
各位专家同道好,本期CHESS月评(第四十期)将分享上月PubMed发表的门静脉高压诊疗领域6篇文献(诊断监测4篇、多学科治疗2篇)。本期特邀月评专家:中国人民解放军总医院介入超声科于杰教授、南开大学医学院金鑫教授和东南大学附属中大医院超声科李嘉教授。


Golse N, Joly F, Combari P, et al. Predicting the risk of post-hepatectomy portal hypertension using a digital twin: a clinical proof of concept. J Hepatol 2020
尽管医学和外科技术不断进步,肝切除术后肝衰竭(PHLF)仍然是导致患者死亡的主要原因。术后高门静脉压力(PPV)和门腔静脉压力梯度(PCG)是PHLF的最重要决定因素,但现有的工具无法预测PHLF。近日,来自法国的Golse N等人评估了数字孪生模型在预测术后门静脉高压(PHT)风险中的价值,相关内容发表在Journal of Hepatology杂志上。
该前瞻性研究纳入了47例大部肝切除患者。评估患者整个血液循环的数学(0D)模型,并根据患者特征自动进行了校准。根据术前肝血流量MRI(n=9),术中血流量测定(n=16)或心输出量(n=47)估算患者肝血流量。在三组中模拟切除后数据,并将计算的PPV和PCG与术中数据进行比较。
结果显示,模拟的肝切除术后压力在三组之间没有差异,与收集的数据进行比较无显著差异。在整个队列中,PPV测量值与模拟值之间的相关性良好(r=0.66,未对术中事件进行调整),调整之后良好(r=0.75),PCG数据亦如此(分别为r=0.59和r=0.80)。在96%的病例中,PCG模拟值和肝切除术后实测值的差值≤3 mmHg。对于4例出现致命PHLF的患者,该模型对其术后压力预测结果满意。
因此,即使使用估计的肝血流量作为模型输入数据,0D模型仍可以正确地预测术后PHT。一旦该概念得到后续确认,此算法可以改变以往的做法,使之朝着更加个性化的程序方向发展,同时确保令人满意的结果。

简评丨祁小龙团队
兰州大学第一医院门静脉高压研究所(中心)
近年来外科手术的发展及相关器械的应用显著提高了肝切除术的安全性,术后死亡率也由最初的20%降至5%(Russell M, et al. Surg Oncol Clin N Am 2015)。其中肝切除术后肝衰竭(PHLF)仍是肝切除术后死亡的主要原因,发生率为2.4%~13.9%,占术后总死亡率的18%~75%(Chuang Y, et al. Liver Int 2018)。肝切除术前门静脉高压(PHT)是术后严重并发症的高危因素,但其对于指导肝切除术患者的选择价值有限(Roayaie S, et al. Hepatology 2015)。
肝血管床减少导致肝内阻力增高,引起的肝切除术后门静脉压力(PPV)和门腔静脉压力梯度(PCG)过度升高,是PHLF的主要原因,可以预测PHLF的发生(Rhaiem R, et al. Ann Surg 2018),但尚没有工具可以精准预测患者肝切除术后PHT。
研究者团队首次将全血液循环0D模型应用于肝切除术领域,成功地模拟了围手术期的血流动力学,并根据患者特征自动校准,在前瞻性纳入的47例接受肝切除术的患者队列中,分别根据术前肝血流量、术中血流量测定以及心输出量对患者肝血流量进行估算,成功地验证了术后PPV和PCG值的预测,三组之间模拟的肝切除术后PPV和PCG差异没有统计学意义,并且提出PPV>17.5 mmHg和PCG>13.5 mmHg的截断值以预测PHLF的发生。值得注意的是,本研究中,有4例死亡患者术前预估切除术后残余肝体积比超过0.5%体重,都满足肝切除术的标准,但是术后因PHLF死亡。而这4例患者模型术后压力预测的结果符合其临床结局。
