急性肺栓塞(PE)是一种危及生命的疾病,快速、准确的诊断对于减少死亡率至关重要。多排CT肺动脉造影(CTPA)是怀疑PE患者的首选影像学检查方法。CTPA能够清晰显示肺血管内的血栓至亚段肺动脉水平,在多项前瞻性研究中被证实具有较高的敏感性(96-100%)和特异性(97-98%)。为了在尽量低的辐射剂量下获得高质量的CTPA成像,加拿大胸部放射学会和加拿大放射学会在其2022年指南中推荐,使用至少16排探测器(更推荐64排或以上)进行CTPA扫描。随着硬件和后处理技术的发展,辐射剂量已显著降低,同时保持了图像质量。
多排CTPA的技术优势
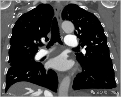
多排CTPA是怀疑PE患者的标准检查手段。通过优化扫描参数,CTPA可获得高质量的影像,并减少辐射剂量和对比剂的使用。多排探测器CTPA采用薄准直扫描及薄层重建(1.25mm或以下),并通过单次吸气屏气进行图像采集。研究表明,使用大螺距、低管电压(kV)、低对比剂量和快速采集的大螺距CTPA扫描在非肥胖患者中可以提供足够的诊断质量。
对比研究显示,大螺距双源CTPA方案(使用20 mL对比剂,扫描时间<1秒,无需呼吸指令)在图像质量上虽逊于“标准”CTPA方案,但图像质量足够诊断需求,有效剂量也显著低于常规CTPA(1.04 mSv vs. 1.49 mSv)。文献报道的多排CTPA的有效辐射剂量范围为1.2至6.4 mSv。此外,CTPA对胎儿的辐射暴露较低,且在妊娠期患者中应用安全。
CTPA还能检测亚段肺动脉内的充盈缺损,但对于孤立性亚段PE的临床意义和是否需要抗凝治疗仍存在争议。目前正在进行的SAFE-SSPE试验旨在评估如何管理孤立性亚段PE的低风险患者。此外,通过测量右心室(RV)和左心室(LV)的比率等参数,CTPA还可进行PE患者的风险分层评估,从而提供对急性PE预后及慢性血栓栓塞性肺动脉高压(CTEPH)的早期检测。
更多内容参见XI区:急性肺栓塞CTA:最佳实践。
双能量CT和CTPA灌注成像
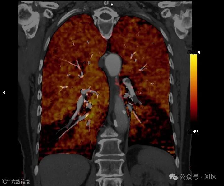
双能量CT(DECT)通过两种不同的X射线光子能谱来描绘组织的衰减特性,从而获取比单能量CT更丰富的物质组成信息。DECT生成的虚拟单色图像可用于提高对比噪声比并减少PE评估中的对比剂需求。DECT碘分布图可用于评价灌注缺损,研究显示其能够检测到CTPA上未见的额外段或亚段PE。 (更多内容参见XI区:双能量CT在肺栓塞中的应用) 。
此外,减影CT也是一种评估CTPA灌注的手段,通过从对比增强图像中减去预先采集的无增强图像来生成运动校正的碘分布图。加上碘图后,CTPA可更好地直观显示肺灌注,在一项研究中显示与DECT碘图相比,减影CT碘图在特异性上有小幅提升。然而,减影CT碘图的临床应用价值可能有限,且大规模前瞻性研究仍需进一步探索其在诊疗中的作用。
双源CT肺栓塞双能量评估
光子计数CT(PCCT)
光子计数CT(PCCT)作为一种新兴CT技术,采用能量分辨的光子计数探测器(PCD),与传统的能量积分探测器(EID)相比,PCD能够识别不同能量的单个光子。PCCT具有提高空间分辨率、减少噪声、增强对比度并降低辐射剂量的潜力,还允许使用替代对比剂。在一项临床研究中,PCCT在图像质量和辐射剂量方面优于传统的192排双能量CT(EID)扫描仪(1.4 mSv vs. 3.3 mSv),并减少了对比剂的用量。未来需进一步的前瞻性研究来验证PCCT的潜力。(更多关于PCCT的内容参见XI区:光子计数CT丨发展简史,物理原理与临床优势)
慢性血栓栓塞性肺动脉高压(CTEPH)PCCT成像
在PE诊断中,CTPA已成为标准手段,并随着技术进步不断优化。多排CTPA、PCCT和DECT在图像质量、辐射剂量和对比剂需求方面的改善推动了PE影像学的发展。人工智能的引入以及碘分布图和减影CT的辅助应用,为PE的准确诊断提供了新的可能性。未来的研究应进一步验证这些新技术在临床实践中的应用价值和可行性。
文献原文:de Jong CMM, Kroft LJM, van Mens TE, Huisman MV, Stöger JL, Klok FA. Modern imaging of acute pulmonary embolism. Thromb Res. 2024 Jun;238:105-116. doi: 10.1016/j.thromres.2024.04.016.仅供专业人士交流目的,不用于商业用途。
·END·
精彩推荐:
力荐!医学影像专业必关注的8个公众号
全网最全的解剖图库,千万不要错过 300+神经、头颈系统超全影像文章汇总
全网最全头颅影像解剖学,不容错过(更新版) 全网最全大关节影像解剖,不容错过(更新版) 影像科急诊必备手册,必点收藏 脊柱、脊髓解剖及常见疾病汇总(41篇) 乳腺解剖及影像学检查详细汇总 心胸系统文章汇总(132篇) 全网最全全身X线高清图谱
![]()
更多精彩医学影像内容,尽在鼎湖影像 权威医学影像公众号,欢迎您的关注↓↓
↓↓ 欢迎进入鼎湖学堂





