
病史
13岁,棒球投手,述近6月来右肘关节疼痛。
影像资料

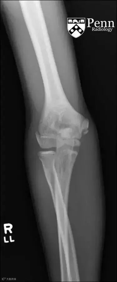
右肘关节正位X线片


检查所示


平片:肱骨内上髁骨骺板增宽、分离,但无撕脱。
MRI:肱骨内上髁可见长T1长T2信号,骨骺板增宽。
诊断
肱骨内上髁炎(Medialepicondyle apophysitis)
讨论
1.儿童在体育活动时因体位急剧变化,应力增加易于导致急性或慢性损伤。
2.肱骨内上髁炎,亦称少棒肘,为青少年棒球爱好者慢性过度应用导致的损伤。指手肘内侧的肌腱发炎疼痛。疼痛的产生是由于负责手腕及手指背向伸展的肌肉重复用力而引起的。日积月累,对肘关节内侧部分的重复应力导致骨骺板增宽,内上髁骨水肿、分离,与急性内上髁撕脱相比,属于慢性过程。
3.病史和体格检查对诊断很关键,损伤的时间和机理,疼痛的部位、症状为诊断的关键因素。平片上肱骨内上髁炎表现为一系列征象:肱骨内上髁透亮线、分离或硬化,骨骺板增宽。MRI肱骨内上髁可见长T1长T2信号影,骨骺板增宽,有时同时可见屈肌总腱的T2信号增高。
4.治疗相对简单,主要为制动和对症治疗。
昨日因为操作失误,没能把音频上传,十分抱歉,今日补上音频。


