病史
患者,男,43岁,有慢性血栓栓塞性肺动脉高压史,伴进行性呼吸困难,肺功能恶化,提示有手术治疗指征。接受血栓内膜剥脱术,但由于病人急性右心功能不全而使手术变得复杂,从而需要动-静脉体外膜肺氧合支持治疗(venoarterial extracorporeal membrane oxygena-tion,V-A ECMO)。手术后患者尝试中断动-静脉体外膜肺氧合支持治疗但未能成功,同时超声心动图显示右心脏衰竭正在加重。在手术后第11天,通过肺CTA来评估肺动脉栓塞的复发情况。


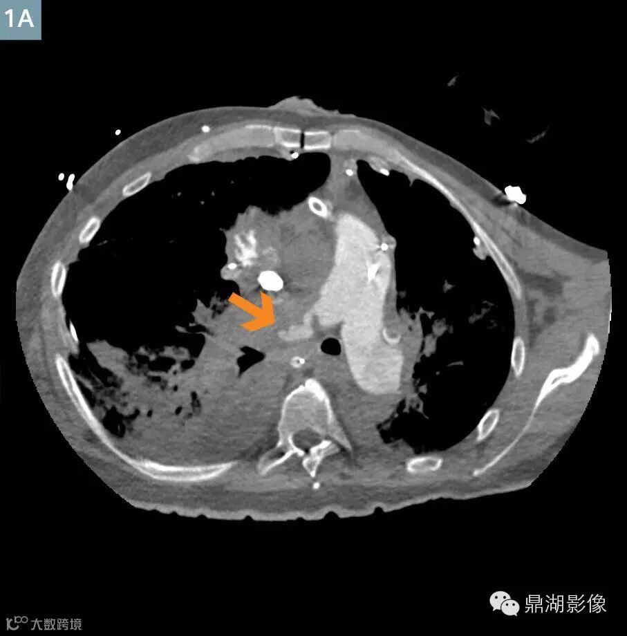
Axial contrast-enhanced (Fig. 1A) and VRT (Fig. 1B) image at the level of the main pulmonary artery: There are irregular filling defects (arrow) in the occluded right main pulmonary artery consistent with thrombosis.


Coronal contrast-enhanced MPR (Fig. 2A) and VRT (Fig. 2B) image at the level of the pulmonary hila: Extensive right lung consolidative opacities represent pulmonary infarction.

Coronal contrast-enhanced image at the level of the pulmonary hila: Perfusion to the left lower lobe is partially preserved; as seen through contrast opacifying the left pulmonary veins (arrow).

Contrast-enhanced sagittal oblique image of the aortic arch: The main pulmonary artery is well opacified with contrast and the aorta and arterial ECMO limb (arrow) are unopacified with contrast.
诊断
肺动脉CTA显示新的多发性肺栓塞和右动脉完全闭塞(图1)。左下叶肺动脉和静脉灌注一直持续(图3)。存在广泛右肺动脉梗塞(图2)。上腔静脉,右心房,右心室充满造影剂,造影剂回流进入肝静脉和下腔静脉(图5A)。主肺动脉CT值衰减大于250亨氏单位,这可以让医生确定扫描的诊断质量。ECMO系统和主动脉的分支未显影,体现了良好的团注时间(图4)。


Contrast-enhanced coronal oblique MPR(Fig. 5A) and VRT (Fig. 5B) image at the level of the right heart: Contrast injected via a right arm peripheral IV opacifies the superior vena cava (SVC), right atrium (RA), and right ventricle (RV). There is reflux of contrast into the hepatic veins (Fig. 5A) in the setting of elevated right heart pressures. Surgical drains, central venous catheters, and ECMO cannulae are in place.
总结
VA ECMO的作用就像一个体外循环。肺动脉通过静脉注射为了得到最佳的造影对比度,VA ECMO需要被留存。在此之前试图从病人身上关掉VA ECMO但导致心脏骤停。在CTA采集过程中,在心输出量减少的情况下任然可以保证充足的肺动脉造影及全身灌注,在注射造影剂时用18gauge于外肘前静脉给予1毫克肾上腺素同时停止VA ECMO。肺动脉CTA,使用双源图像以2.5的间距采集,以减少采集时间,从而限制VA ECMO时间。注射对比剂后,1秒的图像采集时间顺利重启VA ECMO。VA ECMO关闭的总时间大约是12秒(扫描时间为对比剂注射和图像采集过程之间的时间)。患者完成了研究,无并发症。
高螺距双源CTA技术通过提高时间分辨率的方式,以减少呼吸和心脏运动伪影。我们报告显示,VA ECMO必须保留以实现诊断性研究,同时需要快速图像采集以减少VA ECMO的时间,这样才能保证患者安全。1秒扫描技术有助于限制全身低灌注的持续时间以及减少对病人随之而来的风险。从这个扫描获得的诊断信息直接影响病人的治疗,并最终影响家属的决定,不再同意治疗。患者在手术后第12天死亡。
虽然较低的KV设置应该被应用于对比剂扫描,但为减少患者处于扫描野内胳膊的伪影,研究选择140千伏。结果,这样比标准的胸部常规扫描辐射剂量稍高(13.4mGy)。考虑到病人的体型和危急情况这个剂量还是比较合适的,且不影响图像质量。与ACR指南相比, [1]在美国这仍是一个比剂量参考水平(DRL),尤其是成人胸部CT扫描(21毫戈瑞),低得多的剂量值。

References
[1]CCR–AAPMPracticeparameterfordiagnosticreferencelevelsandachievable dosesinmedical x-rayimaging.

