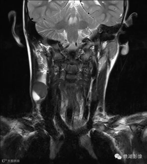
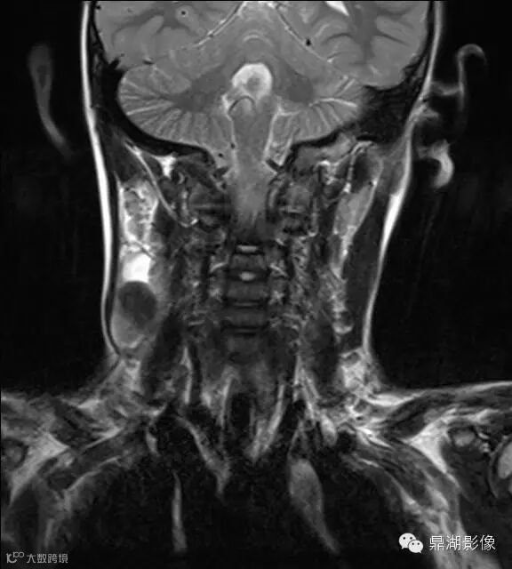
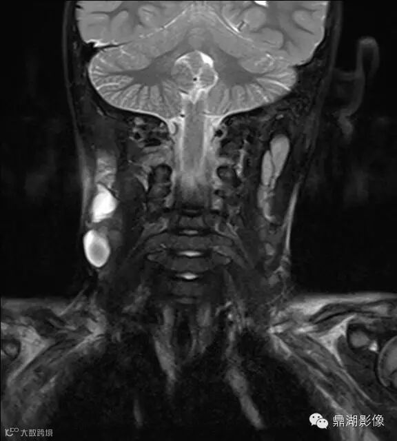
病史:男,5岁,发烧起病 39.5,咽痛,扁桃体II度,家属发现颈部肿块,质地硬,压痛。














患者临床其它检查:



上海儿童医院韩燕乔教授诊断:考虑淋巴结炎 ,可见杯状分层,液液平
治疗:口服阿奇霉素,痊愈。
出院临床诊断:上呼吸道支原体感染,淋巴结炎
颌面部淋巴结炎是临床较常见的一种疾病,尤其是小孩发病率更高。经常发生在颌下及颏下,有时也发生在耳后,面部和颈侧。颌面部的淋巴结炎大多是以下原因引起感染。上呼吸道感染,如扁桃体炎、咽炎、鼻炎、鼻窦炎等;口腔感染,如牙龈炎、牙周炎、口腔溃疡、冠周炎等;皮肤损伤与感染,如头面部皮肤化脓性伤口、湿疹感染、疖肿等。以上各种感染的细菌均可以随着淋巴液的循环,流经颌面部的相应淋巴结,使相应部位的淋巴结遭受细菌的侵犯,引起淋巴结的炎症。
鉴别诊断:
神经源性肿瘤:肿块较大,信号常不均,有人认为肿瘤位于屈肌的区域或伴有肌肉萎缩强烈提示神经源性肿瘤。
淋巴结核:多融合成团,呈花环状,边缘强化,淋巴结内见到斑点状钙化有助结核的诊断。
猫抓病性淋巴结炎:不少医生诊断为猫爪病,该病确实很接近。均为炎性改变,脓肿、坏死形成时,虽呈边缘强化特点,但多个淋巴结间界限清楚,无融合改变,内也无斑点状钙化。
本病例由51读片专家诊断并提供病例
获奖名单:



考虑淋巴结结核、猫抓病给予奖励积分,已经很接近,看来大家的诊断水平都较高。今后我们平台还将同51读片内的顶级专家以及上海地区各大医院合作,优先对平台医生进行继续教育培训。希望大家持续关注鼎湖影像,我们共同进步!


