高钙血症是临床常见的电解质紊乱,近年来,高钙血症的发病率逐渐增加,临床上不适当补充钙剂所致的高钙血症也越来越多。高钙血症所致急性肾损伤的发病率很高,中重度高钙血症可导致急性肾损伤等多种器官系统损害,危及生命。但由于其临床表现不具有特异性,易被忽视。目前,临床对于高钙血症所致急性肾损伤的认识尚不充分,本文报道1例高钙血症所致急性肾损伤病例,并就其诊疗要点作一叙述,旨在提高临床医师对高钙血症所致急性肾损伤的认识。
现病史:3个月以来患者一直头晕、头痛,伴血压升高。乏力明显,以下肢为著。恶心、呕吐,并逐渐加重,由每天1~2次增至30余次,主要为胃内容物,含胆汁。便秘明显,间断20余天无排便,用通便药可有少量粪便排便。尿量无明显减少。在外院查上消化道造影:可疑十二指肠溃疡。1周前发现血肌酐150 μmol/L,B超示双肾增大。收入我院肾内科治疗。
既往史:体健。家族中无肾脏病患者。父患高血压,母身体健康。
入院查体:血压171/100 mmHg,脉搏100次/分,呼吸16次/分,一般情况差,衰弱无力,表情淡漠,反应迟钝。听力差,言语欠流利。心肺未见异常。腹平软,未见胃肠型蠕动波,肝脾肋下未触及,肠鸣音1次/分。四肢一般性力弱,肌张力适中。双上肢腱反射对称活跃。膝腱反射对称活跃,跟腱反射对称适中。Babinski 征(-),Kernig征(-),颈无抵抗。
患者因血肌酐升高入院,首先需要进行急慢性肾损伤的鉴别。入院后检查血肌酐升至235μmol/L,血尿素氮5.57 mmol/L,血尿酸414μmol/L。B超提示双肾增大,左肾14.1 cm×6.9 cm×5.1 cm,实质厚2.1 cm;右肾13.8 cm×6.8 cm×5.7 cm,实质厚2.0 cm。双肾轮廓不清,实质回声增强,内部结构模糊。尽管既往病史不详,通常肾脏增大多为急性肾损伤,少数例外的病例包括糖尿病肾病、肾脏淀粉样变,但是患者没有糖尿病病史,糖耐量检查正常。血压明显升高在淀粉样变患者中少见,后续的免疫球蛋白检查正常也不支持。
初步确定急性肾损伤后,进一步鉴别肾损伤原因。患者尿常规检查没有细胞,尿蛋白(-),首先考虑是肾前性、肾小管间质损伤或肾血管病变。而血肌酐水平明显升高的情况下,血尿酸水平仍然在正常范围内,尽管尿糖阴性,仍提示有比较广泛的近端小管的受累。患者入院前一直进食不好,体检皮肤干燥,但是尿量仍保持2000 ml/d,查尿渗透压420 mOsm/kg(血渗透压285 mOsm/kg),提示远端间质小管受损,尿浓缩功能下降。
间质小管损伤的常见因素是药物和毒物;自身免疫性疾病引起的间质性肾炎;代谢因素,如高钙血症、低钾血症、高尿酸血症等。患者入院检查,血钙2.13 mmol/L,血磷0.55 mmol/L,血镁1.15 mmol/L,血钾3.18 mmol/L,血尿酸414μmol/L。IgA、IgG、IgM、C3,抗核抗体谱均正常,红细胞沉降率(ESR)正常,血常规正常。近3个月因为乏力食欲减退、血压升高,用过多种药物,患者及家属不能准确描述。但是并无皮肤瘙痒、皮疹等病史。因此间质损伤的原因集中在代谢因素或药物。患者血钙正常、血磷下降、血钾略低,同时合并明显高血压,随后进行的立卧位肾素-血管紧张素-醛固酮测定;皮质醇节律检查均在正常范围,而且明确乏力病史只有3个月,与长期低血钾的症状不符。
