
编者按:肺部感染是导致抗微生物耐药(AMR)相关死亡的最常见原因。最新的CHINET监测数据显示,我国碳青霉烯类耐药革兰阴性菌(CRO)等多重耐药(MDR)细菌的流行趋势不容乐观,尤其是碳青霉烯类耐药鲍曼不动杆菌(CRAB)、碳青霉烯类耐药肺炎克雷伯菌(CRKP)的上升趋势明显,而且可用的药物十分有限。临床中,不少重症肺部感染患者存在复杂的基础疾病,传统的CRO治疗“三剑客”应用受限。本期“优案医评”栏目特邀郑州大学第一附属医院重症医学科主任孙荣青教授、航天中心医院重症科主任薛晓艳教授对一例CRAB重症肺炎患者的诊治进行点评。该病例为一例脑出血植物状态后遗症的患者,发生CRAB感染导致肺炎、脓毒症休克。该患者在替加环素、多黏菌素“无计可施”的情况下,通过新型药物依拉环素治疗“化险为夷”,获得显著的病情缓解。
病例介绍
患者:陈XX,男,51岁。
主诉(代):发热2天。
入院时间:2023年07月26 日19 : 03。
现病史:入院2天前,患者于“XX医院”住院时无明显诱因出现发热,测量体温最高42.0℃,伴寒战,恶心、呕吐,呕吐物为胃内容物。予退热药,仍反复发热,呼吸急促,间断四肢强直,行“肺泡灌洗液”NGS检查检出“金黄色葡萄球菌、鲍曼不动杆菌、白念珠菌”(图1),CT提示双下肺坠积性肺炎(图2),血常规提示血象高、血小板低,给予“万古霉素、比阿培南”抗感染治疗。1天前出现心率快、血压低,尿量减少,血小板极低,为进一步诊治,转入我院就诊。以“脓毒血症”经急诊收入我科。
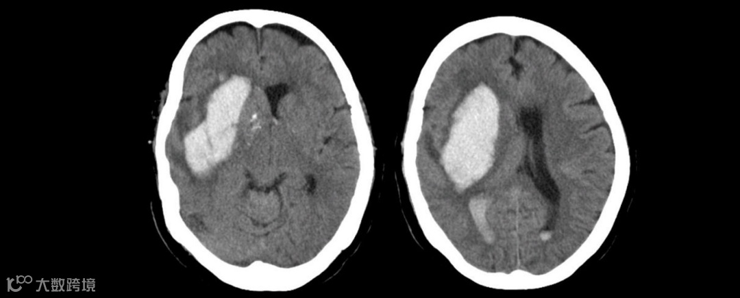
既往史:8月前(2022-12-09)因“右侧基底节区脑出血破入脑室”,于当地医院性“去骨瓣减压术”(图3),术后四肢瘫痪、植物状态。1月余前(2023-06-07)于“北京XX医院”行“脑刺激器”植入术。
个人史:吸烟史40年,每天1包;高血压病史5年,未规律用药和监测血压。
体格检查:T 38.2℃,P 79次/分,R 20次/分,BP 105/70 mmHg。留置胃管、尿管通常,尿少,大便2天未排,体重较前下降约5kg。植物状态,GCS评分3T,双侧瞳孔等大,直径2.0mm,对光反射灵敏,四肢间断强直。双肺呼吸音粗,双下肺可闻及湿啰音。骶尾部可见约2 X 3cm压疮,至浅肌层,无脓性分泌物。
辅助检查:血常规(2023-07-26)示中性粒细胞计数(ANC)19.5 X 109/L,淋巴细胞计数(LYM)0.6 X 109/L,血小板计数(PLT)18 X 109/L,C-反应蛋白(CRP)83.5 mg/L。降钙素原(PCT)21.78 ng/mL。血生化(2023-07-26)示尿素氮(BUN)17 mmol/L,肌酐(Cre)204umol/L,总胆红素(TBIL)45.5 umol/L,谷丙转氨酶(ALT)2539 U/L,谷草转氨酶(AST)1967.5 U/L。外院病原微生物检测及影像学检查如下图所示。
图1. 入院前外院BALF-NGS检测报告
图2. 入院前外院肺CT检查
图3. 8月前外院头颅CT检查
图4. 入院前外院复查头颅CT
▌入院诊断:
1、感染性休克:肺部感染 肠源性感染?褥疮感染?
