
临床资料
患者男,53岁,头痛、视乳头水肿伴双下肢无力。



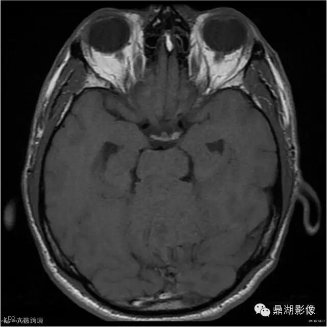
Axial T1WI

T1WI


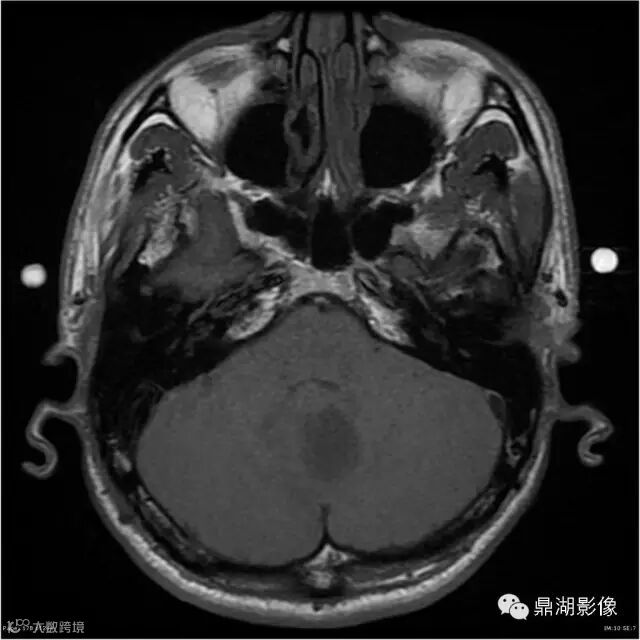
Axial T2WI


Axial FLAIR


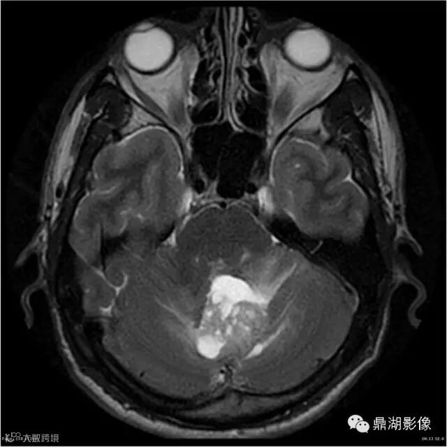
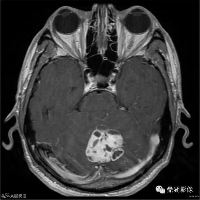
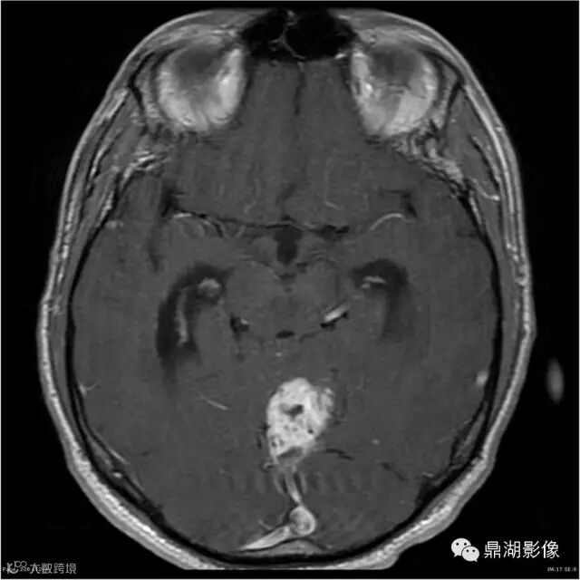
Axial C+



