点击蓝字
关注我们
编者按
在全球范围内,肝细胞癌(HCC)已成为第三大癌症死亡原因。其中,脂肪性肝病相关肝细胞癌(SLD-HCC)作为一种与代谢异常密切相关的亚型,因独特的肿瘤微环境(TME)特征,对现有免疫治疗的响应率显著偏低,成为临床亟待攻克的难题。近期发表于Gut的一项原创研究,通过多组学技术深入解析了SLD-HCC的免疫微环境,揭示了调节性T细胞(Tregs)与癌相关成纤维细胞(CAFs)通过TNFSF14-TNFRSF14信号通路介导免疫抑制和治疗耐药的核心机制,为开发新型联合疗法提供了重要理论依据。
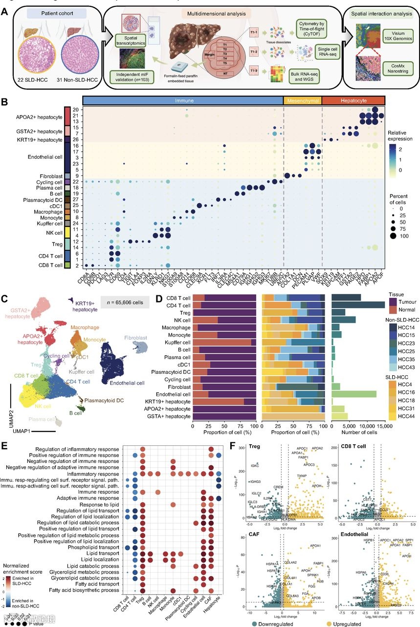
该研究纳入22例SLD-HCC患者(定义为肝内脂肪≥5%且至少1项代谢危险因素)和31例非SLD-HCC患者,另设103例独立验证队列,确保结果的可靠性。通过单细胞RNA测序(scRNA-seq)分析肿瘤及癌旁组织的细胞异质性;采用飞行时间质谱流式细胞术(CyTOF)量化17例SLD-HCC和27例非SLD-HCC的免疫细胞亚群;利用Visium和CosMx两种空间转录组平台,解析细胞的空间分布与互作。研究者构建高脂饮食(HFD)诱导的脂肪肝小鼠模型,移植Hepa1-6肝癌细胞,评估抗TNFRSF14抗体单独或联合抗PD-1抗体的治疗效果。
单细胞转录组分析显示,SLD-HCC的TME中,Tregs、CAFs和内皮细胞(ECs)存在显著的脂质代谢通路富集,如APOA2、FABP1等脂代谢相关基因高表达(图1)。这一现象提示,这些细胞通过代谢重编程适应高脂微环境,获得生存和功能优势。
与之形成对比的是,SLD-HCC中的CD8+T细胞不仅脂代谢基因(如FABP5、APOC3)表达下调,其细胞毒性功能相关基因(如CST7、CCL5)也显著降低,表明其抗肿瘤能力受损(图1)。这种代谢与功能的双重缺陷,成为SLD-HCC免疫抑制的重要基础。
图1. SLD-HCC与非SLD-HCC的单细胞转录组图谱
(源自文献)
CyTOF分析进一步证实,SLD-HCC的肿瘤浸润淋巴细胞(TILs)呈现典型的“冷肿瘤”特征:CD4+T细胞(尤其是CD25+FOXP3+Tregs和PD-L1+记忆CD4+T细胞)比例显著升高,而CD8+T细胞(包括颗粒酶B+活性CD8+T细胞和CXCR3+NK细胞)数量减少(图2)。
独立验证队列的多重免疫荧光(mIF)结果一致显示,SLD-HCC中Tregs密度增加、CD8+T细胞减少,且这一特征与病毒感染状态无关,表明其是SLD-HCC的固有免疫表型。同时,SLD-HCC的Wnt信号通路评分更高、新抗原得分更低,进一步支持其免疫排斥特性(图2)。
图2. SLD-HCC与非SLD-HCC的免疫特征分析
(源自文献)
空间转录组分析揭示了SLD-HCC独特的空间架构:Tregs与CAFs在肿瘤边缘形成密集的细胞簇,构成局部免疫抑制龛。Visium数据显示,SLD-HCC的肿瘤边缘区域免疫细胞与成纤维细胞的共定位评分显著高于非SLD-HCC,而后者的免疫-基质细胞分布更分散(图3)。
图3. SLD-HCC与非SLD-HCC的空间结构
(源自文献)
更高分辨率的CosMx空间分子成像进一步证实,SLD-HCC中Tregs与CAFs的相互作用强度显著增强,且两者的平均距离较非SLD-HCC缩短,提示物理邻近性是其功能协作的基础(图4)。
图4. SLD-HCC与非SLD-HCC的细胞互作网络
(源自文献)
通过配体-受体互作分析,研究鉴定出TNFSF14(肿瘤坏死因子超家族成员14)与TNFRSF14(肿瘤坏死因子受体超家族成员14)是介导Treg-CAF相互作用的核心通路。该通路在SLD-HCC的肿瘤边缘特异性富集,且其激活强度与免疫治疗耐药显著相关——非应答者的TNFSF14-TNFRSF14信号评分显著高于应答者(图5)。
图5. SLD-HCC中的配体-受体互作组
(源自文献)
动物实验验证了这一通路的治疗潜力。在HFD诱导的脂肪肝肝癌模型中,抗TNFRSF14抗体单独使用可减少Tregs、增加活性CD8+T细胞;与抗PD-1抗体联合使用时,肿瘤体积显著缩小(部分小鼠实现完全缓解),且肿瘤内免疫激活通路(如T细胞增殖、细胞毒性反应)显著富集(图6)。
图6. 阻断调节性T细胞-癌症相关成纤维细胞互作可增强抗肿瘤免疫力及对ICB的响应
(源自文献)
小 结
该研究的发现为突破SLD-HCC的免疫治疗耐药提供了多维度启示。TNFSF14-TNFRSF14信号强度可作为预测SLD-HCC患者免疫治疗应答的潜在标志物,帮助筛选可能受益于联合治疗的人群。
靶向TNFSF14-TNFRSF14通路可重塑TME,将“冷肿瘤”转化为“热肿瘤”,为免疫检查点抑制剂增敏。临床前数据显示,联合疗法能协同增强抗肿瘤免疫,这一策略有望进入临床试验。
该研究首次揭示Treg与CAFs的代谢适应及其空间互作在SLD-HCC中的核心作用,为理解代谢异常相关癌症的免疫逃逸机制提供了新视角。
尽管研究成果显著,仍存在需进一步探索的方向:其一,需在更大规模、多中心队列中验证TNFSF14-TNFRSF14通路的临床价值;其二,需开发更精准的靶向药物(如TNFSF14中和抗体、TNFRSF14拮抗剂),并优化联合治疗的剂量与时序;其三,需深入研究该通路与其他代谢通路(如脂代谢、糖代谢)的交叉调控,以全面破解SLD-HCC的免疫代谢网络。
参考文献:Prawira A, Xu H, Mei Y, et al. Targeting Treg-fibroblast interaction to enhance immunotherapy in steatotic liver disease-related hepatocellular carcinoma. Gut. Published online July 30, 2025. doi:10.1136/gutjnl-2025-335084
(来源:《国际肝病》编辑部)
声明:本文仅供医疗卫生专业人士了解最新医药资讯参考使用,不代表本平台观点。该信息不能以任何方式取代专业的医疗指导,也不应被视为诊疗建议,如果该信息被用于资讯以外的目的,本站及作者不承担相关责任。

