病史
男,24岁,在做右肘伸展动作时会有咔哒声。
影像资料


检查所示


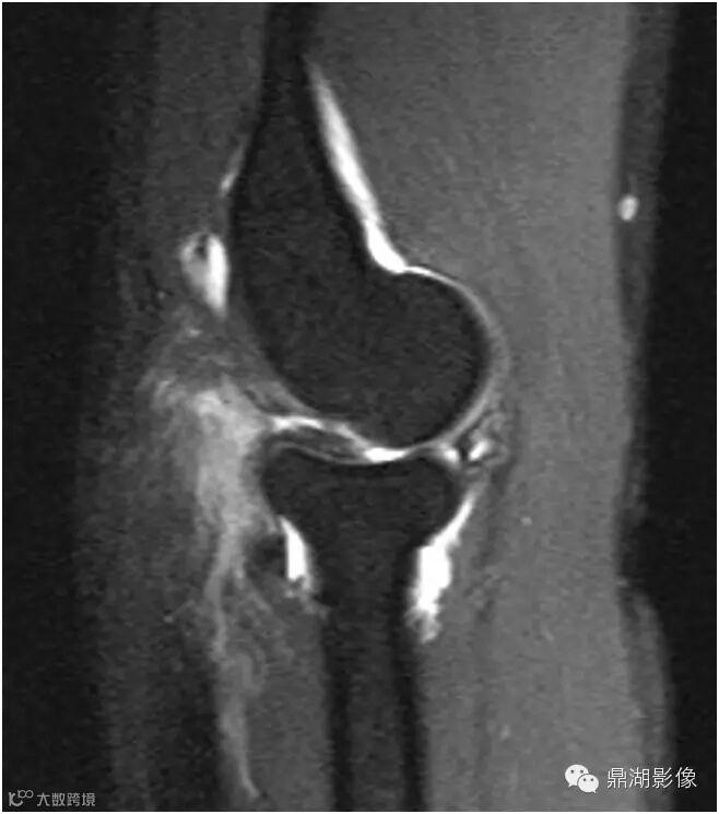
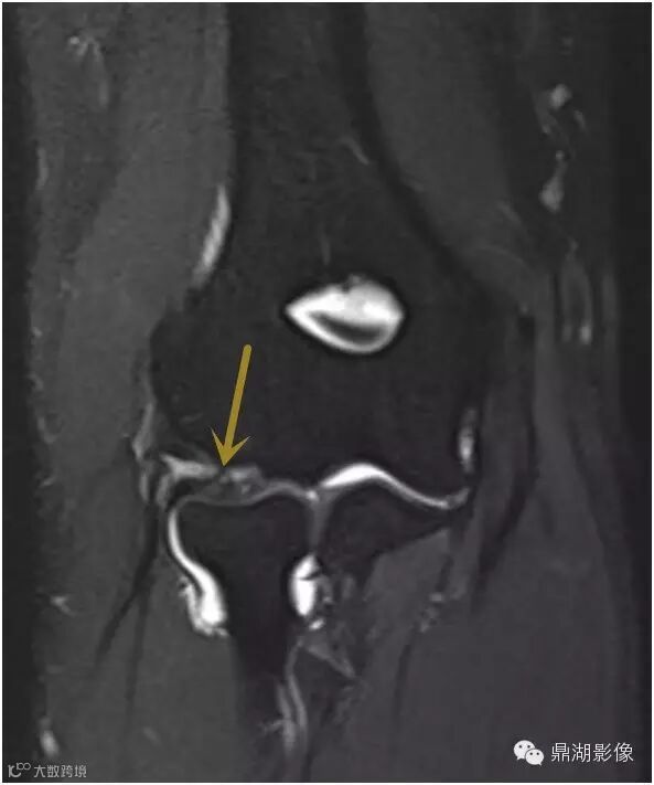
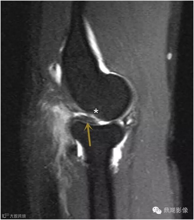
抑脂序列冠状位及矢状位T2WI显示在后外侧肱桡关节间隙内增厚的滑膜皱襞隆起并折叠(箭头)。
皱襞内可见高信号影,测量超过3毫米的厚度,并覆盖了几乎一半的桡骨头关节面。并可见易被误认为是肱骨小头缺损的正常肱骨头(*)。
鉴别诊断
肘关节滑膜炎
肘关节内游离体
肘关节滑膜皱襞综合征
肱桡关节软骨软化
诊断
肘关节滑膜皱襞综合征(Elbow Synovial Fringe Syndrome)
讨论
病因:在86-100%尸检中我们多发现后外侧肱桡滑膜皱襞有半月板样折叠。急性损伤、慢性反复创伤性刺激、等原因会造成关节周围的滑膜皱襞肥厚。通常年轻人在参加体育活动和其他运动时,需要重复的进行肘关节屈伸动作所致。
简介:滑膜皱襞综合征患者(SFS)通常出现在肘关节后外侧边缘,会出现慢性疼痛,但并不总伴关节绞锁、弹响。相对更常见的肱骨外上髁炎临床表现与之类似,很难鉴别诊断,在临床上往往是在肱骨外上髁炎治疗改善不明显后,才考虑SFS的诊断。前臂屈伸旋前时会出现相应症状。
影像:MR关节造影是评价SFS的最有用的方法。滑膜边缘厚度>2.6毫米,覆盖多超过1/3的桡骨头的皱襞,其内可见高信号影和相邻的滑膜炎表现时,建议诊断SFS。可能存在相邻软骨软化,尤其是在桡骨头的边缘。超声也被用于观察滑膜褶皱和相邻局部滑膜增厚。
治疗:SFS症状轻微的病例保守治疗主要是休息和非甾体类抗炎药治疗。彻底治疗方法是关节镜下切除滑膜皱襞。早期手术可以防止发展为肱桡关节软骨软化。
·END·
专注影像原创



