
在临床上我们将胸部的X线平片简称为胸片。由于胸片快捷、简便、经济、空间分辨率高等优势成为临床上胸部疾病筛查的首选影像学方法。这篇文章将和大家共同学习正常胸片的影像学征象。


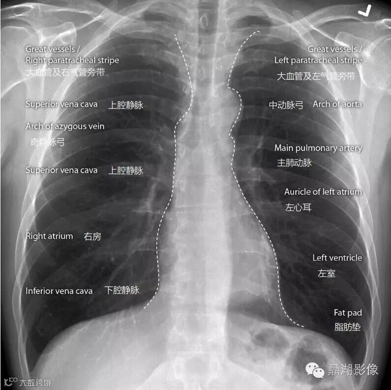
心纵膈的外轮廓线
需要和大家指出的是上面提到的“气管旁带”,部分同仁可能没有听说。其是垂直的线形软组织影,宽度<4 mm。符合连结纵隔和邻近胸膜的气管右壁,该带长3~4 cm,在正位X 线胸片上约从锁骨内端水平延伸到右气管支气管角。在94%成人中可见到,但纵隔脂肪丰富者其可增宽或见不到。该带增宽、变形或消失的最常见病因是气管旁淋巴结增大。


女,23岁
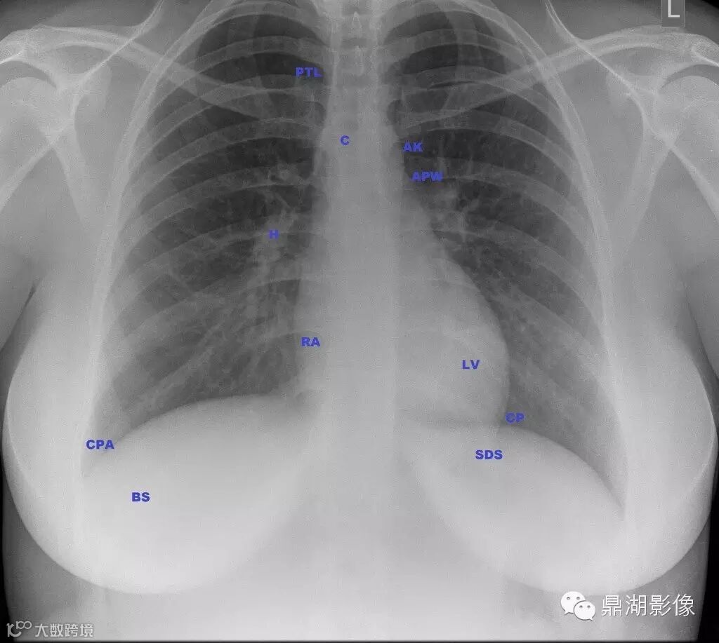
CPA = COSTOPHRENIC ANGLE
BS = BREAST SHADOW
SDS = SUB DIAPHRAGMATIC SPACE
CP = CARDIOPHRENIC ANGLE
LV = LEFT VENTRICLE
RA = RIGHT ATRIUM
H = HILUM
C = CARINA
AK = AORTIC KNUCKLE
APW = AORTOPULMONARY WINDOW
PTL = PARATRACHEAL LINE

男,35岁(Anterior junction line)
又是一个十分有趣的线——前联合线。它是由双侧前内侧脏层、壁层胸膜对折并夹带少量纵膈脂肪形成的。表现为胸骨上2/3从右上到左下的斜线。线内夹有少量的纵膈脂肪是正常的,纵膈脂肪增多及青少年胸腺可以引起前联合线的增宽如条状。正位片上约40%(25-57%) 可以看到该线,如果胸膜反折线呈斜行而不与X线束方向一致,则前联合线不会显示,心脏、大血管、胸骨、腰椎也会影响前联合线的显示。由于前联合线位于前纵隔,所以前纵隔疾病会使其不显示或曲度异常,如甲状腺、淋巴结、新生物及脂肪增多症。周围肺组织充气过度或过少也可以引起前联合移位。
今天的学习就到这里,有什么好的建议和意见都可以通过留言告诉我们,可能会有惊喜等着您!