本研究从关键临床问题出发,建模方法严谨、仿真程度高,有希望更新肝切除术患者的筛选标准,进而改善手术预后。当然,本研究也有需要进一步完善之处:首先,既往研究已经表明肝脏弹性与PCG(Buechter M, et al. Dig Liver Dis 2018)和肝切除术后临床结局(Fernández-Placencia R, et al. Surgery 2020)相关,然而由于本研究纳入的患者大部分为非肝硬化,缺少肝脏弹性的测量,目前的模型只是根据肝活检病理的纤维化程度调整了门静脉弹性。如果可以整合肝脏弹性,有可能进一步提高模型的准确度;其次,本研究受限于样本量,终点事件并未考虑PHT相关并发症的发生;最后,该模型的模拟均为术后回顾性分析,如果能得到更大样本量前瞻性研究的证实,这种模型算法很可能会改变现有临床实践(在术前运行该数字孪生模型,外科医生将慎重考虑有高PHLF发生风险的人群。
本研究应用的0D模型是数字孪生模型辅助临床的典型应用,有望将临床实践从基于经验医学转移到增强外科手术的数字时代。这不仅说明了基于个体的PHT预测是可行的,而且也证实了复杂的血流动力学系统可以在一定程度被简化和模拟,进而创建有效的数字孪生模型。
Gupta I, Eisenbrey JR, Machado P, et al. Diagnosing Portal Hypertension with Noninvasive Subharmonic Pressure Estimates from a US Contrast Agent. Radiology 2020
当前评估门静脉高压严重程度的标准方法是侵入性获取肝静脉压力梯度(HVPG)。近日,来自美国的Gupta I等人探讨了一种基于US造影剂的非侵入性技术,即次谐波微泡信号(SHAPE),并使常规获取这些压力估计值成为可能,相关研究发表在Radiology杂志上。
该项前瞻性横断面试验招募了2015年4月至2019年3月在两家医院进行经颈静脉肝活检的125名参与者,患者平均年龄59±12岁,其中 80名为男性患者(NCT02489045)。经过标准的经颈静脉肝活检和HVPG压力测量后,参与者接受US造影剂和生理盐水的输注。在输注过程中,收集患者门静脉和肝静脉SHAPE数据,并与HVPG测量值进行差异比较。使用Pearson相关系数确定数据集之间的相关性,使用t检验确定结果的统计学意义,使用受试者工作特征分析以确定SHAPE的敏感性和特异性。
结果显示,与静脉曲张出血风险较低的参与者相比,静脉曲张出血风险较高的参与者(HVPG≥12 mmHg)具有较高的平均SHAPE值(0.79 dB±2.53 vs -4.95 dB±3.44,P<0.001),其敏感性为90%(13/14,95%CI:88%-94%),特异性为80%(79/99,95%CI:76 -84)。门静脉和肝静脉之间的SHAPE梯度与HVPG测量值的总体一致性良好(r=0.68)。
因此,次谐波微泡信号估计是一种准确、无创的检测临床显著性门静脉高压的新技术。

简评丨于杰
中国人民解放军总医院介入超声科
