病史
18岁男性,腹痛,定位模糊,无直肠出血。
影像学检查





影像学描述
诊断
Meckel憩室炎 Meckel's diverticulitis
诊断点
典型的位置位于下腹部(少数盆腔内)中线附近(67%),尤其是肚脐附近是其典型位置,病变与肚脐关系密切尤其是可见纤维索相连高度提示为Meckel's 憩室炎。发生于回肠肠系膜对侧,距回盲瓣50-60cm以内。
为真性憩室,含有肠壁的所有结构,故可发炎,如此例所示。
成人2种主要并发症:憩室炎(20%)和小肠梗阻(40%)。
诊断:儿童:Technetium-99m,有症状成人:CT。
肠系膜炎性改变常较显著,表现为系膜密度增高及周围脂肪内条索状影,部分可伴腹水。
憩室壁常增厚,增强后绝大多数可见粘膜面强化。
文献病例
Meckel憩室钡餐:11岁女孩腹痛并贫血,回肠末端狭长Meckel憩室,背离肠系膜方向,可见较细的颈部(箭)

Meckel憩室炎三例
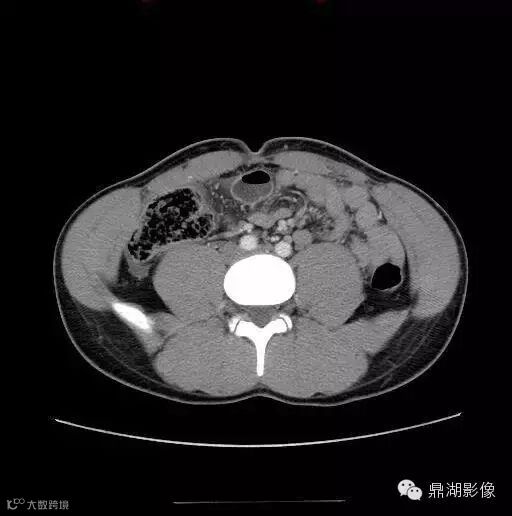
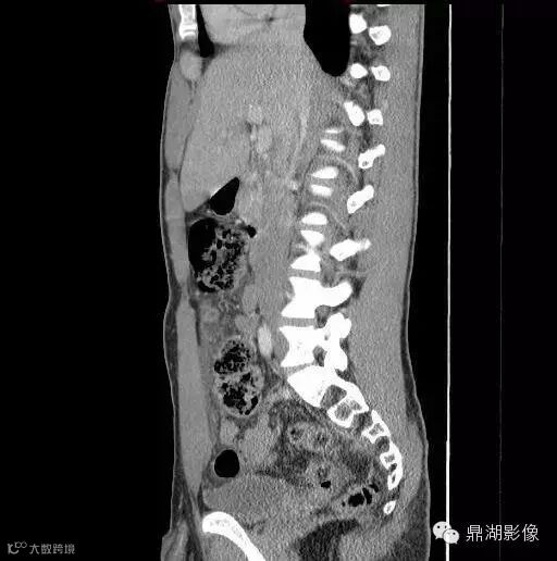
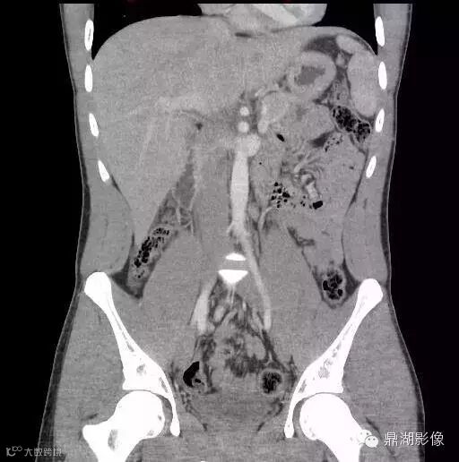
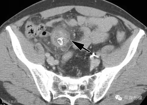
22岁男性,发热,大便潜血试验阳性,脐部下方见管状结构并环形强化(箭),周围可见炎性改变,邻近小肠壁增厚。

49岁男性,腹痛,恶心,呕吐,厌食。盆腔右侧可见圆形液体积聚(箭),内见钙化的肠石,邻近脂肪炎性改变。

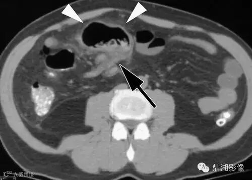
57岁男性,腹痛,可见圆形盲端结构(箭头)附着于邻近回肠,箭示附着部。

概述
Meckel's 憩室为位于远端回肠的系膜游离缘,为最常见的小肠先天性发育异常,占人口总数的2%,为圆形或管状盲端。

Meckel's 憩室组胚学:卵黄管于胚胎的第5-6周闭锁为实心的细胞索,卵黄囊也随之退化,退化后的残迹位于脐带中。如果胎儿出生时卵黄管未闭合,肠管的内容物便可通过此管从脐部流出,称为脐瘘。如果远端闭锁,近端与回肠相连的部分未闭锁,遗留一盲端,称为Meckel’s 憩室,有些憩室的游离端还保留纤维索与脐相连。如果两端均闭锁,但中间一段未闭锁,便在卵黄韧带中央留一囊泡,称为卵黄管囊肿。如果卵黄蒂虽已完全闭锁,但未消失,就会在回肠与脐间残留一纤维索,称为卵黄蒂韧带,常会导致肠扭转。Meckel's 憩室为真性憩室,壁为小肠壁,粘膜为小肠粘膜,可含有胃粘膜及胰腺组织。是最常见的卵黄管发育异常(98%)。如果纤维索没有完全吸收,在憩室和肚脐之间可遗留一纤维索。
鉴别诊断
Meckel’s 憩室炎临床上易误诊为阑尾炎。Meckel’s 憩室的发生没有性别倾向,但炎症好发于男性患者,儿童较成人多见。有症状的Meckel’s 憩室多见于10岁以前儿童(60%)。有学者报道,有症状者占25%,但20岁时占4%,40岁时占2%,老年人的发病率为0%。绝大多数在CT图像上可见正常阑尾,可以与阑尾炎鉴别。
位置是关键,因为阑尾炎均是与盲肠相连。
肠系膜淋巴腺炎。
肠脂垂炎。
本病例自auntminne,Drs. SethA提供
阅读原文有相关课件

