来源:东南大学附属中大医院放射科
病例1
-
女,56岁 -
主诉:腹痛1月余 -
现病史:患者一月余前无明显诱因出现右上腹痛,伴有全身肌肉酸痛,自觉发热,体温未测,自行口服“白加黑”后全身酸痛好转,腹痛改善不明显,后口服“甲硝唑片”,腹痛稍有改善,深呼吸时加重,偶有头痛,食欲下降,遂至外院住院治疗,住院期间未予特殊治疗。现患者仍有上腹部疼痛,较前稍缓解,为进一步诊治来我院。患者无畏寒发热,无体重消瘦,否认“肝炎”、“结核”、“伤寒”等传染病史 -
实验室检查: 
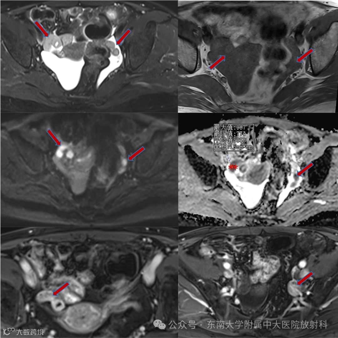
影像学表现



病例2
-
女,27岁 -
主诉:腹胀1周 -
现病史:1周前自觉腹胀,有恶心,无明显腹痛呕吐,无异常阴道出血,无腹泻便秘等,于外院就诊查CA125:791.8U/ml,左侧卵巢内见一19*18mm液性暗区,腹盆腔见深约65mm液性暗区。遂住院于腹腔穿刺,每日约1000ml左右,淡黄色,腹水脱落细胞可见淋巴细胞。今为求进一步诊治来我院就诊
影像学表现










































·END·
精彩推荐:
力荐!医学影像专业必关注的8个公众号
全网最全的解剖图库,千万不要错过
300+神经、头颈系统超全影像文章汇总
全网最全头颅影像解剖学,不容错过(更新版)
全网最全大关节影像解剖,不容错过(更新版)
影像科急诊必备手册,必点收藏
脊柱、脊髓解剖及常见疾病汇总(41篇)
乳腺解剖及影像学检查详细汇总
心胸系统文章汇总(132篇)
全网最全全身X线高清图谱
更多精彩医学影像内容,尽在鼎湖影像
权威医学影像公众号,欢迎您的关注↓↓
↓↓ 欢迎进入鼎湖学堂