此研究创新的将次谐波成像与超声造影相结合应用于门静脉高压的无创定量评估。超声造影剂微泡在声压高于200 kPa时会产生非线性振荡,这种振荡发生在很宽的频率范围内,可用于构建特定的对比成像模式。微泡的非线性响应依赖于入射声压,其变化过程经历“出现”、“增长”和“饱和”三个阶段。在“增长”阶段,次谐波微泡信号(SHAPE)对压力变化的敏感度最高,并且与周围环境流体静压成反比线性关系。该研究团队正是基于上述原理,探索其在评估门静脉高压中的应用。
该团队先前的研究表明(John R Eisenbrey, et al. Radiology),SHAPE与HVPG具有较强的相关性(R=0.82),提示SHAPE可能是评估门静脉高压的可靠工具。团队在此基础上进行了深入探索,在这项更大规模研究中再次验证了SHAPE与HVPG的相关性(R=0.68),并确定了其良好的诊断性能(AUC=0.95)。从而得出结论,SHAPE能够识别临床显著性门静脉高压(HVPG>10 mmHg)和有较高静脉曲张出血风险(HVPG>12 mmHg)患者;其可先用作确定门静脉高压的定性筛查方法,对于门静脉压力较高的患者,可进一步定量测量门静脉压力,以监测疾病进展和治疗效果。
与先前的研究对比,本研究优化了输入声波脉冲,使得SHAPE更加灵敏;此项研究在两个中心开展,更具代表性;尽管本研究中SHAPE和HVPG之间的相关性低于先前研究,但此研究结果的精确性要更高,研究结果更具可靠性。
此项研究值得更多关注和进一步完善验证:可以进行多中心更大样本人群的研究,重点着眼于临床显著性门静脉高压及高危出血患者的深入探索;此外,注意与临床指标如MELD评分之间关联的深入思考,也许可以找到更好的临床切入点(Fabian Kiessling. Radiology 2020),进一步提高诊断效能。本研究技术性能也有待优化与改进。
Boyer-Diaz Z, Aristu-Zabalza P, Andrés-Rozas M, et al. Pan-PPAR agonist lanifibranor improves portal hypertension and hepatic fibrosis in experimental advanced chronic liver disease. J Hepatol 2020
在晚期慢性肝病(ACLD)患者中,肝脏细胞坏死炎症过程中的肝微血管功能障碍、纤维化和肝血管增加发挥关键作用,进而导致ACLD和门静脉高压的进展,但目前尚缺乏有效的治疗手段。近日,来自西班牙巴塞罗那的Boyer-Diaz Z等人探讨了泛过氧化物酶体增殖物激活受体(pan-PPAR)激动剂lanifibranor在两种ACLD临床前模型以及ACLD患者肝脏细胞中的作用,相关内容发表在Journal of Hepatology杂志上。
肝硬化大鼠(硫代乙酰胺或胆总管结扎;TAA或cBDL)随机接受lanifibranor(100 mg/kg/d,po)或赋形剂治疗14天(n=12/组)。检测细胞中PPAR表达、全身和肝脏的血流动力学、腹水的存在、肝窦内皮细胞(LSEC)表型、肝星状细胞(HSC)活化、血清转氨酶、白蛋白、肝巨噬细胞浸润情况、细胞因子表达和肝纤维化。并从肝硬化患者的肝脏中分离肝脏细胞,检测lanifibranor或赋形剂治疗后的细胞表型。
结果发现,接受lanifibranor治疗的TAA肝硬化大鼠的门静脉压力显著低于赋形剂治疗的大鼠(-15%),而门静脉血流量却未明显减少,表明肝血管阻力得到改善。此外,经lanifibranor治疗的TAA-大鼠腹水减少,LSEC和HSC的表型改善,肝微血管功能改善,肝脏炎症减轻以及明显的纤维化消退(-32%)。这些发现在cBDL模型大鼠以及肝硬化患者的人类肝细胞中得到了证实,患者接受lanifibranor治疗后,细胞表型得到了改善。