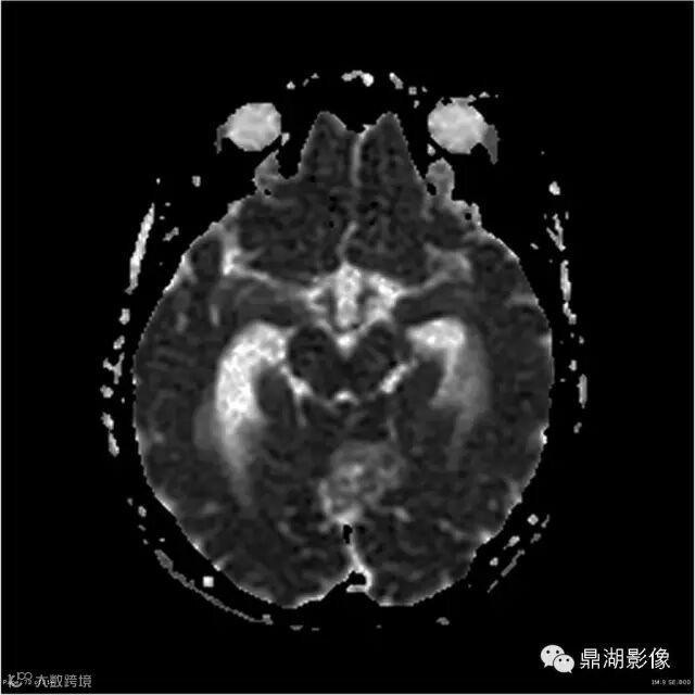
Axial ADC


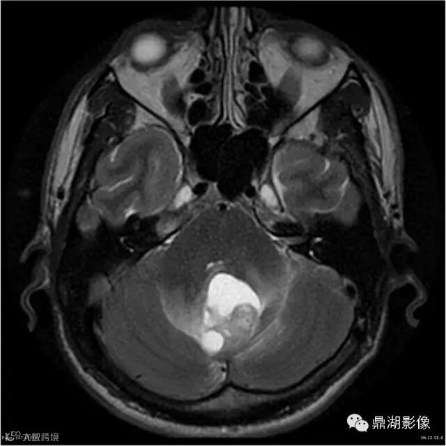
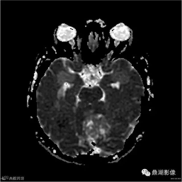
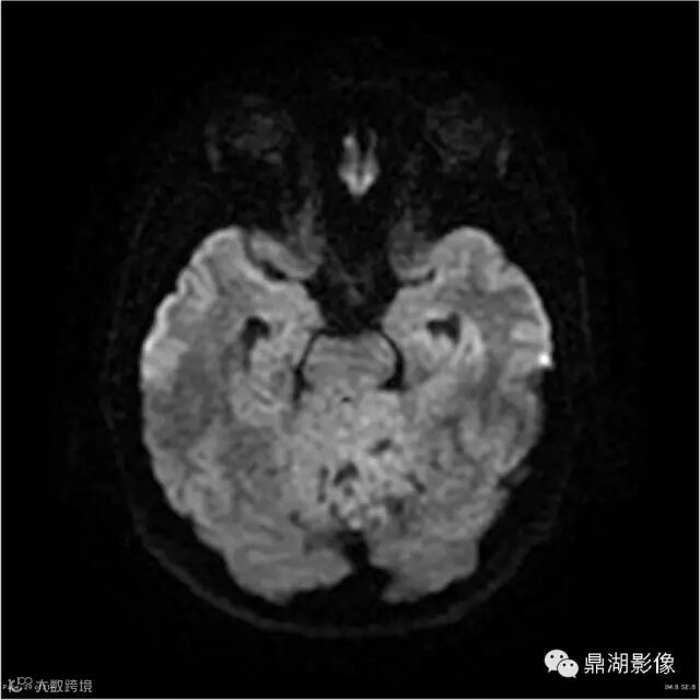
Axial DWI



Gradient Echo
影像:可见一个约43 x 36 x 31mm的从小脑蚓部延伸而来的占位,T1WI、T2WI呈高低混杂信号,病灶周边见流空血管影及水肿带,增强病灶明显强化,中心见无明显坏死区,它紧靠左小脑幕上。第四脑室受压变窄,室管膜水肿,可见脑桥及延脑扁桃体进入枕骨大孔。
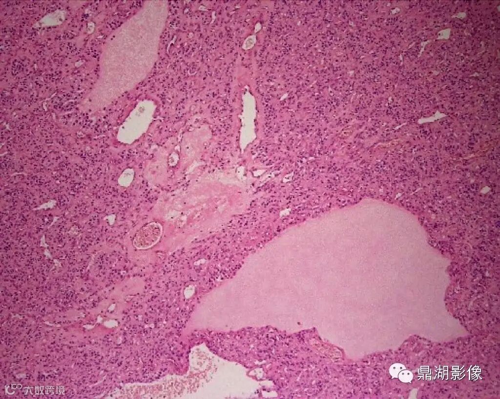
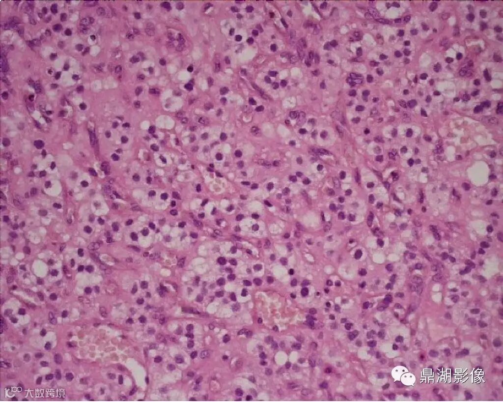
病理:肿瘤细胞形态聚集,深染。有丝分裂不明显。没有坏死。肿瘤细胞灶性抑制素阳性。CAM5.2(-)。


