这周的红包读片又来了,上期的“非骨化纤维瘤”大家的参与度及准确率都不错。今天我们和大家分享并共同学习一个神经系统病例,各位可以留言告诉我们您的诊断及诊断思路,明天揭晓答案并解析,获奖者也会在明天公布。期待您的解答。
病史:女,70岁,不明愿意头痛一周

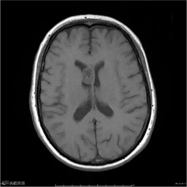
TIWI

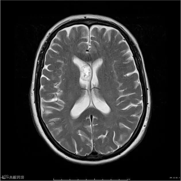
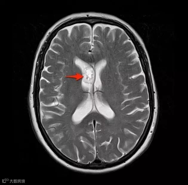
T2WI

FLAIR

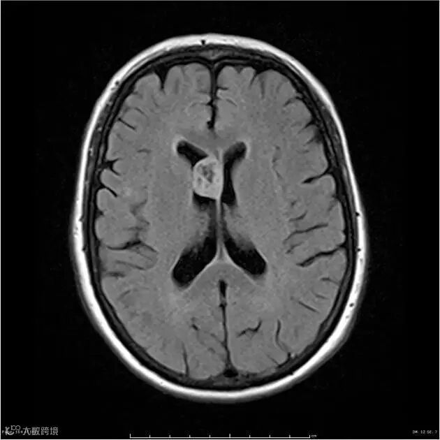
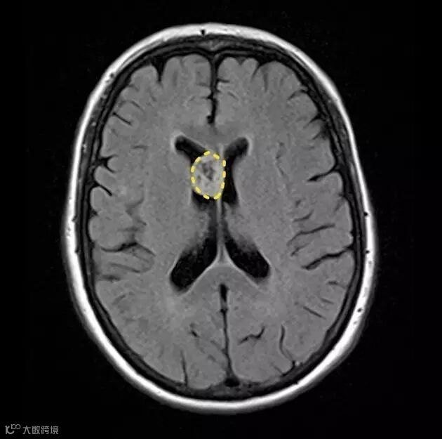
T1WI C+

ADC

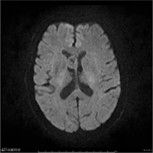
DWI


快将您的答案及诊断思路通过留言告诉我们吧,和大家一起切磋切磋。

鼎湖影像这周的红包读片又来了,上期的“非骨化纤维瘤”大家的参与度及准确率都不错。今天我们和大家分享并共同学习一个神经系统病例,各位可以留言告诉我们您的诊断及诊断思路,明天揭晓答案并解析,获奖者也会在明天公布。期待您的解答。
病史:女,70岁,不明愿意头痛一周

TIWI

T2WI

FLAIR

T1WI C+

ADC

DWI


快将您的答案及诊断思路通过留言告诉我们吧,和大家一起切磋切磋。