因此,该研究表明,lanifibranor在失代偿期肝硬化的临床前模型中具有明显的有益作用,可以改善肝纤维化和门静脉高压。从肝硬化患者中分离出的人肝细胞进一步支持了其对ACLD治疗的临床价值。

简评丨金鑫
南开大学医学院
过氧化物酶体增殖物激活受体(peroxisome proliferator-activated receptor,PPARs)作为慢性肝脏疾病的治疗靶点,近年来受到广泛关注。本文利用大鼠肝硬化模型及体外人源肝细胞,发现PPARs受体激动药lanifibranor可以改善肝脏微循环功能、减轻肝脏炎症和降低肝脏纤维化。
核受体PPARs的3个亚型受体(PPAR-α,PPAR-δ和PPAR-γ)在各种组织及细胞中广泛表达,各自调控功能各异的基因,使其生物过程非常复杂。本文的一项重要发现在于揭示了健康人群和肝硬化患者肝细胞中三种PPARs的表达模式,揭示了3种亚型受体在病理过程中均起到重要作用,这是作者进一步利用泛PPARs受体激动剂lanifibranor来探索治疗效果的原因。尽管lanifibranor被认为可以同时激动全部的PPARs亚型,但其受体结合能力仍存在一定的亚型特异性,所以对于lanifibranor治疗作用是否来自于PPARs多亚型的协同作用仍需证据证明。
以往在研发利用PPARs受体激动剂治疗2型糖尿病的过程中,曾发现有升高患者心衰风险的潜在隐患。目前,lanifibranor对非酒精性脂肪性肝炎患者的治疗作用已进入II期临床阶段,针对lanifibranor在心血管方面的药物安全性仍需更完善的临床前证据。
研究得出的肝硬化患者脾部分栓塞降低门静脉压力优于静脉注射生长抑素的结论,提示临床医师在处置门静脉高压致静脉曲张破裂出血时,应建立以降低门静脉高压患者HVPG的临床诊治思维。后续研究仍需要进一步扩大样本量和检测脾部分栓塞后的HVPG,以更好地指导临床。
Hu X, Huang X, Hou J, et al. Diagnostic accuracy of spleen stiffness to evaluate portal hypertension and esophageal varices in chronic liver disease: a systematic review and meta-analysis. Eur Radiol 2020
近日,来自我国首都医科大学的Hu X等人系统回顾了脾脏硬度测量(SSM)在诊断慢性肝病(CLD)患者合并有临床显著性门静脉高压(CSPH)、重度门静脉高压(SPH)、食管静脉曲张(EV)和高危食管静脉曲张(HREV)诊断准确性方面的研究,相关内容发表在European Radiology杂志上。
该系统回顾性研究共纳入了32项关于SSM在3952名CLD成人中诊断门静脉高压(PH)和/或EV的准确性研究。采用双变量随机效应模型评估敏感性、特异性、似然比、阳性预测值(PPV)、阴性预测值(NPV)和诊断比值比(DOR)。通过Fagan图评估SSM的临床应用价值。
结果显示,SSM诊断CSPH的敏感性为0.85[95%置信区间(CI)0.69-0.93];SPH为0.84(95%CI 0.75-0.90);对于任何EV诊断的敏感性为0.90(95%CI 0.83-0.94);HREV为0.87(95%CI 0.77-0.93)。CSPH的SSM合并特异性为0.86(95%CI 0.74-0.93);SPH为0.84(95%CI 0.72-0.91);EV为0.73(95%CI 0.66-0.79);HREV为0.66(95%CI 0.53-0.77)。SSM检测HREV的PPV和NPV分别为0.54(95%CI 0.47-0.62)和0.88(95%CI 0.81-0.95)。