2、多脏器功能衰竭 呼吸衰竭 急性肾损伤(AKI 3级) 肝功能损伤
3、脑出血后遗症
4、植物状态
5、高血压病
入院后诊治
▌初始经验性治疗:
患者为重症感染状态,存在感染性休克,外院BALF-NGS检测提示“金黄色葡萄球菌、鲍曼不动杆菌、白念珠菌”;且为植物状态,有长期住院、使用广谱抗菌药等病史,因此需注意多重耐药(MDR)细菌感染风险。根据IDSA指南[1],CRAB中重度感染可考虑联合大剂量、持续输注美罗培南,但在不联合第三种药物情况下不建议美罗培南和黏菌素(或多黏菌素B)联用。
因此,入院后初始抗感染治疗给予美罗培南1.0 g负荷剂量,0.5g q8h 维持ivgtt,万古霉素 1.0g q36h ivgtt。
▌目标治疗:
入院后,导管血送检培养,9小时44分钟报不动杆菌阳性,快速药敏(RAST)显示多黏菌素敏感(MIC 1μg/mL)、替加环素敏感(KB 16mm),头孢哌酮-舒巴坦中介(KB 16mm),其余检测药物均耐药(图5)。
患者联合药敏试验显示四种抗菌药组合均为“无关”(FIC>1-2)(图6)。
图5. 血培养+药敏检测结果
图6. 联合药敏试验
患者培养确认为鲍曼不动杆菌感染,药敏显示仅替加环素和多黏菌素敏感,联合药敏试验显示联合用药无相关作用。考虑患者存在急性肾损伤、肝功能损伤,替加环素可能增加肝损伤风险,多黏菌素可能增加肾毒性和神经毒性风险。依拉环素是新型四环素衍生物,全球药敏数据显示其对鲍曼不动杆菌的活性是替加环素的4倍,且组织浓度高,肾功能损伤患者无需调整剂量。
因此,患者的抗感染治疗调整为依拉环素负荷剂量75mg bid,维持剂量75mg qd(依拉环素药品说明书:重度肝损伤患者首日1mg/kg q12h,次日1mg/kg q24h)。
疗效和安全性
治疗期间的炎症指标变化:ANC由19.5 X 109/L(入院时)下降至1.85 X 109/L(2023-08-02);CRP由83.5 mg/L下降至28.4 mg/L,PCT由21.78 ng/mL下降至0.24 ng/mL。
图7. 治疗期间的炎症指标变化
肾功能变化:入院时的BUN为17 mmol/L逐渐下降,2023年8月3日为7.1mmol/L;Cre由入院时的204umol/L下降至121umol/L。
图8. 治疗期间的肾功能和出入量变化
肝功能变化:患者ALT由2539 U/L(入院时)下降至373.5 U/L(2023-08-02),AST由1967.5 U/L下降至109.7 U/L,TBIL由45.5 umol/L下降至11.2 umol/L。
图9. 治疗期间的肝功能变化
出凝血功能变化:凝血酶原时间由25.6s(入院时)缩短至13.4s(2023-08-02);血小板由入院时的18 X 109/L上升至89 X 109/L。
图10. 治疗期间的出凝血功能变化
病例小结
