且收集数据较少,故仍需更大样本量的前瞻性研究进一步证实。

参考文献:(上下滑动查看更多)

[1]ZhouJ, SunHC, WangZ, et al. Guidelines for the diagnosis and treatment of hepatocellular carcinoma (2019 edition)[J]. Liver Cancer, 2020, 9(6): 682-720. DOI: 10.1159/000509424.

[2]MakaryMS, KhandpurU, CloydJM, et al. Locoregional therapy approaches for hepatocellular carcinoma: recent advances and management strategies[J]. Cancers (Basel), 2020, 12(7): 1914. DOI: 10.3390/cancers12071914.

[3]KobayashiS, NakanumaY, TeradaT, et al. Postmortem survey of bile duct necrosis and biloma in hepatocellular carcinoma after transcatheter arterial chemoembolization therapy: relevance to microvascular damages of peribiliary capillary plexus[J]. Am J Gastroenterol, 1993, 88(9): 1410-1415.

[4]ZhangBo, GuoYongjian, WuKetong, et al. Intrahepatic biloma following transcatheter arterial chemoembolization for hepatocellular carcinoma: Incidence, imaging features and management[J]. Molecul Clin Oncol, 2017, 6(6): 937-943. DOI: 10.3892/mco.2017.1235.

[5]徐后云,余细平,肖文波, 等. 肝动脉化疗栓塞术后并发胆管损伤的临床研究[J]. 中华普通外科杂志, 2016, 31(11): 917-920. DOI: 10.3760/cma.j.issn.1007-631X.2016.11.009.

[6]徐后云,胡红杰,余细平, 等. 第324例黄疸—肝内胆管扩张—肝动脉化疗栓塞术后胆道损伤[J]. 中华医学杂志, 2014, 94(39): 3110-3113. DOI: 10.3760/cma.j.issn.0376-2491.2014.39.020.

[7]KobayashiS, KozakaK, GabataT, et al. Pathophysiology and imaging findings of bile duct necrosis: a rare but serious complication of transarterial therapy for liver tumors[J]. Cancers (Basel), 2020, 12 (9): 2596. DOI: 10.3390/cancers12092596.

[8]AlabdulghaniF, HealyGM, CantwellCP, et al. Radiological findings in ischaemic cholangiopathy[J]. Clin Radiol, 2020, 75 (3): 161-168. DOI: 10.1016/j.crad.2019.10.017.

[9]SpinaJC, UllaM, YeyatiEL, et al. MDCT findings after hepatic chemoembolization with DC-beads: what the radiologist needs to know[J]. Abdom Imaging, 2013, 38(4): 778-784. DOI: 10.1007/s00261-012-9963-6.

[10]MonierA, Guiu,B, DuranR, et al. Liver and biliary damages following transarterial chemoembolization of hepatocellular carcinoma: comparison between drug-eluting beads and lipiodol emulsion[J]. Eur Radiol, 2016, 27(4): 1431-1439. DOI: 10.1007/s00330-016-4488-y.

[11]MiyayamaS, YamashiroM, OkudaM, et al. Main bile duct stricture occurring after transcatheter arterial chemoembolization for hepatocellular carcinoma[J]. Cardiovasc Intervent Radiol, 2010, 33(6): 1168-1179. DOI: 10.1007/s00270-009-9781-6.

[12]MiyayamaS, YamashiroM, HashimotoM, et al. Blood supply of the main bile duct from the caudate artery and medial subsegmental artery of the hepatic artery: Evaluation using images obtained during transcatheter arterial chemoembolization for hepatocellular carcinoma[J]. Hepatol Res, 2013, 43(11): 1175-1181. DOI: 10.1111/hepr.12071.

[13]StapletonGN, HickmanR, TerblancheJ. Blood supply of the right and left hepatic ducts[J]. Br J Surg, 1998, 85(2): 202-207. DOI: 10.1046/j.1365-2168.1998.00511.x.

[14]徐后云,余细平,冯锐, 等. 肝癌患者肝动脉化疗栓塞术后相关性胆管损伤与血管栓塞位置的关系及临床预后分析[J]. 中华肿瘤杂志, 2017; 39(5): 355-359. DOI: 10.3760/cma.j.issn.0253-3766.2017.05.007.

[15]徐后云,胡红杰,余细平, 等. 肝癌患者肝动脉化疗栓塞术后胆管损伤的研究进展[J]. 中华肝胆外科杂志, 2014, 20(5): 395-399. DOI: 10.3760/cma.j.issn.1007-8118.2014.05.021.

[16]GuiuB, DeschampsF, AhoS, et al. Liver/biliary injuries following chemoembolisation of endocrine tumours and hepatocellular carcinoma: lipiodol vs. Drug-eluting beads[J]. J Hepatol, 2012, 56(3): 609-617. DOI: 10.1016/j.jhep.2011.09.012.

[17]SueyoshiE, HayashidaT, SakamotoI, et al. Vascular complications of hepatic artery after transcatheter arterial chemoembolization in patients with hepatocellular carcinoma[J]. Am J Roentgenol, 2010, 195(1): 245-251. DOI: 10.2214/AJR.08.2301.

[18]刘允怡. 肝细胞癌治疗的新发展[J]. 中华消化外科杂志, 2022, 21(1): 15-18. DOI: 10.3760/cma.j.cn115610-20220107-00020.

[19]何佳辉,孙航,吴传新. 肝癌经动脉化学治疗栓塞术后胆管损伤的治疗及预防[J]. 中华肝脏病杂志, 2021, 29(4): 377-380. DOI: 10.3760/cma.j.cn501113-20190808-00296.

[20]中国医师协会介入医师分会. 中国肝细胞癌经动脉化疗栓塞治疗(TACE)临床实践指南[J]. 中华肝脏病杂志, 2019, 27(3): 172-181. DOI: 10.3760/cma.j.issn.1007-3418.2019.03.003.

[21]林鹏,蔡敏清,房俊伟, 等. 肝癌术后复发的外科治疗研究现状及进展[J]. 器官移植, 2022, 13(1): 111-119. DOI: 10.3969/j.issn.1674-7445.2022.01.017.


声明:本文仅供医疗卫生专业人士了解最新医药资讯参考使用,不代表本平台观点。该信息不能以任何方式取代专业的医疗指导,也不应被视为诊疗建议,如果该信息被用于资讯以外的目的,本站及作者不承担相关责任。


(来源:中华肝脏病杂志)


【声明】内容源于网络
0
0
国际肝病
感谢您关注《国际肝病》微信新媒体!我们每天会为您提供国际肝病专家访谈、专家论述、会议报道、指南解读、最新资讯等精彩内容,第一时间分享肝病领域在科研及临床中的国际最新进展。“同步传真国际肝病进展”,关注微信即刻完美实现!
内容 5246
粉丝 0
国际肝病 感谢您关注《国际肝病》微信新媒体!我们每天会为您提供国际肝病专家访谈、专家论述、会议报道、指南解读、最新资讯等精彩内容,第一时间分享肝病领域在科研及临床中的国际最新进展。“同步传真国际肝病进展”,关注微信即刻完美实现!
总阅读5.5k
粉丝0
内容5.2k