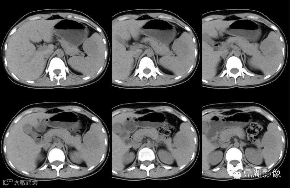
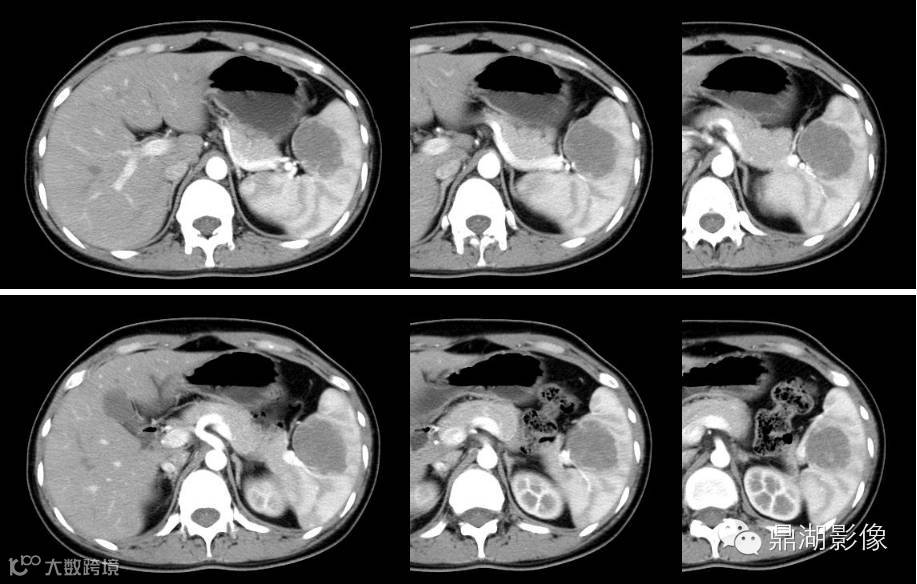
女,19岁,左上腹痛一周,查体无发热,体重为减轻,全腹未见腹部包块。以下为其CT平扫及增强扫描。

平扫

动脉期

门脉期

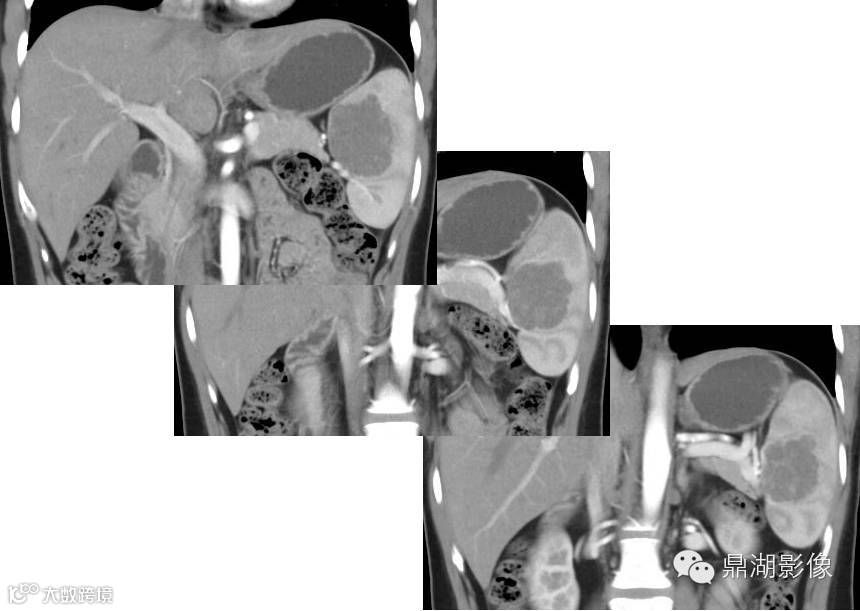
冠状位
增强扫描特点:动脉期肿块边缘点状及线条样强化,门脉期及延迟期强化渐向中部充填,与脾脏几成等密度,肿块显示渐缩小。是不是让你觉得很简单,但是答案是:
手术所见:脾脏颜色红润,质韧,与周围无粘连,脾门处可触及大小约4×4cm肿块,质硬
病理结果:脾脏炎性肌纤维母细胞瘤
炎性肌纤维母细胞瘤(炎症性肌纤维母细胞瘤),(inflammatory myofibroblastic tumor,IMT)2002年被WHO定义为"由分化的肌纤维母细胞性梭形细胞组成,常伴大量浆细胞和/或淋巴细胞的一种间叶性肿瘤" 。包括浆细胞肉芽肿、组织细胞瘤、纤维黄色瘤、炎性肌纤维组织细胞增生、黏液样错构瘤、假性淋巴瘤、炎性纤维肉瘤和炎性假瘤等,尤以后者常见。
炎性肌纤维母细胞瘤(IMT)习惯上称炎性假瘤,由于其内可有大量炎性细胞浸润,过去被误认为是一种炎症后的反应性增生,于是炎性假瘤成了最常用的代名词。随着研究的深入,人们发现病变中梭形细胞才是主要成分,而且该病有复发和转移的潜能,肿瘤细胞遗传学研究发现其有染色体的异常,支持这一病变为真性肿瘤,而并非炎性假瘤。也就是说,我们习惯上说的炎性假瘤其实并不是假瘤,而的的确确是一种真性肿瘤。
IMT主要由增生的纤维母细胞和肌纤维母细胞组成。肿瘤中散在大量炎症细胞,多为淋巴细胞、浆细胞,也有组织细胞及嗜酸性粒细胞、嗜中性粒细胞。可分成3种组织学亚型:1)粘液型:间质明显水肿及粘液样变,其间穿插梭形的肿瘤细胞。;2)梭形细胞密集型:瘤细胞常排列成人形或旋涡状,浆细胞穿插于梭形的肿瘤细胞之间,其他炎性细胞常聚集成团;3)纤维型:肿瘤细胞稀疏,在玻璃样变的胶原纤维之间有淋巴细胞和大量浆细胞浸润。
IMT内不同程度的纤维组织增生,炎性细胞浸润、凝固性坏死已经炎性过程中的动态变化是其影像表现多样性的病理基础。发生于肺内的IMT为单发病灶,多位于肺外周胸膜下,位于邻近胸膜肺组织内,病变边界较清楚,可伴肺不张,密度均匀,病程较长,抗炎治疗复查CT,肿块有缩小趋势。肌纤维母细胞瘤的增强扫描呈均匀或不均匀中度至显著强化,无明显特异性表现。CT扫描呈软组织密度肿块,增强扫描呈均匀或不均匀轻、中度甚至显著强化。之所以出现如此复杂的增强现象,主要是由于组织结构内血管成分不同以及组织成分的不同可出现高度均匀强化、肿块周围强化或肿块无强化,其中肿块高度均匀强化及周围增强程度高于中心部是这种病变较为特征性的表现。

