大数跨境
0
0

其他肝病丨仝琳鸽/秦燕:胃饥饿素对非酒精性脂肪性肝炎小鼠抗纤维化作用的研究

其他肝病丨仝琳鸽/秦燕:胃饥饿素对非酒精性脂肪性肝炎小鼠抗纤维化作用的研究 国际肝病
2024-02-08
0

点击蓝字

关注我们



文章来源

仝琳鸽, 杨洋, 叶圣莹, 秦燕.  胃饥饿素对非酒精性脂肪性肝炎小鼠抗纤维化作用的研究 [J] . 中华肝脏病杂志, 2023, 31(12) : 1283-1289. DOI: 10.3760/cma.j.cn501113-20221124-00226.

摘 要

目的

研究胃饥饿素(Ghrelin)对高脂饮食诱导的非酒精性脂肪性肝炎(NASH)小鼠的抗纤维化作用。


方法

24只雄性C57BL/6小鼠随机分为正常饮食(NCD)组、NCD+Ghrelin组、高脂饮食(HFD)组和HFD+Ghrelin组。HFD组及HFD+Ghrelin组给予高脂饲料喂养16周诱发NASH,其中NCD+Ghrelin组及HFD+Ghrelin组于喂养14周后,持续给予Ghrelin干预(11 nmol·kg-1·d-1) 2周。16周末处死动物。检测小鼠血浆丙氨酸转氨酶(ALT)、透明质酸(HA)水平;测定肝组织羟脯氨酸(Hyp)含量;RT-qPCR检测肝组织转化生长因子β1(TGF-β1)及Ⅰ、Ⅲ、Ⅳ型胶原mRNA表达水平;Western blot检测肝组织α-平滑肌肌动蛋白(α-SMA)蛋白表达水平;苏木精染色观察肝组织形态学变化,VG染色观察肝组织纤维化的情况。


结果

NCD组ALT、HA、Hyp分别为(19.17±3.71)U/L、(80.58±27.27)ng/ml、(0.20±0.06)μg/mg与NCD组比较,HFD组血浆ALT (266.80±146.80)U/L、HA (219.00±39.47)ng/ml水平显著升高(P<0.05),肝组织Hyp (0.35±0.05)μg/mg prot含量增加(P<0.05),TGF-β1及Ⅰ、Ⅲ、Ⅳ型胶原mRNA表达水平显著升高(P<0.05),α-SMA蛋白表达水平明显增加,肝小叶中央静脉淤血、肝细胞肿胀,肝组织大量胶原纤维沉积。与HFD组比较,HFD+Ghrelin组小鼠血浆ALT (57.17±20.88)U/L 、HA (75.68±8.40)μg/mg水平、肝组织Hyp (0.19±0.07)μg/mg prot含量明显降低(P<0.05),TGF-β1、Ⅰ、Ⅲ、Ⅳ型胶原mRNA表达水平均降低(P<0.05);HFD+Ghrelin组α-SMA的蛋白表达水平下降(P<0.05)。肝组织内仅见血窦轻度淤血,肝损伤明显改善,胶原纤维沉积显著减少。


结论

Ghrelin对NASH小鼠的肝纤维化具有明显的改善作用。







随着肥胖和代谢综合征全球化的流行趋势,非酒精性脂肪性肝病(nonalcoholic fatty liver disease,NAFLD)作为一种慢性肝病在世界范围内日益受到重视。NAFLD包括从单纯性脂肪变性到非酒精性脂肪性肝炎(nonalcoholic steatohepatitis,NASH)、肝纤维化和肝硬化等多种病理学改变[1,2,3]。NASH是NAFLD的重要进展阶段,伴有一系列肝脏组织学病理改变,包括肝细胞损伤、肿胀,巨噬细胞和库普弗细胞浸润引发炎症,活化的肝星状细胞(hepatic stellate cell,HSCs)产生胶原引起细胞周围纤维化和窦周纤维化等[4]。HSCs活化被认为是肝纤维化的核心事件。一项临床研究显示221例NASH患者中约37.6%的患者伴有肝纤维化。而肝纤维化程度被认为是影响NASH相关疾病预后最重要的预测指标之一。因此有效抑制肝纤维化进展是阻止NASH进一步恶化的重要途径[5]

