
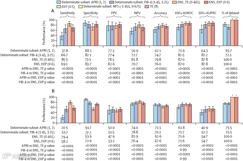
Sarvestany SS, Kwong JC, Azhie A, et al. Development and validation of an ensemble machine learning framework for detection of all-cause advanced hepatic fibrosis: a retrospective cohort study. Lancet Digit Health 2022.

简评丨郑天雷

简评丨曾庆磊
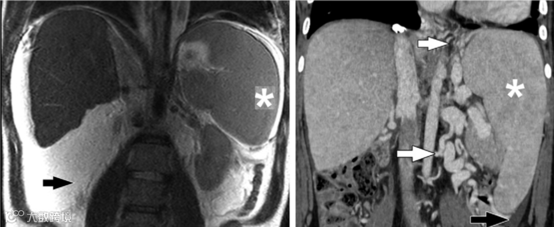
Zafar F, Lubert AM, Trout AT, et al. Abdominal CT and MRI Findings of Portal Hypertension in Children and Adults with Fontan Circulation. Radiology 2022.

简评丨张金山
Qiu Z, Wang G, Yan H, et al. TIPS plus sequential systemic therapy of advanced HCC patients with tumour thrombus-related symptomatic portal hypertension. Eur Radiol. 2022.

简评丨孙军辉
PVTT可阻断门静脉血流而加重门静脉高压,导致症状性门静脉高压(SPH)并发症,比如消化道出血或顽固性胸腹水,进而会限制靶向药物、免疫药物等系统性抗肿瘤药物的应用,因此,评估门静脉高压的临床症状对促进抗肿瘤治疗方案的发展至关重要;TIPS是降低肝硬化患者门静脉高压并发症的有效治疗方法,既往研究已经显示TIPS对于HCC伴SPH的治疗是可行的。
Brown RS Jr, Collins MA, Strasser SI, et al. Efficacy and Safety of 8- or 12 Weeks of Glecaprevir/Pibrentasvir in Patients with Evidence of Portal Hypertension. Infect Dis Ther 2022.

简评丨曾庆磊
Hammer S, Zeman F, Schlitt HJ, et al. Comparison of sequential CT arterioportography-arteriosplenography with standard cross-sectional imaging and endoscopy in children with portal hypertension. Sci Rep 2022.

简评丨张金山
扫描二维码
浏览往期文章

(来源:《国际肝病》编辑部)

