
2023年4月12-15日,第17届亚太心血管与放射介入学会年会在韩国首尔举办,清华大学附属北京清华长庚医院钇90精准肝脏肿瘤介入放疗中心副主任医师张琳教授受邀做口头报告,钇90中国治疗经验首次登上国际舞台,得到国际专家的广泛认可。



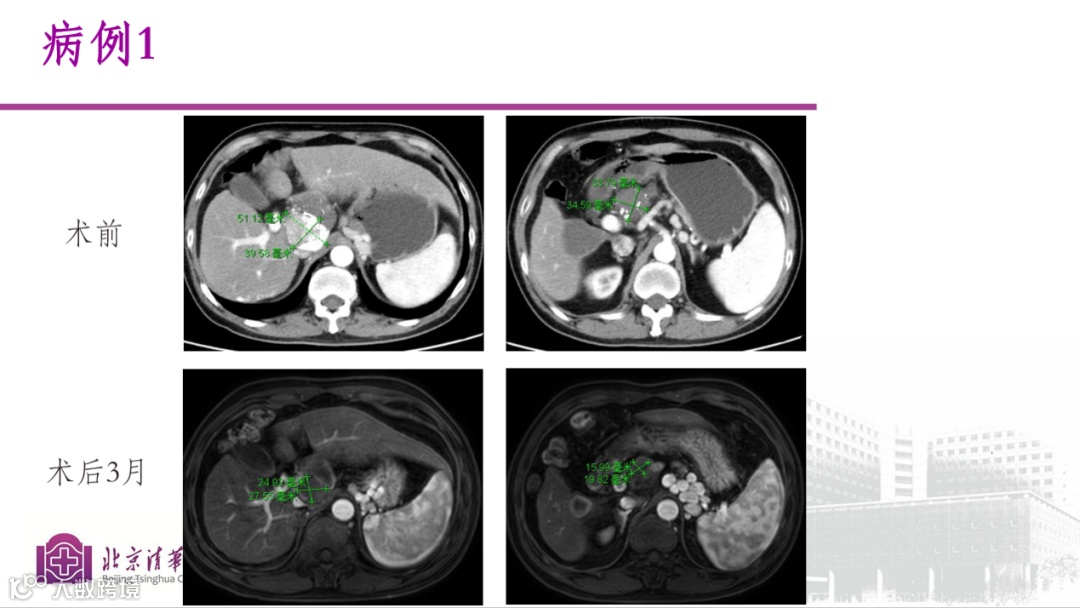
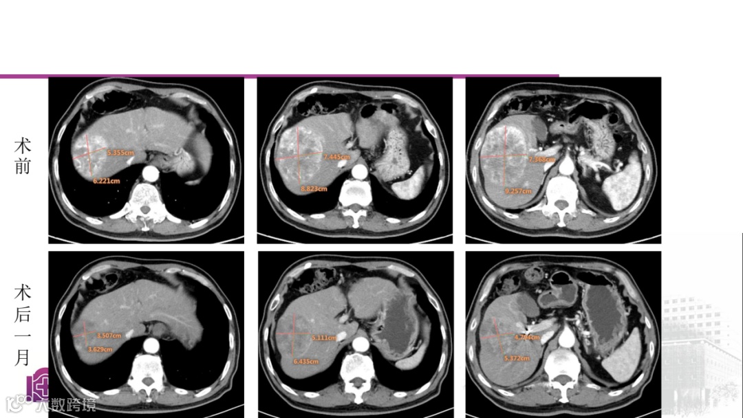
张琳教授也介绍了几个典型的病例。
病例一

病例二


总 结
*北京清华长庚医院4月20日电(供稿 肝胆胰外科)

声明:本文仅供医疗卫生专业人士了解最新医药资讯参考使用,不代表本平台观点。该信息不能以任何方式取代专业的医疗指导,也不应被视为诊疗建议,如果该信息被用于资讯以外的目的,本站及作者不承担相关责任。
(来源:《国际肝病》编辑部)

