本文3932个字,14幅图片,2篇参考文献,5篇相关文章,建议阅读时间15分钟。
对于数字化的影像成像技术来说,无论是X线、CT、还是MRI,甚至是超声,都可能产生伪影。所谓的伪影就是和我们成像组织不相关的,但是又反映在图像中的影像。
伪影最大的麻烦是遮挡我们感兴趣的组织,干扰我们的诊断,造成误判。所以正确地识别和解决伪影非常重要。注:懋式百科全书原创文章并未在搜狐、网易、新浪、趣头条、360个人图书馆、百家号、东方头条发表,也未授权他们转载,如果读者发现很大可能性是机器自动抓取或者人工搬运,也就是说如果这些平台有同样的文章,就是未经授权的非法盗取,如果发现请举报。
本期介绍一个特殊的伪影,可能这个名字大家很少听过,就是:反弹(跳)点伪影。这个是我中文翻译的,实际上英文称呼叫做bounce-point artifact或者opposed magnetization artifact。
搜索这几个关键词,文献非常少。

搜索相关词,找到的文献只有1986年的一个远古文献。其他讲反向信号抵消的伪影大部分是同反的勾边伪影和化学位移伪影。
所以在讲反弹点伪影之前,先给大家复习简单的。化学位移伪影和同反序列反相位的勾边伪影大家熟悉吧。
前文链接:
我们先来看看同反相位的勾边伪影是怎么产生的。实际上就是在一个体素内水中的氢质子和脂肪组织中的氢质子相位相反,相互之间抵消,导致信号下降,区域产生信号丢失。

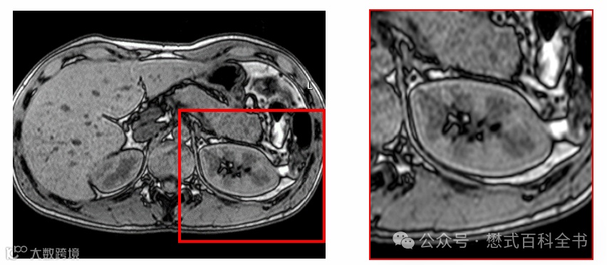
图3:双回波同反相位,反相位产生的勾边伪影
对于双回波同反相位,如果两个回波时间刚好对应水脂的同相位和反相位。
前文链接:同反序列原理及临床应用
假设一个体素内既含有水,又有脂肪组织。在同相位,产生的MRI信号是水中的氢质子和脂肪组织中氢质子之和。


图4、5:同相位,水脂相位一致,体素内有信号
假设一个体素内既含有水,又有脂肪组织。在反相位,由于水中的氢质子和脂肪组织中氢质子相位相差180°,刚好相反,相位抵消,则累计的MRI信号刚好抵消(即使没有完全抵消,综合的信号也非常小,大大降低)。该体素表现为信号丢失,反应为没MRI信号的黑色(黑带)。


图5、6:反相位,水脂相位抵消,体素内信号下降或者丢失
假设一个体素内既含有水,又有脂肪组织。在反相位,由于水中的氢质子和脂肪组织中氢质子相位相差180°,刚好相反,相位抵消,则累计的MRI信号刚好抵。
勾边伪影是大家非常熟悉的,其原理大家也很熟悉,理解了勾边伪影,我们下面开始讲反弹点伪影。
实际上反弹点伪影也是一种相位抵消导致的信号丢失的类似勾边伪影的特殊情况。
phase cancellation of the MR signals in boundary pixels
在梯度回波序列中,由于没有重聚脉冲纠正,则采集信号的时候不同时刻(TE),水和脂肪的相位可能不同。而自旋回波序列SE或者TSE/FSE序列,由于有重聚脉冲,要做到要使一个体素内水、脂相位不同相对比较难。
那么怎么使得一个体素内不同组织信号相互抵消呢?
有一种方法,则是采用IR序列。IR序列是反转恢复序列,先施加一个180°反转脉冲形成一个磁化准备。
前文链接:精讲反转恢复序列
临床中最经典的反转恢复序列是抑制脂肪的STIR和抑制脑脊液的FLAIR。

图7:IR序列的临床应用
在反转恢复序列中,一般采用模图重建,也就是只重建磁化矢量的绝对值大小。只要这种组织不是刚好在零点(null point)则有信号强度。
假设一个IR序列,当取一个反转时间(TI)的时候,一个体素内存在两种组织。

图8:反弹点伪影示意图
如图8所示,一个体素内存在两种组织,一种组织的T1值小一点(绿色),一种组织的T1值大一点(蓝色)。180°反转脉冲以后,经过一个合适的TI,绿色组织和蓝色组织的磁化矢量大小一样,但是其相位不同。绿色组织T1值小,已经恢复到正方向,磁化矢量是正的;蓝色组织T1值大,还没有过零,磁化矢量是负的。
这样该体素的信号强度则是绿色组织和蓝色组织的信号强度之后,由于两则磁化矢量方向(相位)不同,刚好信号抵消,表现为信号丢失。这种表现类似于勾边伪影。

