英语学习在于兴趣以及你所处的环境,更要有逼迫自己学习的勇气。小编有幸加入了“医学影像英语学习群”,这里不仅仅有专家、教授,更有无数敢于用英语改变自己的影像同仁。小编今天和大家分享一下昨日的学习过程。
![]()
演讲者
Everyone in the forum,good evening!
![]()
演讲者
It is really my honor to have this opportunity for this discussion.today I will show you a clinic familiar diseaseE.
good evening
![]()
李灿青大附院
![]()
演讲者
Can I have a start?
Up to you!
![]()
杨敏洁深医放射




















![]()
演讲者
What’s your answer?
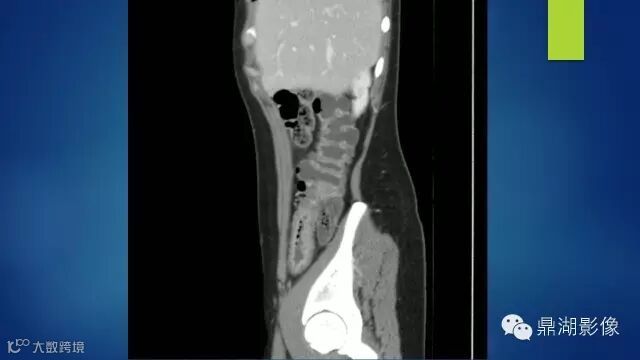
Crohn's disease.
![]()
李灿青大附院
Crohn's disease.
![]()
杨敏洁深医放射
IBD,CD
![]()
唐永华瑞金放射
CD belongs to IBD, right ?
![]()
李灿青大附院
yes
![]()
唐永华瑞金放射
thank you @唐永华,上海瑞金医院放射科
![]()
李灿青大附院
May it be ischemia?
![]()
杨敏洁深医放射
![]()
演讲者
the answer is easy,but today we will learn this diease deeply
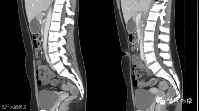
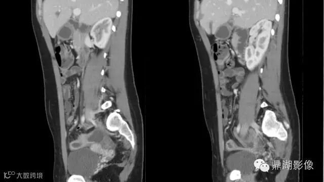
There's a contrast uptake ,so I doubt it's ischemia
![]()
Aabesh
Well, ischemia need carefully observation.
![]()
李灿青大附院




![]()
演讲者
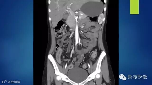
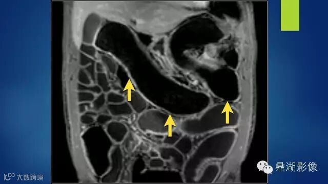
do you know comb sign?
can someone tell me the common causes of ischemia of abdominal vessels in young people?
![]()
李灿青大附院
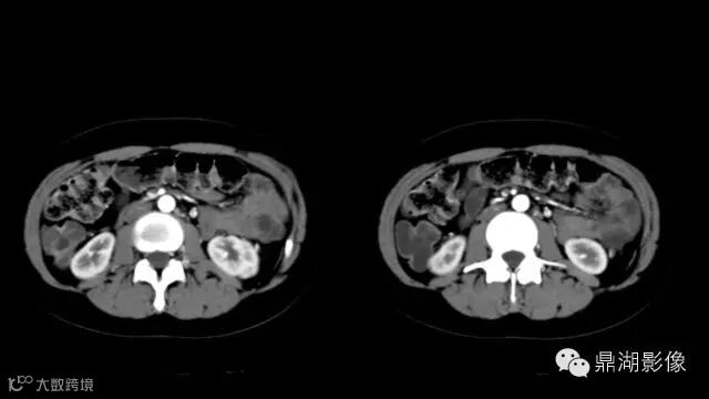
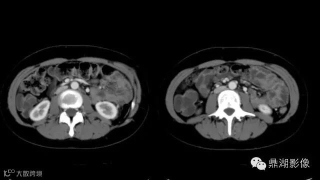
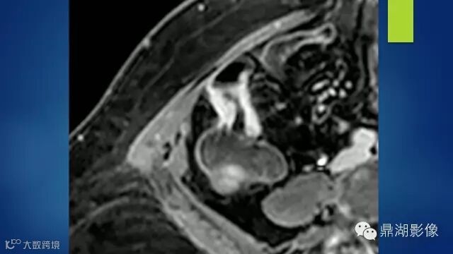
The comb sign refers to the hypervascular appearance of the mesentery in active Crohn disease.
![]()
李灿青大附院


Very impressive image
![]()
李灿青大附院
![]()
演讲者
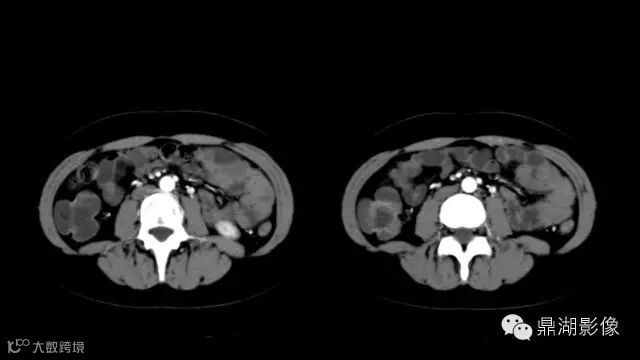
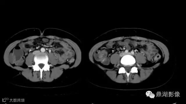
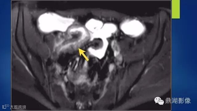
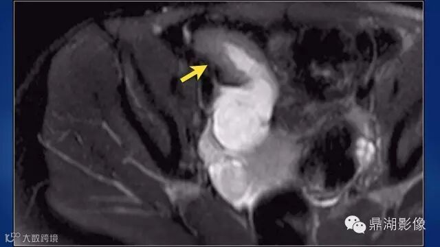
what's the meaning of fat halo sign?
Never heard of.
![]()
杨敏洁深医放射

![]()
演讲者
粘膜下水肿或脂肪沉积,可致肠壁内呈低密度层(halo征),其最初用来描述溃疡性结肠炎,是良性肠道病变的结果,无特异性,也可存在于放射性肠炎,移植-受体疾病和慢性缺血性肠炎以及单性的肥胖症患者。
原来如此,这么说是经常碰到的征象!
![]()
王黎河北医科二院
![]()
演讲者
Fat halo aslo can be seen in normal terminal ileum.
It is the comb sign the most specific sign for crohn's disease.
![]()
杨敏洁深医放射
ULCer
![]()
唐永华瑞金放射







































![]()
演讲者
that‘s all thank you.
如有想进群的朋友,可以留言告诉我们,我们会联系“医学影像英语学习群”的管理员,不过入群要积极发言哟!


