点击蓝字
关注我们
肝癌是全球范围内高发的恶性肿瘤,其治疗策略的选择是一个需要动态权衡的临床课题。肝动脉化疗栓塞术(Transarterial chemoembolization, TACE)作为不可切除肝癌的重要治疗手段,几乎贯穿了肝癌治疗的全过程。然而,在真实世界的临床实践中,TACE的应用仍面临诸多争议与挑战
对此,空军军医大学西京医院帖君教授结合最新指南与临床研究,对TACE治疗中的9大关键问题进行深入剖析,为临床实践提供了宝贵的经验与指导。《肿瘤瞭望消化时讯》特将精彩内容整理如下,以飨读者。
专家简介
医学博士。空军军医大学西京医院消化内科副主任,消化介入中心主任,副主任医师,副教授,硕士研究生导师。
专业方向:
肝硬化,门脉高压,梗阻性黄疸,肝癌和肝转移癌等消化系统疾病的介入治疗与研究
学术任职:
国家卫健委能力建设和继续教育介入医学专家委员会委员
中国医师协会介入专业委员会委员
中国抗癌协会肿瘤介入学专业委员会委员
学术成果:
主持国科金面上项目3项,省重点1项,发表SCI论文20余篇,以主要完成人获军队科技进步一等奖1项,陕西省科技进步一等奖1项,中国抗癌协会科技进步一等奖1项。
TACE一种微创介入治疗技术,该技术基于肝癌的血供特点:正常肝脏组织的血供25%~30%来自肝动脉,70%~75%来自门静脉,而肝癌组织的血供则超过90%源于肝动脉。基于这一特性,在TACE治疗中,医生通过导管将化疗药物与栓塞剂精准地注入肿瘤供血的肝动脉。化疗药物能够在肿瘤局部形成高浓度聚集,直接对癌细胞进行强有力的杀伤,从而有效抑制肿瘤的生长和扩散;与此同时,栓塞剂会阻断肿瘤的血液供应,如同切断肿瘤的 “营养通道”,使肿瘤细胞因缺乏养分和氧气而凋亡。整个TACE治疗过程在影像设备的引导和监视下进行,通过微小的创口能够准确地直接到达病变局部,因此具有“微创、精准、安全、高效”的优点,已成为不可手术切除的中晚期肝癌的首选治疗方法。
在临床实践中,TACE的应用需经过多学科团队(MDT)的全面评估,以确保治疗方案的个体化和优化。根据中国肝癌分期(CNLC)方案,TACE在Ⅰb期~Ⅲb期的治疗中占据重要地位,常与手术切除、消融治疗、放疗、系统抗肿瘤治疗以及肝移植等手段联合应用。然而,对于伴有并发症的特殊患者群体,如中-大量腹水、明显黄疸、低蛋白血症、PT明显延长、血小板减少、肾功能不全等情况时,TACE的应用需要更加谨慎的评估和个体化的决策。
TACE的精准之路:如何量化风险,定制方案?
