英国奥运历史上最伟大的运动员之一,48岁的自行车名将克里斯·霍伊,日前透露自己罹患前列腺癌晚期,癌细胞已扩散至骨骼,只剩下2年至4年寿命。

前列腺癌PET/MR的临床应用
及相关放射性示踪剂简单介绍
前列腺癌作为男性最为常见的恶性肿瘤之一。鉴于多参数MRI在探查前列腺内病变以及判别前列腺外侵袭和精囊侵袭方面的卓越能力,其已然成为用于前列腺癌分期的首选检查手段。当下,尚不存在广泛使用且获批用于高危前列腺癌初始分期的PET显像剂。NCCN指南建议在肿瘤复发时使用(18F)–fluciclovine、(11C) -choline PET/CT 或PET/MRI(图1)进行重新分期,与单纯使用常规成像相比,这些检查能更好地显示复发性疾病。鉴于(11C) -choline的半衰期仅为20分钟,且需现场配备回旋加速器,故而在其使用方面受到限制。

图1. 一名74岁前列腺癌男性的前列腺区域同步11C-胆碱PET/MRI图像。
(a) PET、(b) T2WI、(c) DWI、b值1000、(d) ADC、(e) DCE、(f) Ktrans、(g) Kep 和(h) DCE 得出的iAUC图显示肿瘤侵袭左侧肛提肌(小箭)和左侧原发肿瘤大面积前列腺外扩散(箭头)以及骶骨骨转移(大箭)。PET/MRI上还显示肝转移(未显示),临床分期为T4N0M1c。
当下存在诸多涵盖68Ga与18F的PSMA靶向药物正处于研发进程之中,旨在进行初步分期以及评估生化复发状况。不管选用何种示踪剂,对于前列腺癌而言,PET/MRI均具备独特优势,因为从检查的每个部分获得的信息具有协同作用,进而使得对所发现疾病的特征显示以及对腹盆腔小体积疾病的侦测更为精准。
前列腺MRI检查可采用双参数MRI或多参数MRI方法进行,具体取决于临床情况。对于初始分期,当结合全身PET/MRI时,双参数MRI可能提供足够的信息。通常采用动态增强T1加权MRI序列来检测和分析前列腺内的病变。动态增强T1加权MRI序列是检测复发性前列腺癌的关键序列,应包括在所有的生化复发病例中。
18F-Fluciclovine PET/MRI
一些研究已经评估了fluciclovine和PSMA放射性示踪剂在初始分期中的PET/MRI应用(图2)。关于fluciclovine PET/MRI的研究显示,与单独使用MRI或PET相比,PET/MRI可以提高对高危前列腺癌的检出和定性,对淋巴结转移的特异性高,并有助于指导靶向活检。使用fluciclovine的一个已知局限性是其在良性前列腺组织中的摄取,包括良性前列腺增生,这限制了在PET/CT上对该腺体的恶性病变的检测。这一局限性可以通过使用PET/MRI来克服,因为PET/MRI能够更好地区分良性前列腺增生结节与恶性前列腺病变。

图2. 一位67岁男性的前列腺癌术前18F-Fluciclovine PET/MRI图(pT3b,Gleason评分4+5,45个淋巴结中28个有转移灶)。
PET(左)和PET/MRI(右)的冠状最大强度投影显示几个淋巴结转移灶(箭头)。注意患者原发肿瘤(箭)对应的前列腺内的活性。
68Ga-PSMA-11 PET/MRI
一项关于PSMA PET/MRI初始分期的研究发现,其N1期疾病分期准确率为93%,肿瘤分期准确率较高。总体而言,PET/MRI能够更好地识别前列腺病变,使用双参数或多参数MRI进行全面的局部区域分期,并使用PET放射性示踪剂在初始分期时提高对小体积转移性疾病的检测率(图3)。因此,PET/MRI为前列腺癌患者提供了独特的优势,未来它可能成为前列腺癌高风险患者初始分期的首选成像方式。