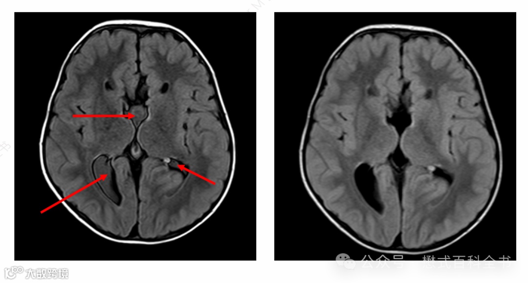
图9:T1-FLAIR(T1-IR)序列可见反弹点伪影[2]
这种伪影的表现,有时候很像是TI设置不合理导致的液体信号抑制不彻底。如同T2-FLAIR序列一样。

图10:T2-FLAIR中TI设置不合理导致脑脊液勾边
前文链接:磁共振参数的故事(二十九)——如何优化T2-FLAIR
该伪影的英文描述bounce,反弹、反跳,类似于IR序列,如果重建的是模图,则无论组织在零点上还是下,都计算绝对值,曲线是会弹回来的。


图11、12:IR序列只接收信号的模数,即只考虑在纵向上的绝对值,不考虑正负(相位方向)
讲到这里,大家理解了反弹点伪影的原理。出现这个伪影,主要和TI设置(刚好在一个体素内两种组织的反弹点)有关。
实际上只要是IR相关序列,采用模图重建,都可能产生反弹点伪影。
常见的IR序列模图重建的有:T2-FLAIR、T1-IR、STIR、MP-RAGE等。
那么要解决这个伪影有没有办法呢?当然有:
其一,出现了伪影之后,重新设置TI;
其二,IR序列采用实图重建。
前文链接:磁共振图像的背景颜色——模图和实图

图13:IR序列实图重建
采用实图重建之后,就没有所谓的反弹现象了。即使在零点(null point),信号也不是黑色的,而是灰色的,因为磁化矢量如果在负方向,其信号强度才是最低的。

图14:IR序列实图重建图像
IR序列实图重建一个显著的特点就是,背景是灰色的,因为此时信号强度为0反而不是最低值,还有负值(类似大家可以这样理解)。而且实图重建的对比度更好。
如果采用模图,即只考虑信号的绝对值大小。在这种情况下,要得到比较良好的T1对比,应用稍微把TI(反转恢复斯基)延长,以便使大部分组织都拥有正向的宏观磁化矢量。如果TI设置得不合理,某些组织表现为正的宏观磁化矢量;有些组织表现为负的宏观磁化矢量。而恰好如果两者的大小(绝对值)相同,则无法区分两种组织。
采用模图,TI设置不合适,除了对比度无法体现,还会产生反弹点伪影。
那么是不是以后所有IR序列都用实图重建呢?对比度又好,又不会产生反弹点伪影。
实际上不是的,因为采用实图重建,也会产生一些问题。
如果大家留心观察,可以发现很多时候,实图虽然对比度好,但是在血管周围或者颅颈交界部分,容易出现勾边或者一些类似ghost的伪影。而采用模图则不会。这种伪影和实图有什么关系呢?
采用实图重建的话,不仅接收信号的大小,还接收相位。在磁敏感变化大的区域或者主磁场不是太均匀的区域,则相位差异可能由于均匀性的因素,不一定是180°,造成相位错误的累积,形成伪影。

图15:IR序列实图
如图15,IR序列采用实图重建,背景是灰色的。虽然不会产生反弹点伪影,但是注意看颈部,还是有些相位错误导致的小伪影。
本期内容给大家介绍了一下反弹点伪影,实际上这个伪影只会出现在特定的序列(IR序列模图重建),特定的条件(TI设置刚好位于一个体素不同组织的反弹点)。
这个伪影的名称大家很陌生,但是临床扫描偶尔出现,希望大家识别。
参考文献:
-
Hearshen DO, Ellis JH, Carson PL, Shreve P, Aisen AM. Boundary effects from opposed magnetization artifact in IR images [J]. Radiology, 1986 Aug; 160 (2): 543-7. https://mriquestions.com/ir-bounce-point.html
·END·
精彩推荐:
力荐!医学影像专业必关注的8个公众号
全网最全的解剖图库,千万不要错过 300+神经、头颈系统超全影像文章汇总
全网最全头颅影像解剖学,不容错过(更新版) 全网最全大关节影像解剖,不容错过(更新版) 影像科急诊必备手册,必点收藏 脊柱、脊髓解剖及常见疾病汇总(41篇) 乳腺解剖及影像学检查详细汇总 心胸系统文章汇总(132篇) 全网最全全身X线高清图谱
![]()
更多精彩医学影像内容,尽在鼎湖影像 权威医学影像公众号,欢迎您的关注↓↓
↓↓ 欢迎进入鼎湖学堂