对于伴有中大量腹水的肝癌患者,TACE治疗的决策需基于腹水成因的鉴别诊断。其中,门脉高压性腹水患者通常被视为TACE禁忌证;而对于癌性腹水患者,若肝功能代偿良好,经多学科评估后可谨慎实施TACE。作者在临床实践中发现,此类患者接受TACE和系统治疗后,不仅不会加重腹水和肝功能损害,反而可能通过控制肿瘤进展而改善腹水(图1)。
图1. 癌性腹水患者经TACE联合靶向治疗后腹水消退
伴发黄疸的患者,其TACE治疗同样需要鉴别黄疸类型。总胆红素大于正常值上限的3倍(约50 μmol/L)是TACE的禁忌证,这一标准适用于肝细胞性黄疸。对于因肝癌引起的梗阻性黄疸,治疗时可不拘泥于这一标准。在解决胆道梗阻问题后,应尽早进行TACE及其他抗肿瘤治疗,通过控制肿瘤,减轻对胆管的压迫或侵犯,从而有利于维持胆道通畅。
严重低蛋白血症(血浆白蛋白小于30 g/L)也是TACE的禁忌证。低蛋白血症会降低药物结合率,改变药物的分布和肝脏代谢,影响肾小管功能及药物排泄。对于肝性低蛋白血症的患者,往往提示肝脏合成功能严重下降,储备功能不足,TACE可能诱发肝功能衰竭,因此不宜进行TACE治疗。然而,对于部分患者,例如肾病综合征患者,由于肾功能损伤导致低蛋白血症,可以在减少药物剂量的前提下进行TACE治疗,其中药物缓释型的dTACE可能是更安全的选择。
同样,PT明显延长的患者能否进行TACE也取决于原因的鉴别。其中,肝功能减退导致的PT延长是TACE的相对禁忌证,而抗凝药物引起的PT延长则在停药纠正后可评估TACE的可行性。这些决策模式体现了肝癌治疗中风险评估的精细化趋势,要求临床医生不仅关注肿瘤本身,还需全面把握患者的整体状况和各项指标的病理生理意义。
血小板减少的管理是TACE围手术期的重要环节。目前,对于血小板计数大于50×109/L的患者,TACE术前无需特殊处理,而低于30×109/L时则需要升血小板治疗。临床实践中对于介于30~50×109/L之间的患者,需结合患者的凝血功能进行个体化评估。如果凝血功能正常或者轻度异常,TACE术前不必进行升小板治疗,肝硬化背景下的血小板减少患者常伴有血小板功能代偿性增强可弥补数量不足的缺陷。
肾功能不全患者的TACE治疗目前数据有限。规律透析的肾功能衰竭患者,其TACE治疗可以正常进行。对于有明显肾功能损害但未达到透析标准的患者,有研究提示预防性透析可能降低治疗风险。这类特殊人群的TACE应用反映了当前肝癌治疗中的“灰色地带”,尚需更多临床研究来证实其安全性。。
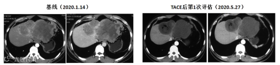
巨块型肝癌的栓塞策略选择取决于肝功能储备状况,ICG-R15(吲哚菁绿15分钟滞留率)是一个重要的评估指标。当ICG-R15≤20%时,可考虑一次完全栓塞,这种积极的策略有助于提高肿瘤完全坏死率和后续转化治疗机会;而ICG-R15>20%时,则建议分次栓塞以降低肝功能衰竭的风险(图2)。
图2. 巨块型肝癌患者1次TACE后复查结果
合并静脉曲张出血的肝癌患者,TIPS与TACE的时序安排需要谨慎考虑。原则上建议分期处理,先通过TIPS解决出血这一危及生命的并发症,待病情稳定后再行TACE及靶免治疗控制肝癌病灶。这种"先救命、再治病"的决策思路反映了肝癌多学科治疗中的优先级管理原则。
对于已接受TIPS术的肝癌患者,栓塞方式的选择也值得关注。研究表明,DEB-TACE(载药微球TACE)对于TIPS术后的HCC患者更为安全有效。在并发症发生率、肝毒性、总生存期(OS)、至肿瘤进展时间(TTP)和客观缓解率(ORR)等方面优于传统cTACE。这一发现为特殊人群的TACE方式的选择提供了循证依据。
小结
TACE 只有在恰当的时机、用于合适的患者,才能使患者获益。在临床实践中,对于能够进行TACE的患者,放弃TACE治疗会增加病情进展的风险;另一方面,不适当的TACE可能加速肝功能衰竭,导致患者死亡。这就要求临床医生不仅要掌握TACE的技术细节,还要具备精准筛选患者的能力。
展望未来,肝癌TACE治疗的发展将朝着更加精准化、个体化的方向迈进。随着分子生物学和影像学技术的进步,未来有望建立更加精确的疗效预测模型,实现"量体裁衣"式的治疗决策。
(来源:肿瘤瞭望消化时讯)

声明:本文仅供医疗卫生专业人士了解最新医药资讯参考使用,不代表本平台观点。该信息不能以任何方式取代专业的医疗指导,也不应被视为诊疗建议,如果该信息被用于资讯以外的目的,本站及作者不承担相关责任。

