点击蓝字
关注我们
关键词:皮质类固醇、肝细胞癌、缺血、脊髓梗死、经动脉化疗栓塞术
编者按
肝细胞癌(HCC)是亚洲地区最常见的恶性肿瘤之一,经动脉化疗栓塞术(TACE)作为其标准治疗手段,尤其适用于不可切除的肿瘤患者。尽管TACE总体安全性较高,但仍可能引发多种并发症,包括栓塞后综合征、脓肿、肝衰竭及罕见的神经学并发症(如脊髓梗死)。
脊髓梗死是HCC TACE后罕见但严重的并发症。本期《岂有此“例”》聚焦一例年轻HCC患者TACE术后发生脊髓梗死的罕见病例。该病例经立即给予高剂量皮质类固醇治疗及支持性护理后神经功能部分恢复。此案例强调了识别肝外动脉供血的重要性,以及TACE可能引发的神经学风险。
病例再现
患者为33岁男性,因既往TACE治疗效果不佳由外院转诊。患者有未控制的慢性乙型肝炎病史,1年前因HCC破裂接受急诊动脉栓塞术,同年又行两次TACE,但肿瘤控制不佳。
入院时,患者一般情况良好,无腹痛。增强CT显示右肝巨大肿瘤(13×12 cm)及左肝段Ⅱ小病灶(4×3 cm),两病灶均含栓塞材料,动脉期部分强化,静脉期洗脱(图1)。
实验室检查示乙型肝炎表面抗原(HBsAg)阳性,甲胎蛋白(AFP)显著升高至369 000 U/mL,肝功能及血常规正常。鉴于肿瘤负荷大且既往治疗反应不足,决定再次行TACE。
图1. 栓塞前增强CT影像。A.平扫轴位CT显示右肝残留肿瘤(箭头)。B. 增强轴位CT显示右肝残留肿瘤(箭头)由右肝动脉及右下肺静脉供血。
术中血管造影显示肿瘤由右肝动脉及右下肺静脉供血,使用碘油及药物洗脱微球进行栓塞(图2)。术后约15分钟,患者主诉双下肢突发麻木。考虑脊髓缺血,立即请神经科会诊,并予大剂量甲基泼尼松龙治疗(初始30 mg/kg静脉推注,随后5.4 mg/kg/h持续输注23小时)。神经外科会诊后认为无减压手术指征。
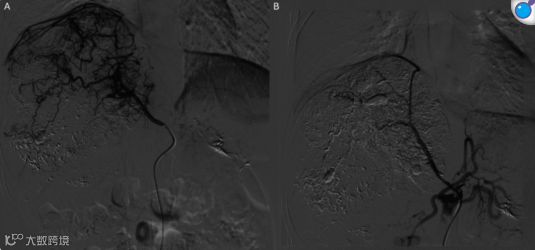
图2. 右下肺静脉数字减影血管造影(DSA)。A. 右下肺静脉选择性血管造影显示肿瘤高度血管化,由该动脉供血;B.栓塞后血管造影显示大部分肿瘤供血分支成功闭塞。
术后1小时,患者T9水平以下感觉完全丧失,右腿MRC肌力1/5级,左腿2/5级,肛门自主收缩保留。次日脊髓MRI证实T9水平缺血(图3-4)。
图3. 栓塞后次日胸腰椎MRI。A. T2W显示T9-L1水平脊髓高信号;B. T1W显示同一区域低信号;C. STIR显示高信号,提示水肿;D/E. 增强轴位像显示受累区域持续强化,提示血管炎症或充血。
图4. 胸腰椎T9水平病变放大影像。A. T2W显示T9-L1水平脊髓高信号;B. STIR显示高信号,提示水肿;C. 扩散加权像显示受累脊髓无扩散受限,符合水肿表现。
患者后续接受维持剂量皮质类固醇(2 mg/kg/d)及早期康复治疗,包括疼痛管理、物理治疗。尿潴留予留置导尿,3天后夹闭训练以恢复膀胱功能。便秘予灌肠处理后缓解。住院1周后转至当地康复中心。
出院时左腿肌力部分恢复(3/5级),感觉缺失及右腿无力持续。8个月后视频随访,患者感觉、排便功能大部分恢复,可拄拐独立行走,左腿肌力4/5级,右腿3/5级(由当地医师评估)。
病例分析