入院第4天,偶然在患者转头时发现其左颈部肿块,B超发现甲状旁腺结节。多次触摸后次日患者症状明显加重,血压一直维持在180/100 mmHg左右,静脉滴注硝普钠无明显效果,自觉膝关节及小腿疼痛。复查血钙4.26 mmol/L,血磷1.69 mmol/L,血镁1.15 mmol/L,血碱性磷酸酶(ALP)262 1U/L,血肌酐398μmol/L,24小时尿钙10.02 mmol。予扩容利尿治疗后,血钙居高不下,经多次透析后血钙降至3.6 mmol/L,但症状改善不明显。于入院后第7天行甲状旁腺肿物切除术。术后病理:甲状旁腺腺瘤。
术后患者症状逐渐好转。术后第5天头晕、乏力、恶心呕吐完全消失,可进食,肠鸣音正常,排便恢复正常,双膝、小腿疼痛消失。反应敏捷,听力好转,言语较前流利。术后第13天听力图仍示感音神经性耳聋,但术后第21天明显恢复。术后5天血压降至140/90 mmHg,21天后血压降至120/80 mmHg。甲状旁腺激素(PTH)于术后第3天恢复至正常范围10 ng/L,术后第7天24小时尿钙明显减少,至3.952 mmol。血钙2.42 mmo/L,血磷0.7 mmol/L,血ALP上升,第17天达649 1U/L,同工酶电泳示骨性ALP占87.8%。术后第35天血ALP 283 IU/L。
术后尿量明显增加,第9~12天尿量每日达5000 ml。肾脏体积逐渐缩小,术后第7天左肾14.4 cm×7.2 cm×6.0 cm,实质厚2.2 cm ,右肾14.1 cm×7.5 cm×5.8 cm,实质厚2.2 cm。术后33天时左肾13.2 cm×6.9 cm×5.7 cm ,实质2.1 cm,右肾12.8 cm×6.6 cm×5.5 cm,实质2.0 cm。血肌酐到术后第26天降至149μmol/L,尿量减少至正常范围。
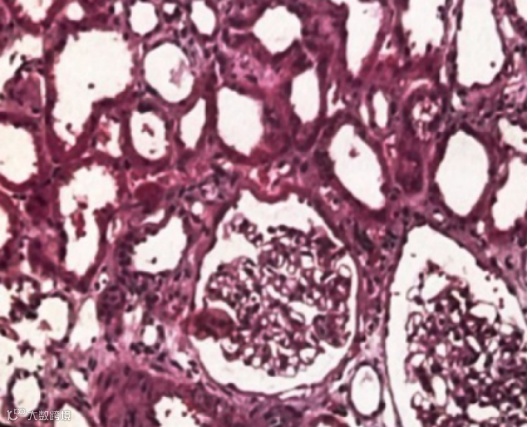
甲状旁腺肿物切除术后第2天行肾穿刺。免疫荧光:免疫球蛋白和补体均阴性。光镜:13个肾小球无明显病变,肾小管多灶状萎缩,部分上皮细胞钙化。肾间质多灶状纤维化及钙化,小动脉无变化(图1)。电镜:可见肾小管上皮细胞内有钙颗粒。钙特殊染色阳性。

图1. 高钙肾病:肾小球无明显病变,肾小管上皮刷毛缘脱落,管腔扩张,肾间质轻度水肿(HE×200)
最终诊断:高钙肾病急性肾损伤;甲状旁腺腺瘤切除术后。
高钙血症是临床常见的电解质紊乱。正常成人血钙通常在2.15~2.60 mmol/L(8.6~10.4 mg/dL),血钙浓度超过正常上限但<3.0 mmol/L(10.5~11.9 mg/dL)为轻度高钙血症,血钙浓度3.0~3.5 mmol/L(12.0~13.9 mg/dL)为中度高钙血症,血钙浓度>3.5 mmol/L(14.0 mg/dL)为重度高钙血症。中重度高钙血症可导致包括急性肾损伤在内的多器官系统损害。高钙血症可以导致肾间质钙盐沉积进而引起肾衰竭。除此之外高钙血症还可引起严重心律失常和呼吸衰竭进而导致死亡。因高钙血症的症状没有特异性,在临床上很容易引起误诊,延误患者的诊治。波兰一项纳入了1993例住院患者的横断面研究发现,1.81%的患者出现了高钙血症,其中56%发生了急性肾损伤。有研究表明,入院时血清离子钙水平与院内急性肾损伤风险独立相关。因此,早期识别和早期干预高钙血症所致急性肾损伤至关重要[1,2]。
该患者为非少尿型急性肾小管间质损伤,在寻找病因方面有一些经验和教训。
