
日前,中山大学肿瘤防治中心石明教授团队在肿瘤学权威期刊《欧洲癌症杂志》(European Journal of Cancer)在线发表了题为“仑伐替尼、特瑞普利单抗联合肝动脉灌注化疗治疗进展期高风险肝癌患者:一项生物分子探索的II期临床研究”的文章(点击文末阅读原文)。研究发现,针对进展期高风险肝癌患者采用肝动脉灌注化疗联合仑伐替尼及特瑞普利单抗(PD-1)的“三联治疗”方案能显著提高患者的预后。这是迄今为止国际上关于“三联方案”治疗进展期肝癌患者发表的首个前瞻性研究成果。
延长随访后的生存曲线(左)
治疗后肿瘤的缩小比例(右)
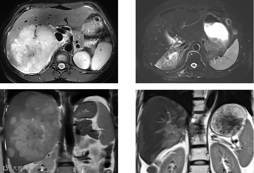
治疗前(左)、治疗后(右)
近年来,多个医疗中心开始在临床推广局部治疗联合系统药物治疗进展期肝癌,有不少回顾性研究结果已经发表,但是却一直缺乏前瞻性研究结果的高级别证据。本研究结果填补了该领域的空白,对该联合方案在进展期肝癌的推广应用有重大的意义。
石明教授课题组致力于探讨肝癌的外科治疗与介入治疗及相应基础研究,研究方向包括肝癌经肝动脉灌注化疗的耐药机制、肝癌潜在治疗分子靶点的筛选等,近年来致力于优化中晚期肝癌综合治疗的策略。石明教授以通讯作者在JCO、JAMA Oncology、JNCI、Hepatology、Radiology、Cancer Communication、EJC、Cancer letter等国际权威杂志上发表多篇论著,为提高中晚期肝癌患者疗效指引了方向,并阐明了新的分子指标预测介入治疗疗效,揭示了新的治疗肝癌靶点。研究成果为六项国际共识与指南采纳。
文/赖志城、简沛恩、何敏柯
编辑/赵现廷 审核/陈鋆 审核发布/文朝阳、周昕熙

声明:本文仅供医疗卫生专业人士了解最新医药资讯参考使用,不代表本平台观点。该信息不能以任何方式取代专业的医疗指导,也不应被视为诊疗建议,如果该信息被用于资讯以外的目的,本站及作者不承担相关责任。
(来源:中山大学肿瘤防治中心订阅号)