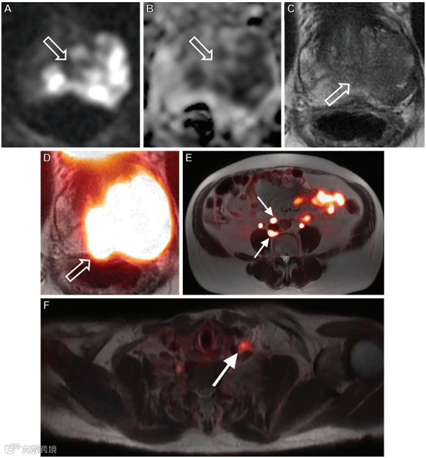
图3. 一位65岁的男性患者,新近被诊断出Gleason 4+4级前列腺癌,应用68Ga-PSMA-11 PET/MRI对其进行初始分期。
轴位高b值扩散加权成像(A)、表观扩散系数成像(B)、T2加权(C)、融合PET/MR(D)图像显示一个大的前列腺内肿瘤(箭头)占据腺体左侧的大部分。(E,F)额外的轴位融合PET/MRI图像显示在腹膜后和左锁骨上窝有大量亚厘米淋巴结转移(箭头)。
大量的数据支持在前列腺癌生物化学复发的情况下使用Fluciclovine和PSMA放射性示踪剂,因为使用这两种示踪剂进行成像优于传统的解剖成像。由于肠道中的放射性示踪剂活动和软组织识别能力差,非对比剂PET/CT在盆腔(尤其是前列腺切除部位、尿道-膀胱吻合口和膀胱周围)的PET活性特征识别具有挑战性。利用PET/MRI,可以在PET和多参数MR图像上查询常见复发区域,以提高疾病检测的灵敏度并准确描述和定位骨盆活动(图4)。

图4. 一名69岁男性的Fluciclovine PET/MRI。该患者5年前因Gleason 4+3级前列腺癌行前列腺切除术,近期血清前列腺特异性抗原(PSA)水平升高(最新值为2.1纳克/毫升)。进行Fluciclovine PET/MRI检查以评估生化复发情况并制定治疗方案。
(A、B) 轴向T2加权MR图像显示左侧前列腺切除床存在不对称的T2低信号(A中箭头所示),左侧髂总淋巴结(B中箭头所示)直径小于1厘米。
(C、D)在融合的PET/MR图像上,两个病灶(箭头所示)均显示Fluciclovine活性,与前列腺癌相符。
重点小结
① PET/MRI为前列腺癌患者提供了独特的优势,未来它可能成为高风险前列腺癌患者初始分期的首选成像方法。
② 无论选择哪种放射性示踪剂,在前列腺癌病例中,PET/MRI都具有特别明显的优势,因为来自每个检查部分的信息是协同的,这使得对发现的特征描述更加准确,并提高了在腹盆腔区域检测小体积疾病的能力。
1. Galgano, SJ, Calderone, CE, Xie, C, et al. Applications of PET/MRI in Abdominopelvic Oncology. RADIOGRAPHICS. 2021; 41 (6): 1750-1765. doi: 10.1148/rg.2021210035
2. Selnæs, KM, Krüger-Stokke, B, Elschot, M, et al. 18F-Fluciclovine PET/MRI for preoperative lymph node staging in high-risk prostate cancer patients. EUR RADIOL. 2018; 28 (8): 3151-3159. doi: 10.1007/s00330-017-5213-1
3. Tseng, JR, Yang, LY, Lin, YC, et al. Metabolic Volumetric Parameters in 11C-Choline PET/MR Are Superior PET Imaging Biomarkers for Primary High-Risk Prostate Cancer. CONTRAST MEDIA MOL I. 2018; 2018 8945130. doi: 10.1155/2018/8945130
·END·
精彩推荐:
力荐!医学影像专业必关注的8个公众号
全网最全的解剖图库,千万不要错过
300+神经、头颈系统超全影像文章汇总
全网最全头颅影像解剖学,不容错过(更新版)
全网最全大关节影像解剖,不容错过(更新版)
影像科急诊必备手册,必点收藏
脊柱、脊髓解剖及常见疾病汇总(41篇)
乳腺解剖及影像学检查详细汇总
心胸系统文章汇总(132篇)
全网最全全身X线高清图谱
更多精彩医学影像内容,尽在鼎湖影像
权威医学影像公众号,欢迎您的关注↓↓
↓↓ 欢迎进入鼎湖学堂