因此,SSM可以作为CLD患者病情判断的有效监测工具,在排除HREV时作用明显,避免了不必要的内镜检查。

简评丨李嘉
东南大学附属中大医院超声科
门静脉高压(PH)是慢性肝病(CLD)的主要结局之一,定义为HVPG≥12 mmHg的重度门静脉高压(SPH)是静脉曲张出血的危险因素。食管静脉曲张(EV)是PH最重要的侧支循环,约50%的肝硬化患者发生EV,而静脉曲张出血与高死亡率相关。因此,为了确保适当的患者管理,及时检测和准确评估对于PH和EV患者至关重要。HVPG和食管胃十二指肠镜(EGD)目前分别被认为是评价PH和EV的金标准。但是,HVPG和EGD的测量有创且可能存在并发症,患者依从性较差。另外,HVPG测量需要专业的技术人员。因此,发掘具有良好诊断性能的非侵入性技术用于评价PH和EV成为目前研究的热点。
弹性成像技术(包括超声弹性成像和磁共振弹性成像)已被用于评估各种疾病中脾脏硬度(SS)的变化,近期研究表明,SS与肝纤维化的进展有关,但有关这项技术对评估患者PH和EV的诊断效能,目前仍有争议。为了综合评估SS对CLD患者PH和EV的诊断性能,本荟萃分析共纳入32项研究的3952例CLD患者,采用双变量随机效应模型来评估合并敏感度、特异性、似然比、阳性预测值(PPV)、阴性预测值(NPV)和诊断优势比(DOR),采用Fagan图评价SS的临床应用价值。该荟萃分析表明SS可用于CLD患者排除HREV的存在,从而避免不必要的内镜检查;SS对CLD患者有较高敏感性和特异性,对CSPH及SPH具有重要的诊断价值;SS可作为临床医师管理CLD患者的一种有效监测工具。
不足的是目前由于弹性成像技术的类型、研究地点、研究设计、疾病流行程度、研究数量等差异带来的局限性,未来需要更大样本量和不同临床背景下的前瞻性研究来进一步评估SS的有效性。

简评丨 于杰
中国人民解放军总医院介入超声科
门静脉高压是导致肝硬化患者预后不良的主要原因。随着肝脏纤维化的进展以及再生结节的形成,肝脏硬度逐渐增加,微循环也发生了改变,本研究着眼于CEUS定量分析HTT和SWE两种超声新技术,分别从肝脏血流动力学以及肝背景两个角度进行门静脉高压评估,探索不同技术评估门静脉高压的能力。
作者发现两组研究对象肝内渡越时间(HTT)以及SWE测值存在统计学差异,应用ROC曲线评估其诊断能力,均显示出较高的诊断效能;进而以自由门脉压(FPP)作为门静脉压力标准,探究其与HTT以及SWV的相关性,发现HTT与FPP呈负相关,且该趋势在HA-HVTT(肝动脉-肝静脉渡越时间)中表现最为明显,SWE与FPP无显著相关。从而得出结论,HTT和SWE均可用于评估肝硬化门静脉高压,诊断效果无显著差异,且HTT对于门静脉压力的变化更有意义。本研究启发了我们对于无创评估门静脉高压的新思考:HTT与门静脉压力的相关性是否会受到其他因素影响?门静脉压力参考标准如何选择?针对不同程度、不同病因的肝硬化门静脉高压患者,SWE与HTT是否会展现其独特的诊断价值,需要进一步研究数据支撑。
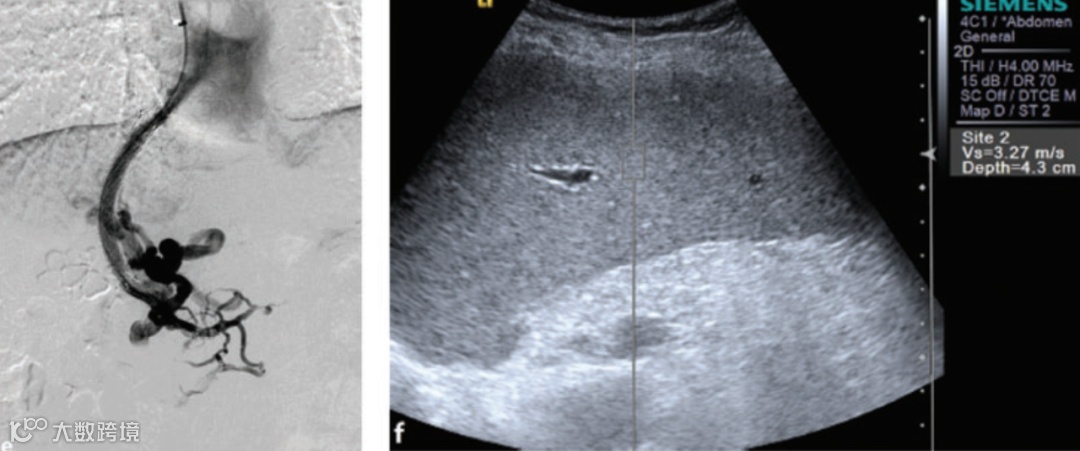
