

帽状腱膜下血肿多见于新生儿产伤。阴道自然顺产帽状腱膜下血肿的发生率为 0.4‰ ,负压吸引助产的发生率为 5.9‰ ,头皮牵引助产可损伤头皮与静脉窦之间的导静脉,从而导致帽状腱膜下血肿的发生。帽状腱膜下间隙的范围从前方的眶上缘,向后延伸到颈部后方,两侧到耳廓外侧的水平。帽状腱膜下间隙不受颅缝限制,因此大量出血可以在此聚集。血容量的大量丢失可导致休克及凝血障碍,死亡率为 14%。
新生儿期以后,创伤,特别是颅顶的骨折,仍然是帽状腱膜下血肿最常见的病因。自发性帽状腱膜下血肿罕见,但也有报告称凝血障碍(如维生素 K 缺乏、凝血因子不足、血管性血友病和急性髓系白血病等)可导致帽状腱膜下血肿;非创伤性帽状腱膜下血肿见于颞浅动脉动脉瘤。其他报告病例涉及儿童美发时头发被过度牵拉,如大力梳头发,辫子梳太紧,烫头发等。
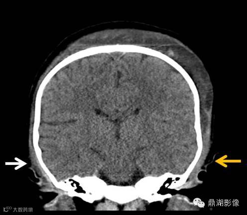
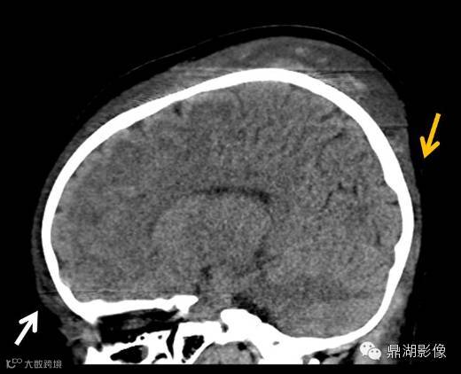
帽状腱膜下出血是颅骨骨膜与帽状腱膜之间的疏松结缔组织出血。大量出血可聚积于帽状腱膜下间隙,使新生儿和儿童潜在的死亡风险增高。梳头时过于用力可致儿童帽状腱膜下出血,早期病因识别可以避免不必要的临床评价和干预,并排除虐童的可能性。