H&E染色

Aquaporin

Inhibin
诊断:血管母细胞瘤(WHO I级)
讨论
血管母细胞瘤(Hemangioblastoma)是一种具有丰富血供的良性肿瘤,是成人后颅窝较常见的肿瘤,占颅内肿瘤的2%、后颅窝肿瘤的7%至10%。好发于青壮年,平均发病年龄为30-40岁,男性多见( 男女发病比例约为1.3:1)。该病大部分时候为单发,但其中约20%至30%,与VHL疾病(一种家族性肿瘤综合征,为常染色体显性遗传)相关。VHL病的常见表现包括视网膜和中枢神经系统血管母细胞瘤,肾囊肿及肿瘤,嗜铬细胞瘤,胰腺神经内分泌肿瘤,内淋巴囊肿瘤,附睾乳头状囊腺瘤。本例未发现其他肿瘤,亦无相关肿瘤家族史。
血管母细胞瘤好发于小脑半球,其次为小脑蚓部及第四脑室底,偶见于脑干、桥脑小脑角、大脑半球和脊髓。可包含囊性或实性成分或者同时含有囊实性两种成分,故影像学上通常分为三型: 大囊小结节型,实质型占,单纯囊型,并且临床中以大囊小结节型多见,约占80%左右。
1、大囊小结节型:囊液呈大致均匀的长T1长T2信号,囊壁呈等T1等T2信号,而瘤结节呈等或稍长T1长T2信号,其内可见流空的血管影,瘤周水肿很轻或没有水肿。FLAIR上囊液呈等或稍高信号,瘤结节呈高信号,增强扫描瘤结节明显强化;
2、单纯囊性:比较少见。MRI平扫表现类似于单纯囊肿,囊内无壁结节,增强扫描部分病例囊周或远离囊肿部位可显示异常强化结节,这种异常强化结节在病理上与囊腔内瘤结节相同,是确诊的重要依据;
3、实质型:肿瘤在T1上呈不均匀等或稍低信号,T2上呈不均匀高信号,FLAIR上,肿瘤呈高信号,增强扫描肿瘤呈明显不均匀强化。实质型肿瘤MRI上在瘤内或瘤周可见呈点状、条状或蚯蚓状的血管流空影,这在诊断实质型血管母细胞瘤上具有一定的价值。
本例为一例实质性血管母细胞瘤。实性血管母细胞瘤CT平扫示病灶呈等或高密度,增强后可见明显强化。MRI平扫通常病灶很不均质,T1呈稍低信号为主的较混杂信号,T2呈等、高信号,DWI通常呈低信号或等信号。文献报道,实性血管母细胞瘤较典型的表现为瘤内及瘤周扩张的流空血管影,瘤周中、重度水肿。因此,小脑半球区的单发肿块伴流空血管影,周围大片水肿以及增强后肿块明显强化"形态规则"边界清楚,此时应将实性血管母细胞瘤考虑在内。
实性血管母细胞瘤须与脑膜瘤、淋巴瘤、室管膜瘤等鉴别;脑膜瘤,为脑外肿瘤,极少发生囊变,多数可见“脑膜尾征”,出血及坏死少见,瘤周水肿较轻;淋巴瘤,常位于深部脑组织,无血管流空影,DWI上呈高信号,文献报道,实性血管母细胞瘤 DWI( b=1000) 呈低信号有助于两者鉴别;室管膜瘤一般瘤周无蚓状流空的肿瘤供血动脉,增强时强化程度不及血管母细胞瘤。
获奖者:


快联系管理员,微信号:18500737778
参考文献 :
1.Wanebo JE, Lonser RR, Glenn GM, et al. The natural history of hemangioblastomas of the central nervous system in patients with von Hippel–Lindau disease. J Neurosurg, 2003,98(1):82-94
2. Hussein MR.Central nervous system capillary haemangioblastoma: the pathologist’s viewpoint. Int J Exp Pathol,2007,88:311
3 Lee SR, Sanches J, Mark AS, et al. Posterior fossa hemangioblastomas:MRimaging.Radiol -ogy 1989,171:463-468
4.RumboldtZ, Gnjidic Z, Talan-Hranilovic J, et al. Intrasellarhemangioblastoma:character -ristic prominent vessls on MR imaging. AJR,2003,180:1480
5.Yamashita Y, Kumabe T, Higano S, et al.Minimum apparent diffusion coefficient is significantly correlated with cellularity in medulloblastomas. Neurological Res,2009:31 