胃饥饿素(Ghrelin)[6]是由28个氨基酸组成的多肽,最初被发现是一种胃激素,具有强大的生长激素(growth hormone,GH)释放效应,但近些年研究发现Ghrelin与一系列代谢活动均有关,例如:调节脂代谢、维持糖代谢稳态、调节摄食、生育、记忆和学习等相关的途径[7]。研究表明,Ghrelin可以减轻脓毒症、肠和肝缺血/再灌注损伤、心血管疾病和胃肠道疾病等引起的炎症反应[8]。在NAFLD和NASH发展中,炎症、氧化应激和细胞凋亡有关键作用,而Ghrelin可通过上调脂联素水平,减少游离脂肪酸和促炎细胞因子,恢复饮食诱导肥胖(dietary induced obesity,DIO)大鼠的氧化还原状态,降低炎症反应,减少甘油三酯(triglyceride,TG)在肝脏中的积聚[9]。在NAFLD诱导期间和建立后给予Ghrelin,降低循环转氨酶水平,减少炎症反应,肝功能得到改善,从而恢复NAFLD所致的肝脏脂质代谢紊乱[10]。此外,Ghrelin还可抑制活化的HSCs,减少胶原蛋白的合成,减轻NAFLD的发展[11-12]。但Ghrelin对NASH的作用还鲜见报道。

基于此,本研究建立NASH小鼠模型,观察Ghrelin对NASH小鼠的抗肝纤维化作用,为NASH的防治提供新思路。


资料与方法


1.实验动物:
C57BL/6小鼠,SPF级,雄性,体质量18~22 g,购自昆明医科大学实验动物中心[SCXK(滇)K2015-0002]。小鼠自由饮食和饮水,于19~21℃,12 h明暗交替环境下饲养[动物实验伦理批号(2023-PZ-267)]。

2.药物与试剂:

Ghrelin,购自美国Phoenix公司;丙氨酸转氨酶(ALT)、透明质酸(hyaluronic acid,HA)、羟脯氨酸(hydroxyproline,Hyp)检测试剂盒,购自中国南京建成生物工程研究所;小鼠抗大鼠α平滑肌肌动蛋白(α-smooth musle actin,α-SMA)单克隆抗体,购自美国Sigma公司,辣根过氧化物酶(horseradish peroxidase,HRP)标记的羊抗小鼠IgG,购自美国Santa公司。

3.动物分组与处理:

24只雄性C57BL/6小鼠随机分为4组:正常饮食组(normal chow diet,NCD,n=6)、NCD+Ghrelin组(n=6),高脂饮食组(high-fat diet,HFD,n=6)和HFD+Ghrelin(n=6)。HFD及HFD+Ghrelin组给予高脂饲料喂养16周诱发NASH,其中NCD+Ghrelin组及HFD+Ghrelin组于喂养14周后,给予皮下埋泵,持续给予Ghrelin干预(11 nmol·kg-1·d-1) 2周;NCD组及HFD组仅进行颈部皮肤的切开及缝合处理,16周末处死实验动物。

4.标本采集:

1%戊巴比妥钠(0.006 5ml/g)麻醉小鼠后,心室采血后3 500 rpm离心15 min,分离血浆,测定血浆ALT、HA水平;制备100 mg/ml的肝组织匀浆,使用紫外分光光度计比色,检测OD值,计算出各组肝组织中Hyp含量;4%多聚甲醛固定进行苏木精(HE)、Van Gieson(VG)染色。

5.血清ALT、HA含量及肝组织Hyp含量的测定:

严格按照试剂盒说明书提供的方法进行操作,采用T6紫外分光光度计检测。

6.免疫印迹检测肝组织α-SMA表达:

