来源:东南大学附属中大医院放射科
病例
患者,男,57岁
主诉:右面部麻木伴记忆减退10月余,发现鞍区占位10月
-
现病史:患者 10 月余前无明显诱因出现右侧面部麻木感,伴有记忆力减退情况,至当地医院检查示鞍区占位,定期复查,未予特殊处理。双眼视物模糊,左侧较明显,无发热寒战,无言语功能障碍,无肢体感觉异常,无心慌胸闷,无腹痛腹胀。现患者为求进一步诊治至我院就诊,门诊拟“鞍区良性肿瘤”收住入院
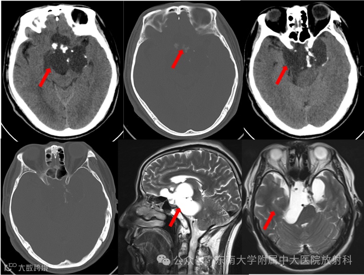
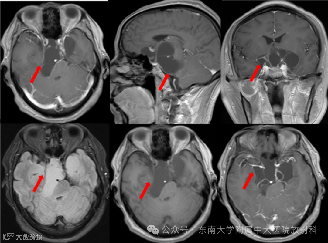
影像学表现

















































·END·
精彩推荐:
力荐!医学影像专业必关注的8个公众号
全网最全的解剖图库,千万不要错过
300+神经、头颈系统超全影像文章汇总
全网最全头颅影像解剖学,不容错过(更新版)
全网最全大关节影像解剖,不容错过(更新版)
影像科急诊必备手册,必点收藏
脊柱、脊髓解剖及常见疾病汇总(41篇)
乳腺解剖及影像学检查详细汇总
心胸系统文章汇总(132篇)
全网最全全身X线高清图谱
更多精彩医学影像内容,尽在鼎湖影像
权威医学影像公众号,欢迎您的关注↓↓
↓↓ 欢迎进入鼎湖学堂