临床表现及实验室检查结果:①血肌酐波动于235~398μmol/L,肾功能在该水平的患者出现如此严重的消化道、神经系统、肌肉症状并不多见;②患者频繁呕吐,无法进水,但尿量仍偏多,尿浓缩功能下降,与一般规律不符;③不存在钠水潴留但高血压顽固,不易控制;④典型的慢性肾衰竭通常为高磷血症及低钙血症。而该患者最初入院的时候血钙正常,但是血磷降低。后经追问病史,患者找到一些3个月前的检查和治疗记录,曾经间断出现过高钙血症,经过扩容利尿治疗好转。此次入院后,血钙逐渐升高,且血钙的波动与血肌酐的变化相关。
因此,高钙血症是引起急性肾衰竭为最可能的原因。其可能机制:①高钙血症抑制了腺苷酸环化酶,使抗利尿激素作用减弱,另外引起氯化钠在髓袢升支粗段的转运障碍,致使髓质渗透梯度不易建立,导致尿液浓缩能力下降、多尿;同时恶心、纳差,入量减少,这些因素造成有效循环血量下降,此外高钙血症可收缩肾小动脉,导致肾脏血流量减少;②高钙血症可在肾小管形成结晶造成梗阻导致急性肾小管坏死;③当高钙血症持续时间较长时间可能导致结石或肾钙质沉着症[3,4]。
根据是否由PTH介导,高钙血症病因可分为PTH依赖和非PTH依赖两类。PTH依赖性高钙血症的病因包括原发性甲状旁腺功能亢进、家族性低尿钙性高钙血症、多发性内分泌肿瘤综合征、三发性甲状旁腺功能亢进症等。非PTH依赖性高钙血症的病因包括恶性肿瘤、维生素D中毒、内分泌失调(甲状腺毒症、肾上腺功能不全等)、药物相关(噻嗪类利尿剂、锂、乳碱综合征、维生素D、维生素A)、肾移植、制动等。原发性甲状旁腺功能亢进和恶性肿瘤是高钙血症的最常见病因,占所有病例的90%以上。前者因甲状旁腺激素分泌过多,导致磷排泄增加、肾对钙的重吸收增加和骨吸收增加进而出现高钙血症。后者主要是因为肿瘤直接浸润、转移导致的局部溶骨性改变或肿瘤分泌体液因子引起骨吸收增强,引发高钙血症[5]。
临床上引起高钙血症并较易引起急性肾衰竭的主要有多发性骨髓瘤、肿瘤骨转移、碱血症等。该患者ESR正常,无贫血及代谢性碱中毒,上述疾病可能性小。更为重要的线索是该患者血磷低,ALP水平持续升高且肝功能基本正常,提示甲状旁腺功能亢进,颈部B超发现甲状旁腺结节。随即又发现触摸此结节后临床表现加重,PTH水平明显升高,考虑甲状旁腺腺瘤,后经手术证实。术后各系统异常逐渐恢复,但尿量渐增加,肾小管功能受损以远端为主,结合高尿钙考虑有高钙肾病,肾穿刺活检证实。
[1] Królewicz K, et al. Pol Merkur Lekarski. 2021;49(289):9-12.
[2] Thongprayoon C, et al. Sci Rep. 2020;10(1):12316. Published 2020 Jul 23.
[3] Asonitis N, et al. Horm Metab Res. 2019;51(12):770-778.
[4] Parente Filho SLA, et al. Nefrologia (Engl Ed). 2020;40(1):26-31.
[5] Minisola S, et al. BMJ. 2015;350:h2723. Published 2015 Jun 2.

声明:本文仅供医疗卫生专业人士了解最新医药资讯参考使用,不代表本平台观点。该信息不能以任何方式取代专业的医疗指导,也不应被视为诊疗建议,如果该信息被用于资讯以外的目的,本站及作者不承担相关责任。