肝脏组织置于蛋白裂解液中震荡裂解后,12 000g/min离心20~30 min后取上清液进行BCA蛋白定量。制备10%十二烷基硫酸钠-聚丙烯酰胺凝胶电泳,300 mA转膜,封闭1.5 h。第一抗体:α-SMA抗体(1∶300) 4℃过夜,第二抗体室温反应1 h,ECL发光液显影,使用Image J分析条带灰度值。

7.实时定量PCR检测肝组织Ⅰ、Ⅲ、Ⅳ型胶原蛋白及转化生长因子β(TGF-β1) mRNA的表达水平:

提取总RNA,逆转录为cDNA,以cDNA为模板检测。

PCR反应总体系25 μl,反应条件为95℃ 10 min;95℃ 30 s、60℃ 40 s、72℃ 50 s共40个循环。计算各组Ⅰ、Ⅲ、Ⅳ型胶原蛋白及TGF-β1 mRNA表达量。

8.肝组织HE、VG染色:
肝组织标本常规脱水后石蜡包埋、切片,于60℃烘箱40 min,再进行HE、VG染色,使用光学显微镜和偏光显微镜观察肝组织病理学变化。

9.统计学方法:
利用image Pro Plus软件分析胶原面积,应用SPSS 20.0软件进行统计分析。实验数据均以平均数±标准差(x±s)表示,采用单因素方差分析,两两比较采用最小显著差法LSP检验,P<0.05为有统计学意义。


结  果



1.各组小鼠血浆ALT、HA及肝组织Hyp含量的变化:

与NCD组比较,HFD组小鼠血浆ALT、HA水平显著升高,肝组织中Hyp的含量明显增加(P < 0.05);与HFD组比较,HFD+Ghrelin组血浆ALT、HA水平明显下降,肝组织中Hyp的含量明显减少(P < 0.05)。NCD+Ghrelin组与NCD组相比无统计学意义(P > 0.05)。提示高脂饲养16周后肝细胞受损,且有细胞外基质成分的沉积,而Ghrelin干预后改善了HFD组小鼠肝功能,见表1和图1。


2.肝组织Ⅰ、Ⅲ及Ⅳ型胶原蛋白mRNA的表达情况:

与NCD组相比,HFD组小鼠Ⅰ、Ⅲ及Ⅳ型胶原蛋白mRNA表达水平均明显增加(P<0.05);与HFD组相比,HFD+Ghrelin组小鼠Ⅰ、Ⅲ及Ⅳ型胶原蛋白mRNA表达水平均显著降低(P<0.05);NCD组与NCD+Ghrelin组比较无统计学意义(P>0.05)。提示Ghrelin处理后抑制HFD小鼠肝组织Ⅰ、Ⅲ及Ⅳ型胶原蛋白mRNA的水平。见表2,图2。


3.肝组织α-SMA蛋白的表达情况:

NCD组及NCD+Ghrelin组肝组织α-SMA蛋白的表达量极低,而HFD组肝组织α-SMA蛋白的表达量显著增加(P<0.05);经Ghrelin干预后小鼠肝组织α-SMA蛋白的表达量明显减少(P<0.05),见图3。


4.肝组织TGF-β1 mRNA的表达情况:

与NCD组相比,HFD组小鼠TGF-β1mRNA表达水平明显增加(P<0.05);HFD+Ghrelin组与HFD组相比,小鼠TGF-β1mRNA表达水平显著降低(P<0.05);NCD组与NCD+Ghrelin组相比无统计学意义(P>0.05),见表2、图4。说明Ghrelin可抑制HFD组小鼠TGF-β1 mRNA水平的升高。