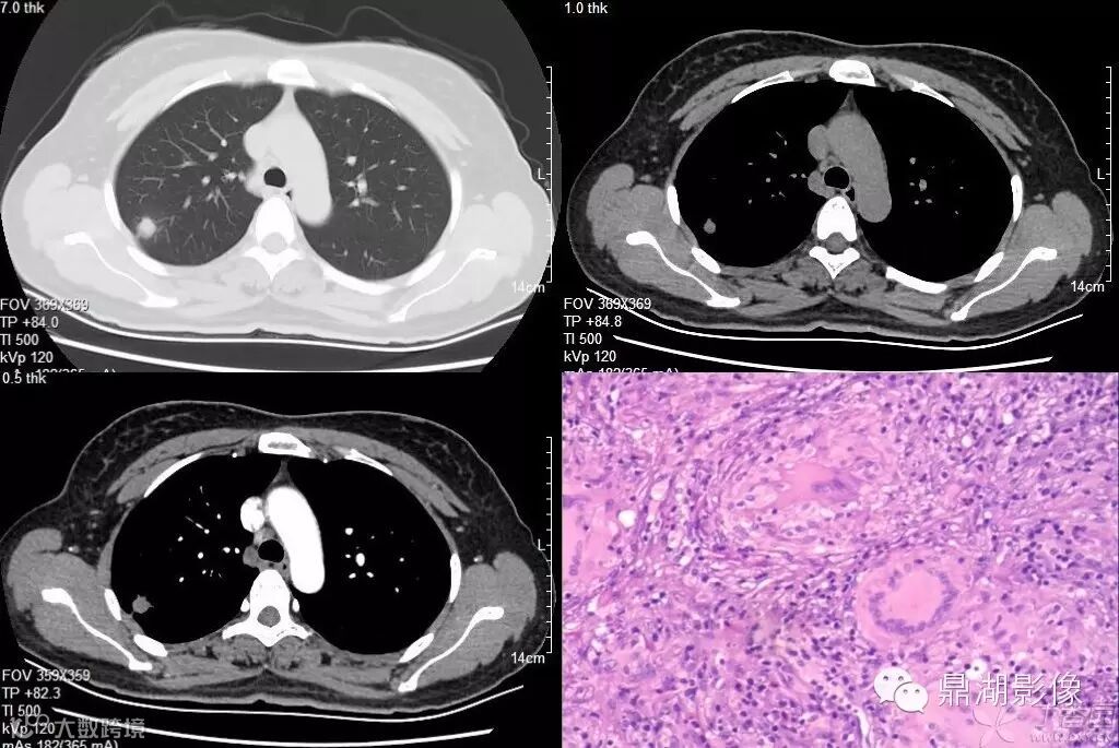
这是一例肺脏的炎性肌纤维母细胞瘤,病灶强化不明显(此图源于丁香园:蓝色宝贝)
希望大家有所收获,如果有什么疑问可以留言,我们会一一回复。
·END·
专注影像原创