患者中年男性,脑出血后遗症植物状态,“双肺坠积性肺炎”伴感染性休克、肝肾功能不全,入院前及入院后初始经验治疗为碳青霉烯类联合糖肽类抗菌药。入院后病原学确诊CRAB感染,调整为依拉环素目标治疗,患者的炎症指标逐渐下降,肝功能、肾功能等逐渐恢复,提示治疗有效、安全。依拉环素是全球首个氟环素类抗菌药,氟原子改构使其药物性能较替加环素等第三代半合成四环素有显著提升,包括抗菌谱广、体外活性强、组织浓度高、联合用药有协同作用等,真实世界研究证实了依拉环素在包括肺部感染在内的多种感染部位中的疗效和安全性。本报告的病例为CRAB重症感染,肝肾功能不全、凝血异常等问题限制了替加环素、多黏菌素的使用,经依拉环素抗感染治疗病情缓解,再次验证了此类新型药物针对CRO等多重耐药细菌的强效作用和良好安全性。
名师点评
孙荣青 教授
郑州大学第一附属医院重症医学科主任
该病例为1例中年男性、脑出血植物状态后遗症患者,患者长期卧床,气道保护性反射减退,呼吸道微误吸导致肺炎在所难免。高热入院,根据体检(心率快、血压低,尿量少)、血液检验(白细胞高、中性白细胞高、血小板低)、胸部CT(双下肺坠积性肺炎)以及血气分析结果,入院诊断为:
1. 重症肺炎
2. 感染性休克
3. 多器官功能障碍综合征(MODS)(呼吸衰竭 急性肾损伤(3级) 肝功能损伤)
重症肺炎具有起病急、进展快的特点,患者多为免疫功能低下、合并基础疾病的人群,感染病原菌以耐药菌常见,患者一旦出现血流感染容易发展为脓毒症休克,进而导致多器官衰竭,病死率非常高。
脓毒症休克的抗感染治疗须争分夺秒,国内外指南均推荐1小时内进行经验性抗感染治疗,静脉应用广谱可覆盖可疑病原体以及在感染部位浓度较高的抗菌药物;在开始抗菌治疗前,及时采集感染部位合格的微生物标本(如血、分泌物、创面组织等标本)进行病原学检测,以便将初始经验性抗菌治疗调整为病原特异性抗菌治疗。
早期给予患者万古霉素、比阿培南广谱抗菌经验治疗,但治疗效果差,患者病情加重。9小时44分钟导管血液培养报不动杆菌阳性。快速药敏(RAST)结果显示多黏菌素敏感(MIC 1 μg/mL)、替加环素敏感(KB 16 mm),头孢哌酮-舒巴坦中介(KB 16 mm),其余检测药物均耐药。肺泡灌洗液NGS检出“金黄色葡萄球菌、鲍曼不动杆菌、白色念珠菌”。因此修正诊断为:
1. 重症肺炎(混合感染:金黄色葡萄球菌、鲍曼不动杆菌、白色念珠菌)
2. 鲍曼不动杆菌血流感染
3. 感染性休克
4. 多器官功能障碍综合征(MODS)(呼吸衰竭、急性肾损伤3级、肝功能损伤)
针对肺部金黄色葡萄球菌、白色念珠菌感染,可选的敏感药比较多,但对于肺部及血流同时感染的多重耐药鲍曼不动杆菌,治疗手段极为有限,选择抗菌药物时需考虑两大关键点:(1)有效性:具有强大的抗菌活性,兼具较高的血浆浓度和肺组织浓度;(2)安全性:肝肾毒性小,此类感染多发于基础情况不甚理想的重症患者中,因此安全性十分重要。
临床医生针对感染部位(肺部及血流)、病原菌(耐药鲍曼不动杆菌)、器官功能状态,并根据药敏结果,选择了抗菌活性强、组织分布浓度较高、对肝肾功能影响小的新型四环素衍生物依拉环素。全球药敏数据显示,依拉环素对鲍曼不动杆菌的抗菌活性是同类抗菌药替加环素的4倍[2],且具有肺组织浓度分布高,肾功能损伤患者无需调整剂量等特点。在保证抗菌活性和组织分布浓度的前提下,避免了替加环素的肝损伤风险及多黏菌素的肾损伤风险。