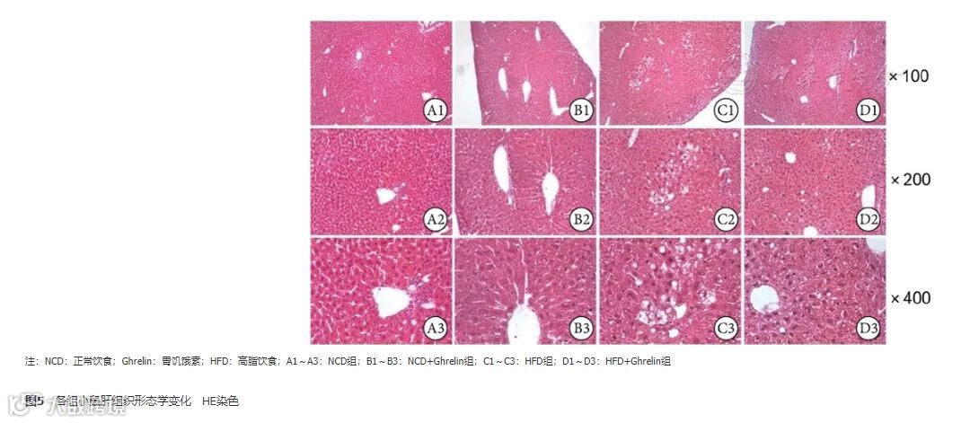
5.肝组织HE染色:

HE染色结果显示,与NCD组比较,HFD组肝组织内肝小叶中央静脉淤血、肝细胞肿胀,有的呈气球样外观,肝窦变窄或消失,部分肝细胞胞浆内可见大小不一的脂肪空泡;与HFD组相比,Ghrelin干预后肝组织内仅见血窦轻度淤血,肝损伤明显改善,见图5。


6.肝组织VG染色:

VG染色结果显示,胶原纤维显示红色,与NCD组比较,HFD组在门管区和小叶间静脉周围可见VG阳性胶原纤维,肝小叶结构受到破坏,经Ghrelin干预后纤维组织增生现象明显改善。偏振光显微镜下可见I、III型胶原纤维显示不同的颜色,I型胶原纤维呈红色,III型胶原纤维呈绿色。经Image Pro Plus进行胶原纤维累积光密度值(integral optical density,IOD)测定,同时测定肝组织的面积,计算出平均光密度(mean optical density,MOD),平均光密度=累积光密度/肝组织面积,从而对胶原含量进行半定量,见图6,图7。



讨  论


NAFLD已成为全球最常见的肝病之一,在亚洲,NAFLD的患病率已从25%(1999-2005年)增加到34%(2012至2017年)[13]。而NASH是一种更具侵袭性的形式,根据Day等[14]提出的"二次打击"假说,由于脂肪酸堆积、线粒体功能障碍和脂质过氧化等因素造成肝细胞损伤甚至死亡,损伤的肝细胞可导致炎性细胞因子的释放,诱发炎症反应,激活HSCs。活化的HSCs增殖、迁移和合成多种细胞外基质(extracellular matrix, ECM)成分,导致ECM过度异常沉积,促使肝纤维化的发生。而HSCs的持续激活及其释放的促纤维介质维持了肝纤维化的进展[15]。肝纤维化是NASH加重的重要病理表现,也是导致临床上肝衰竭的主要原因,因此抑制、减缓纤维化进程,可有效阻碍NASH的进一步发展,改善肝功能[16]。Ghrelin作为一种脑肠肽,显示出明显的抗纤维化作用,可通过GHSR非依赖性途径预防阿霉素诱导的心肌纤维化和细胞凋亡[17]。Moreno等[18]表明Ghrelin给药降低了大鼠急性或慢性肝纤维化的程度,我们的研究结果提供了进一步的证据,表明Ghrelin通过抑制HSCs的活化,有效发挥抗肝纤维化作用,减缓NASH的进程。

本研究采用更符合疾病自然转归导致NASH的HFD模型[19],结果表明HFD组小鼠血浆ALT活性显著升高,肝组织中度脂肪变性,汇管区轻度炎症,并出现点灶状坏死和肝细胞气球样变。而应用Ghrelin后降低了血浆ALT水平,改善肝损伤,提示Ghrelin在NASH发展中有一定保护作用。

