近期,我科在《Gastroenterology》杂志在线报道了一例罕见遗传代谢性疾病(Wang R, Chen J, Li X, Unexplained Coexisting Injury of the Liver, Pancreas, and Brain, Gastroenterology (2026),doi: https://doi.org/10.1053/j.gastro.2025.12.031)。该患者在铁与铜的指标之间出现看似矛盾的表现,最终通过严密的逻辑推理,层层递进,揭开谜底。以下为本病例的深度解析与分享。
病情简介:
患者45岁男性,因“失眠20个月,腹胀不适2个月”入院。用药史及家族史无特殊。20个月前患者因“睡眠差、失眠”在当地医院诊断为“糖尿病”,发现血清铁蛋白2233 ng/mL,铜蓝蛋白< 0.024 g/L,肝脏CT值85.62 HU(图A)。2月前出现腹胀不适,查铁蛋白19710 ng/mL,ALT 301 U/L,AST 190 U/L,当地医院给予中药及护肝药物治疗,肝功能有所好转,病因未明,入我院行进一步诊治。
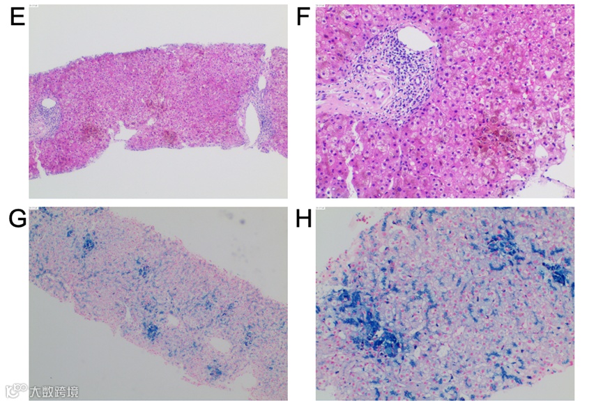
查体:胸前毛细血管扩张(+),无肝掌及蜘蛛痣。实验室检:血红蛋白118 g/L,白细胞和血小板计数正常,网织红细胞3.09%。肝功能及凝血功能基本正常,血糖 15.27 mmol/L,总胆固醇5.19 mmol/L,血清铁14.4 μmol/L,转铁蛋白饱和度45.1%,糖化血红蛋白6.2%。肝炎病毒标志物、自身免疫性抗体检查均为阴性。彩超肝胆脾胰未见明显异常。眼科:视网膜平伏,未见出血或渗出。腹部MRI-T2相显示肝脏、胰腺及脾脏明显低信号(图B)。头颅MRI显示双侧丘脑、基底节区和齿状核存在对称性斑片状短T2信号(图C、D)。骨髓穿刺涂片、组织病理学活检和染色体核型分析均未发现异常。肝脏穿刺活检显示慢性轻度炎症性肝损伤(G1S1)改变,肝细胞和库普弗细胞内有显著的含铁血黄素沉积,普鲁士蓝染色呈阳性(图E-H)。
— E N D —
供稿:王睿欣
编辑:陈洁
审核:李小燕、李新华
审定:张晓红、林炳亮