依拉环素在四环素核心D环上完成C-7位氟原子和C-9位吡咯烷酰氨基修饰[3],使药物特性得到了优化,与四环素相比,经侧链结构改造的依拉环素与核糖体30S亚单位结合力增强14倍[4]。依拉环素抗菌谱广,能够覆盖革兰阳性菌、革兰阴性菌、厌氧菌和非典型致病菌,对临床常见的MDR细菌,如产超广谱β-内酰胺酶(ESBL)菌、碳青霉烯耐药肠杆菌(CRE)、碳青霉烯耐药鲍曼不动杆菌(CRAB)、耐万古霉素肠球菌(VRE)、耐甲氧西林金黄色葡萄球菌(MRSA)等都具有强大抗菌活性,且组织浓度高,与其他抗菌药联用时具有协同和相加作用而无拮抗作用[5]。
图11. 依拉环素与细菌核糖体亚基的亲和力更强
依拉环素的临床疗效和安全性已在多个临床随机对照试验和真实世界研究中得到验证,并已被美国传染病学会(IDSA)、欧洲临床微生物学和传染病学会(ESCMID)等多个国内外权威指南推荐用于治疗包括CRO在内的多重耐药菌感染。作为全球首个氟环素类抗菌药,依拉环素是极具潜力和临床应用价值的抗菌药物,其临床应用成功经验值得分享和关注,相信依拉环素的上市可及将为临床耐药菌治疗困局带来希望。
名师点评
薛晓艳 教授
航天中心医院重症科主任
肺部/下呼吸道感染是最常见的临床感染部位,并且是耐药细菌感染的“重灾区”,全球AMR的疾病负担调查[6]显示其是AMR致死病例的最常见感染部位。在医院获得性肺炎(HAP)中,鲍曼不动杆菌、铜绿假单胞菌、肺炎克雷伯菌等革兰阴性杆菌(GNB)是最常见的致病菌[7],且MDR比例非常高[8],可显著增加院内死亡风险和住院总费用[9]。从最新的CHINET监测数据[10]来看,我国肺部感染、CRO感染的形式不容乐观:(1)呼吸道标本一直高居首位,2023上半年占比高达42.2%;(2)CRO的检出率呈上升趋势,尤其是CRKP由去年22.6%~24.2%上升至2023上半年的29%~30%,CRAB则由同期的71.2%~71.9%上升至78.6%~79.5%,均达到历史最高值;(3)可用于CRKP和CRAB治疗的敏感性药物屈指可数,仅有头孢他啶-阿维巴坦、替加环素、多黏菌素等传统“三剑客”。
图12. 我国CRKP和CRAB的流行趋势(来源:CHINET)
尽管“三剑客”对CRO耐药率较低,但其在肺部感染治疗中的疗效和安全性仍不能满足临床需求。
替加环素的肺部组织浓度不理想,常增加剂量[11-15]。舒巴坦的总体治疗效果并不比其他疗法更优,META分析显示,与对照组相比,以舒巴坦为基础的治疗组在鲍曼不动杆菌复合群感染中的临床应答(OR 1.16,95%CI:0.77~1.75)、细菌学应答(OR 1.71,95%CI:0.89~3.29) 和住院死亡率(OR 0.76,95%CI:0.57~1.01)相似,只有在大剂量组中显示舒巴坦疗效更好[16],但IDSA推荐舒巴坦用量6~9 g,中国说明书建议最大量为4 g。此外,CHINET 2023上半年数据显示,CRAB对氨苄西林-舒巴坦耐药率高达90.8%[10]。多黏菌素类药物的不同制剂单位差异,易造成临床剂量混乱[17];临床中,肾功能不全患者使用多黏菌素E需调整剂量;多黏菌素是浓度依赖型抗菌药物,但全身给药治疗窗窄,肺部穿透力差,往往难以达到有效的肺组织浓度[18],常需要注射+雾化吸入联合给药,而目前雾化吸入方式的临床获益尚未得到证实,因此IDSA 耐药菌指南(2023)不推荐雾化吸入方式治疗CRAB肺炎;研究显示多黏菌素的肾毒性事件发生率为17.8%~49.0%[19],Meta分析则显示多黏菌素的肾毒性风险是非多黏菌素的2.23倍[20]。