在NASH进程中,氧化应激反应和脂质过氧化损伤诱发肝脏代谢紊乱和HSCs活化,促进肝脏纤维化的发生和发展。活化的HSCs可产生大量由胶原(Hyp;Ⅰ、Ⅲ、Ⅳ型胶原蛋白)、非胶原糖蛋白、蛋白多糖等组成的ECM。ECM的持续积累致使合成与降解失衡,导致肝纤维化的发生[20,21]。透明质酸(hyaluronic acid,HA)作为间质细胞合成的一种糖胺多糖,是反映肝纤维化最敏感的血清学标志物[22]。本研究中HFD组HA水平明显增高,肝组织Hyp含量也明显增加,Ⅰ、Ⅲ及Ⅳ型胶原蛋白表达水平也显著升高,VG染色结果显示,HFD组在门管区和小叶间静脉周围可见大量VG阳性胶原纤维,说明在NASH发展过程中,HSCs活化,并分泌大量胶原和非胶原成分,肝脏发生ECM过度沉积的纤维修复反应。使用Ghrelin干预后,血浆HA水平、肝组织Hyp含量降低,Ⅰ、Ⅲ及Ⅳ型胶原蛋白表达水平也下降,活化的HSCs受到抑制,阳性胶原纤维的积累减少,从而减轻了肝纤维化的程度,延缓NASH的进一步发展。

TGF-β是一种具有多种生物学功能的调节因子,在诸多病理生理过程中发挥重要作用[23]。参与肝纤维化诸多细胞因子中,TGF-β1被认为是TGF-β超家族中最重要的致纤维化因子。当肝脏损伤时,静止的HSCs在TGF-β1的刺激下被激活,以应答慢性肝损伤,而HSCs激活后可分泌更多的TGF-β1以维持持续的激活[24,25]。Mao等[26]表明,Ghrelin在体外和体内暴露于未经刺激的HSCs,降低了肝纤维化的两个标志物Ⅰ型胶原蛋白和TGF-β1的表达,我们研究结果与其一致,应用Ghrelin后TGF-β1的水平明显降低。此外,活化的HSCs还可分泌大量α-SMA,α-SMA被认为是HSCs活化的标志。结果显示α-SMA的蛋白表达水平在HFD组明显升高。推测在NASH中可能触发TGF-β1信号通路,激活静止的HSCs转化为肌成纤维细胞,并分泌表达大量的α-SMA,门管区和小叶间静脉形成纤维间隔,TGF-β1和α-SMA的协同作用致使肝脏的正常结构破坏。而经Ghrelin处理后,TGF-β1和α-SMA的表达水平均显著降低,说明在NASH发展过程中,Ghrelin抑制了HFD小鼠肝脏中活化的HSCs,Ghrelin可能通过抑制HSCs中TGF-β1的表达,进而使HSCs活化程度降低,抑制肝纤维化,减缓NASH的进展,有效发挥肝脏保护功能。

综上所述,Ghrelin对高脂饮食诱发的NASH小鼠的肝纤维化有明显的抑制作用。在NASH中,静止的HSCs转化为活化的HSCs,分泌大量的α-SMA蛋白,并促进胶原的沉积导致肝脏纤维化。Ghrelin通过抑制HSCs的活化,有效发挥抗纤维化作用,减缓NASH的进程,这为今后NASH伴肝纤维化防治及其药物开发提供了理论依据,但Ghrelin在急性和/或慢性肝损伤中发挥有益作用的确切分子机制仍需进一步研究。

参考文献:(上下滑动查看更多)

[1]NiederseerD, WernlyB, AignerE, et al. NAFLD and Cardiovascular diseases:epidemiological,mechanistic and therapeutic considerations[J]. J Clin Med, 2021, 10(3): 467. DOI:10.3390/jcm10030467.