Han H, Yang J, Jin WK, et al. Diagnostic value of conventional ultrasound and shear wave elastography in detecting transjugular intrahepatic portosystemic shunt dysfunction. Acta Radiol 2020
经颈静脉肝内门体分流(TIPS)功能障碍可导致门静脉高压(PH)相关的并发症,如腹水和胃食管静脉曲张破裂出血。而侵入性门静脉造影价格昂贵,限制了其作为筛查手段的使用。近日,来自我国南京鼓楼医院的Han H等人评估了常规超声结合点剪切波弹性成像(pSWE)在预测TIPS功能障碍中的临床价值,相关内容发表在Acta Radiologica杂志上。
该回顾性研究分析了184例行TIPS的肝硬化患者。测量患者的脾门静脉血流参数,肝硬度(LS)和脾硬度(SS)。测量结果包括门静脉速度(PVV)、脾静脉速度(SPVV)、LS和SS的差异。探讨PVV(ΔPVV)、SPVV(ΔSPVV)和SS(ΔSS)变化对诊断TIPS功能障碍的准确性。
结果显示,184例患者中有28例出现TIPS功能障碍(15.2%)。18例(64.3%)有分流性狭窄,10例(35.7%)有分流阻塞。TIPS正常和TIPS功能障碍组之间的门静脉直径(PVD)、PVV、脾静脉直径(SPVD)、SPVV、LS和SS没有显著差异。与TIPS正常组相比,TIPS功能障碍组患者的PVV和SPVV显著降低,而SS明显升高(P<0.001)。ΔPVV、ΔSPVV和ΔSPV的受试者工作特性曲线下面积分别为0.97、0.96和0.87。
因此,pSWE对TIPS功能障碍的诊断效果与常规方法相当,可在TIPS术后常规应用。

简评丨李嘉
东南大学附属中大医院超声科
经颈静脉肝内门体分流术(TIPS)能够有效降低门脉循环压力,进而治疗门静脉高压(PH)引起的各种并发症,而分流血管通畅率对患者临床症状的控制及总体生存率息息相关。金属覆膜支架尽管已被证明能有效降低分流血管功能障碍,但部分研究发现患者在两年后出现TIPS功能障碍的发生率依然可达20%~30%(Geeroms B, et al. Eur Radiology 2017)。鉴于复发PH较为严重的后果,对TIPS功能障碍的早期发现就显得尤为重要。
门静脉造影术的侵入性及高花费限制了其被用作筛查手段。彩色多普勒超声(CDUS)已被广泛应用于临床中对TIPS功能异常的监测,而亦有研究证明了肝硬度(LS)及脾硬度(SS)对评估PH的临床价值(Elkrief L, et al. Radiology 2015; Tseng Y, et al. J Clin Ultrasound 2018)。
脾肿大是肝硬化及门静脉高压患者最常见的表现之一,其机制主要认为是脾静脉高压引起的脾功能亢进,而脾脏的病理改变为增生、血管增殖、脾小梁纤维变性、脾窦扩张增生及脾淋巴分隔的过度活化。而这很好地解释了TIPS功能障碍导致复发PH后,SS上升的原因。因此作者推荐对行TIPS的所有肝硬化患者的SS进行测量以改善TIPS功能障碍的诊断精确度,尽管研究并未发现SS相比CDUS有明显的诊断优势,但后者评估较易受肠腔气体干扰。
该研究作为一项单中心回顾性研究,样本量及数据获取的时间节点均较少,研究结果需要通过外部验证和未来前瞻性研究进行验证。另外,该研究使用TIPS功能异常组出现症状后的相关参数,与正常组术后3~5天的参数进行比较存在显著差异,而在同一时间节点(文中为术后3~5天)各参数差异均无统计学意义,该结果可能提示超声对TIPS功能异常的监测及早期预测作用存在局限性。
扫描二维码
浏览往期文章

(来源:《国际肝病》编辑部)