上述报告的MDR-AB感染病例,虽然对替加环素、多黏菌素敏感,但由于肝肾功能不全、凝血功能异常而无法选择这两种药物,而且与其他药物联合应用也没有达到协同相加作用。该病例正是当前临床实践中,众多无法被“三剑客”满足治疗需求的患者之一。值得庆幸的是,患者接受依拉环素治疗后病情得到显著缓解。依拉环素作为全球首个氟环素类抗菌药,其药物结构与第三代半合成四环素相比有显著区别,尤其是引入氟原子修饰后带来了药物性能的全面提升。依拉环素的抗菌谱广、抗菌活性强、联合用药协同无拮抗、药代动力学(PK)优势明显。
在药物性能全面提升的同时,真实世界研究也验证了依拉环素治疗肺部感染的疗效和安全性。真实世界研究将依拉环素用于腹腔感染、肺部感染、糖尿病足、骨关节感染、皮肤软组织感染、血流感染、导管相关性感染等多种治疗场景,其中肺炎患者的临床缓解率可达100%[21]。在一项针对耐药鲍曼不动杆菌肺炎等难治性感染的真实世界研究中,依拉环素治疗CRAB感染的30天存活率达78.1%[22];在一项联合应用依拉环素治疗CRAB肺炎的真实世界研究中,临床缓解率同样达到72%[23]。
图13. 多项真实世界研究结果显示依拉环素治疗肺部感染具有良好的疗效和安全性
鉴于依拉环素的优异表现,国内外多个权威指南已经推荐依拉环素用于MDR细菌的经验性治疗。例如,美国感染病学会(IDSA)耐药G-细菌指南推荐依拉环素作为CRAB感染的治疗方案之一,并强调其体外活性比替加环素低2-8倍[1],欧洲临床微生物学和感染病学会(ESCMID)MDR-GNB指南[24]以及中国CRO防治指南[25]也有过相似的推荐或阐述。当然,我们还需要国人更多的资料来验证其疗效。
图14. 依拉环素得到多个国内外权威临床指南的推荐
目前,依拉环素已经在国内获批上市,未来的临床实践中有望进一步扩大使用范围。上述报告病例反映了当前CRAB肺炎治疗的一些困境,而依拉环素的问世可以满足患者更多的治疗需求,使得非典型病原感染的治疗多了一个新选择,在耐药支原体、衣原体、军团菌不断增加的今天显得尤为重要。该病例不仅验证了依拉环素的疗效和安全性,也可带来更多的临床思考:首先,患者为脑出血后植物状态,有长期住院卧床、使用广谱抗菌药等耐药细菌感染的高危因素,死亡风险也非常高,此类高危患者要强调及时启动覆盖耐药细菌的经验性治疗,因此在初始经验性治疗中,选择上市不久的依拉环素可以发挥快速控制感染的作用[26];再者,在药敏试验中,替加环素缺乏CLSI折点,通常借鉴FDA或EUCAST折点,依拉环素目前国内也缺乏可用的药敏折点,但其体外活性相较替加环素强2-8倍,因此可以参考替加环素的折点;此外,期待未来能够进一步完善依拉环素的药敏检测和联合药敏检测,该病例的替加环素多种联合药敏结果均为“无关”,依拉环素已经有联合药敏的体外研究显示不错的协同作用[27],基于广谱、强效、安全、协同无拮抗等药物优势,依拉环素也将作为CRO重症感染联合治疗的基础。

声明:本文仅供医疗卫生专业人士了解最新医药资讯参考使用,不代表本平台观点。该信息不能以任何方式取代专业的医疗指导,也不应被视为诊疗建议,如果该信息被用于资讯以外的目的,本站及作者不承担相关责任。