[2]KumarR, PriyadarshiRN, AnandU. Non-alcoholic fatty liver disease: growing burden, adverse outcomes and associations[J]. J Clin Transl Hepatol, 2020, 8(1): 76-86. DOI: 10.14218/JCTH.2019.00051.

[3]中华医学会肝病学分会脂肪肝和酒精性肝病学组,中国医师协会脂肪性肝病专家委员会.非酒精性脂肪性肝病防治指南(2018年更新版)[J]. 中华肝脏病杂志,2018, 26(3): 195-203. DOI: 10.3760/cma.j.issn.1007-3418.208.03.008.

[4]HuismanTM, DieterichDT, FriedmanSL. Experimental and investigational targeted therapies for the management of fibrosis in nash: an update[J]. J Exp Pharmacol, 2021, 13:329-338. DIO:10.2147/JEP.S265286.

[5]ArgoCK, NorthupPG, Al-OsaimiAM, et al. Systematic review of risk factors for fibrosis progression in non-alcoholic steatohepatitis[J]. J Hepatol, 2009, 51(2): 371-379. DIO: 10.1016/j.jhep.2009.03.019.

[6]KojimaM, HosodaH, DateY, et al. Ghrelin is a growth-hormone-releasing acylated peptide from stomach[J]. Nature, 1999, 402(6762): 656-660. DIO: 10.1038/45230.

[7]AkaluY, MollaMD, DessieG, et al. Physiological effect of ghrelin on body systems[J]. Int J Endocrinol, 2020, 2020: 1385138. DIO:10.1155/2020/1385138.

[8]QuinonesM, FernoJ, Al-MassadiO. Ghrelin and liver disease[J]. Rev Endocr Metab Disord, 2020, 21(1): 45-56. DIO: 10.1007/s11154-019-09528-6.

[9]BarazzoniR, SemolicA, CattinM R, et al. Acylated ghrelin limits fat accumulation and improves redox state and inflammation markers in the liver of high-fat-fed rats[J]. Obesity (Silver Spring), 2014, 22(1): 170-177. DIO: 10.1002/oby.20454.

[10]LiY, HaiJ, LiL, et al. Administration of ghrelin improves inflammation, oxidative stress, and apoptosis during and after non-alcoholic fatty liver disease development[J]. Endocrine, 2013, 43(2): 376-386. DIO: 10.1007/s12020-012-9761-5.

[11]LiuX, GuoY, LiZ, et al. The role of acylated ghrelin and unacylated ghrelin in the blood and hypothalamus and their interaction with nonalcoholic fatty liver disease[J]. Iran J Basic Med Sci, 2020, 23(9): 1191-1196. DIO:10.22038/ijbms.2020.45356.10555.

[12]ZhangSR, FanXM. Ghrelin-ghrelin O-acyltransferase system in the pathogenesis of nonalcoholic fatty liver disease[J]. World J Gastroenterol, 2015, 21(11): 3214-3222. DIO: 10.3748/wjg.v21.i11.3214.

[13]LiJ, ZouB, YeoY H, et al. Prevalence, incidence, and outcome of non-alcoholic fatty liver disease in Asia, 1999-2019: a systematic review and meta-analysis[J]. Lancet Gastroenterol Hepatol, 2019, 4(5): 389-398. DIO: 10.1016/S2468-1253(19)30039-1.

[14]DayCP, JamesOF. Steatohepatitis:a tale of two "hits" [J]. Gastroenterology, 1998, 114 (4) :842-845. DIO: 10.1016/s0016-5085(98)70599-2.

[15]LeeS, WooDC, KangJ, et al. The role of the histone methyltransferase ezh2 in liver inflammation and fibrosis in stam nash mice[J]. Biology (Basel), 2020, 9(5). DIO: 10.3390/biology9050093.

[16]马明剑,吴健. 肠道菌群失衡与非酒精性脂肪性肝病之间的关系[J].中华肝脏病杂志,2017, 25(10): 789-793. DOI: 10.3760/cma.jissn.1007-3418.2017.10.017.

