来源:东南大学附属中大医院放射科
病例1
-
女,74岁 -
主诉:进食后腹胀呕吐1月 -
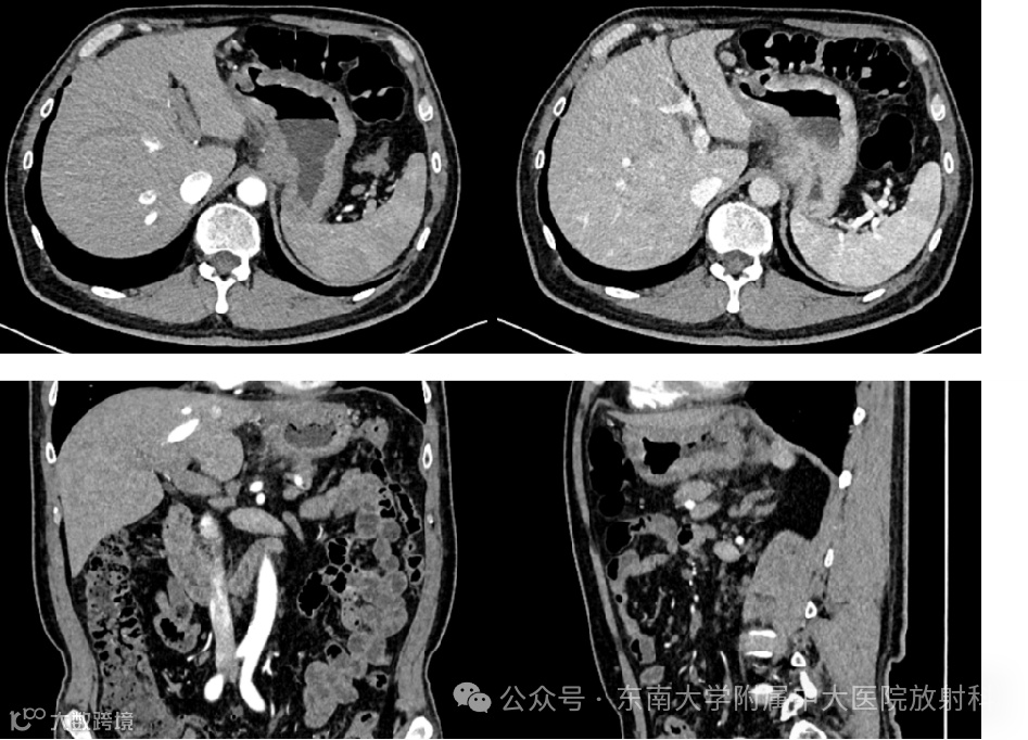
现病史:患者1月前无明显诱因下出现腹胀症状,稍进食即感腹胀,伴呕吐,呕吐物为胃内容物,无特殊臭味,未见胆汁。今日至我院就诊,完善胃镜检查示:胃腔内见大量黄色食物潴留,胃窦变形,胃窦似见一新生物,黏膜僵硬,表覆溃疡,因食物残渣覆盖,无法窥清。考虑诊断:1、胃潴留2、胃窦新生物?。现为求进一步诊疗,门诊拟“胃潴留”收住入院。病程中,患者神志清,精神可,饮食睡眠一般,二便正常,近期无体重明显变化
影像学检查



病例2
-
男,59岁 -
主诉:上腹腹痛腹胀7月 -
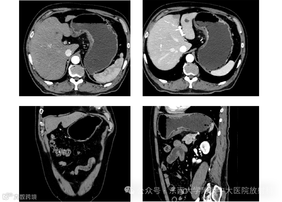
现病史:患者7月前进食后出现上腹腹痛腹胀,烧灼样刺痛,进食较快及进食多后,疼痛明显,未予重视。患者6月前腹痛明显,于当地医院就诊,予以“雷贝拉唑、铝镁片”等治疗,具体不详,服药后腹痛缓解。3个月前患者再次出现上腹腹痛,烧灼样刺痛,阵发性疼痛,进食后及夜间疼痛明显,自行口服“护胃”药物后无明显缓解,有恶心呕吐感,未吐,无畏寒发热,无胸闷胸痛,无呼吸困难等不适。于1月前于当地医院查胃镜提示:食管粘膜静脉瘤,食管粘膜下隆起性质待定,胃体溃疡浸润型Ca,慢性萎缩性胃炎C1,十二指肠降部粘膜隆起,活检病理提示:低分化腺癌。现患者为求进一步诊治,门诊以“胃恶性肿瘤”收治入院。病程中,患者一般情况可,食纳睡眠可,小便正常,大便颜色正常,约3天1次。近期体重减轻约1.5kg
影像学检查


病例3
男,64岁
主诉:上中腹痛1年,加重1月
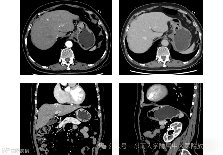
现病史:患者1年前出现上中腹部疼痛,饮酒后和饥饿时明显;1月前患者腹痛加重,进食后减轻,不伴腰背部放射痛,伴恶心呕吐,呕吐物为少量胃内容物。无发热寒战、无恶心呕吐、无呕血黑便,无胸闷胸痛,无腹胀。查胃镜提示:1.胃角溃疡(性质待定)2.慢性胃炎急性活动;黏膜活检标本(胃角溃疡):低分化腺癌。现患者为求进一步诊治至我科门诊,门诊拟“胃小弯恶性肿瘤”收住入院。病程中,患者神志清,精神可,食欲可,睡眠可,小便正常,近5年大便次数增加,3-4次/天,伴大便不成形,近期体重无明显改变
影像学检查


病例4
男,78岁
主诉:左上腹疼痛 1 月余
-
现病史:患者一月余前无明显诱因下出现左上腹烧灼样疼痛,伴反酸嗳气,休息后疼痛可缓解。无腹胀腹泻, 无排尿困难,无畏寒寒战,无呕血黑便,无咳嗽咳痰,无胸痛气喘,无胸闷心悸,无呼吸困难等不适。患者至天长市人民医院就诊,查胃镜(2024-05-21)示:胃体粘膜见一隆起性病变。病理(2024-05-23)示:中低分化腺癌,伴印戒细胞癌。患者为求进一步诊治,于我院就诊,拟“胃恶性肿瘤”收住我科。病程中,患者神志清, 精神可,食纳可,睡眠良好,大小便正常,近期体重无明显增减
影像学检查




























































·END·
精彩推荐:
力荐!医学影像专业必关注的8个公众号
全网最全的解剖图库,千万不要错过
300+神经、头颈系统超全影像文章汇总
全网最全头颅影像解剖学,不容错过(更新版)
全网最全大关节影像解剖,不容错过(更新版)
影像科急诊必备手册,必点收藏
脊柱、脊髓解剖及常见疾病汇总(41篇)
乳腺解剖及影像学检查详细汇总
心胸系统文章汇总(132篇)
全网最全全身X线高清图谱
更多精彩医学影像内容,尽在鼎湖影像
权威医学影像公众号,欢迎您的关注↓↓
↓↓ 欢迎进入鼎湖学堂