TACE是HCC的有效治疗手段,但可能引发并发症。典型不良反应包括栓塞后综合征(发热、恶心、腹痛)、转氨酶升高及一过性白细胞增多。神经学并发症罕见,但脊髓梗死致残率极高,发生率约0.3%。
TACE术后脊髓梗死多因意外栓塞脊髓前动脉或Adamkiewicz动脉(经肝外侧支供血)。右下肺静脉作为大型HCC常见供血动脉,可能参与此类并发症。既往多次TACE、多灶性或浸润性HCC患者可能因血管解剖变异,增加肋间动脉或腰动脉意外栓塞风险。下肺静脉或肋间动脉可能存在与脊髓前动脉相连的细小分支,此类分支在血管造影中通常难以显影。因此,对此类患者需高度警惕脊髓梗死风险,放射科医师操作时需极度谨慎。神经学症状可于TACE术后立即出现或数小时内进展,表现从轻度感觉异常至完全截瘫不等。诊断主要依赖MRI,典型表现为脊髓受累节段T2高信号及扩散受限。局部血管炎也可能导致神经学并发症,但症状出现较晚且MRI可能正常。值得注意的是,早期(24小时内)MRI可能呈阴性,需结合临床表现密切观察。
TACE术后脊髓梗死尚无标准化治疗方案。高剂量皮质类固醇常用于急性脊髓损伤,但非创伤性病例中的疗效存在争议,主要因不良反应(如消化道溃疡、感染)。Cochrane荟萃分析显示,即使未在3小时内启动治疗,脊髓损伤后24~48小时内使用大剂量皮质类固醇仍可显著改善运动及功能预后,且不增加死亡率。尽管缺乏随机对照研究,但病例报道及非创伤性脊髓损伤的间接证据提示,TACE术后脊髓梗死患者可能受益于类固醇治疗。文献报道的多数病例接受高剂量类固醇治疗,预后各异。两例死亡病例中,一例因HCC破裂,可能与类固醇无关;另一例因吸入性肺炎及败血症。为减少类固醇相关不良反应,需严密监测并预防性使用抗生素(防感染)及质子泵抑制剂(防消化道出血)。此外,早期康复(包括物理治疗、膀胱/肠道管理)对功能恢复至关重要。
本例为文献报道中最年轻的TACE术后脊髓梗死患者。此类并发症对年轻患者影响尤为深远,可能导致严重残疾。治疗包括大剂量皮质类固醇输注及早期物理治疗,以保留和恢复运动、感觉、膀胱及肛门功能。尽管类固醇疗效缺乏高级别证据,但鉴于该并发症的罕见性,难以开展大规模研究或临床试验。因此,高剂量皮质类固醇联合早期康复仍是当前合理策略。
总之,本病例提示TACE总体安全性良好,但可能引发严重神经学并发症(如脊髓梗死)。临床医师需警惕HCC病灶的肝外动脉供血,并采取预防措施降低栓塞相关风险。术前应向患者(尤其既往接受过TACE者)充分告知此并发症。文献中多数病例使用高剂量皮质类固醇,本例亦采用此方案。但患者部分恢复是否归因于类固醇治疗尚难确定。
参考文献
[1] Tran Dinh T, Than Van S, Chu Van V, Chu Minh P. Spinal Cord Infarction After Transarterial Chemoembolization for Hepatocellular Carcinoma: A Case Report. Cureus. 2025 May 31;17(5):e85147.
(来源:肿瘤瞭望消化时讯)
声明:本文仅供医疗卫生专业人士了解最新医药资讯参考使用,不代表本平台观点。该信息不能以任何方式取代专业的医疗指导,也不应被视为诊疗建议,如果该信息被用于资讯以外的目的,本站及作者不承担相关责任。