[17]PeiXM, YungBY, YipSP, et al. Desacyl ghrelin prevents doxorubicin-induced myocardial fibrosis and apoptosis via the GHSR-independent pathway[J]. Am J Physiol Endocrinol Metab, 2014, 306(3): e311-323. DIO:10.1152/ajpendo.00123.2013.

[18]MorenoM, ChavesJ F, Sancho-BruP, et al. Ghrelin attenuates hepatocellular injury and liver fibrogenesis in rodents and influences fibrosis progression in humans[J]. Hepatology, 2010, 51(3): 974-985.DIO: 10.1002/hep.23421.

[19]SanthekadurPK, KumarDP, SanyalAJ. Preclinical models of nonalcoholic fatty liver disease[J]. J Hepatol, 2018, 68(2): 230-237.DIO: 10.1016/j.jhep.2017.10.031.

[20]YangJJ, YangY, ZhangC, et al. Epigenetic silencing of LncRNA ANRIL enhances liver fibrosis and HSC activation through activating AMPK pathway[J]. J Cell Mol Med, 2020, 24(4): 2677-2687. DIO: 10.1111/jcmm.14987.

[21]GongH, FanZ, YiD, et al. Histidine kinase NME1 and NME2 are involved in TGF-beta1-induced HSC activation and CCl4-induced liver fibrosis[J]. J Mol Histol, 2020, 51(5): 573-581. DIO: 10.1007/s10735-020-09906-4.

[22]CavigliaGP, CiancioA, RossoC, et al. Noninvasive methods for the assessment of hepatic fibrosis:transient elastography, hyaluronic acid, 13C-aminopyrine breath test and cytokeratin 18 fragment[J].Ann Hepatol, 2013, 13 (1) : 91. DIO: 10.1016/S1665-2681(19)30909-3.

[23]ChanY T, WangN, TanH Y, et al. Targeting hepatic stellate cells for the treatment of liver fibrosis by natural products: is it the dawning of a new era?[J]. Frontiers Pharmacol, 2020, 11: 548. DIO: 10.3389/fphar.2020.00548.

[24]ZouGL, ZuoS, LuS,et al. Bone morphogenetic protein-7 represses hepatic stellate cell activation and liver fibrosis via regulation of TGF-β/Smad signaling pathway[J]. World J Gastroenterol, 2019, 25(30): 4222-4234. DIO: 10.3748/wjg.v25.i30.4222.

[25]WoodhooA, Iruarrizaga-LejarretaM, BerazaN, et al. Human antigen R contributes to hepatic stellate cell activation and liver fibrosis [J]. Hepatology, 2012, 56: 1870-1882. DIO: 10.1002/hep.25828.

[26]MaoY, ZhangS, YuF, et al. Ghrelin attenuates liver fibrosis through regulation of tgf-beta1 expression and autophagy[J]. Int J Mol Sci, 2015, 16(9): 21911-21930. DIO: 10.3390/ijms160921911.



声明:本文仅供医疗卫生专业人士了解最新医药资讯参考使用,不代表本平台观点。该信息不能以任何方式取代专业的医疗指导,也不应被视为诊疗建议,如果该信息被用于资讯以外的目的,本站及作者不承担相关责任。


(来源:中华肝脏病杂志)


【声明】内容源于网络
0
0
国际肝病
感谢您关注《国际肝病》微信新媒体!我们每天会为您提供国际肝病专家访谈、专家论述、会议报道、指南解读、最新资讯等精彩内容,第一时间分享肝病领域在科研及临床中的国际最新进展。“同步传真国际肝病进展”,关注微信即刻完美实现!
内容 5246
粉丝 0
国际肝病 感谢您关注《国际肝病》微信新媒体!我们每天会为您提供国际肝病专家访谈、专家论述、会议报道、指南解读、最新资讯等精彩内容,第一时间分享肝病领域在科研及临床中的国际最新进展。“同步传真国际肝病进展”,关注微信即刻完美实现!
总阅读279
粉丝0
内容5.2k