最新第9版肺癌TNM(TNM-9)分期将于2025年1月正式启用。相比2017年正式启用的第8版,最新版本做出了新的调整。
在TNM-9中,N2类别包括同侧纵隔和/或隆突下淋巴结的转移。在TNM-9中,N2类别被分为单站(N2a)和多站(N2b)两种类型。
新的N2子集是根据国际肺癌研究协会(IASLC)淋巴结站点的数量,而不是淋巴结的数量来划分的,因为淋巴结计数不可靠。
在TNM-9中,多发胸外转移病变(M1c)被分为单一器官系统(M1c1)和多器官系统(M1c2)两种子类别。
对于放射科医生来说,识别具有磨玻璃特征的多灶性肺腺癌非常重要,因为其分期和患者治疗方法与肺部转移病不同。
肺癌仍然是全球癌症相关死亡的主要原因。精确的分期对制定成功的治疗方案和改善患者预后至关重要。传统上,肺癌分期依赖于TNM分期系统,国际肺癌研究协会(IASLC)最近建议对其进行修改。根据对新建立的国际肺癌病例大数据库的深入分析,更新后的TNM分期系统(TNM-9)将于2025年1月生效。TNM-9的建议变动包括以下内容:(a)纵隔淋巴结类别(N2)被分为单站(N2a)和多站(N2b)子类别;(b)多发胸外转移病变(M1c)被分为单一器官系统(M1c1)和多器官系统(M1c2)子类别。理解TNM-9所引入的基本变化,有助于放射科医生精确地确定肺癌的临床分期,并改善治疗方法。
分期系统通过T(原发肿瘤的范围)、N(区域淋巴结的受累情况)和M(远处转移的病变)来描述肿瘤的范围。指导原则是,任何对该系统的修订不仅应基于统计学上显著的结果数据,还应具有临床意义,同时不使TNM系统过于复杂,以便使该系统能够在全球范围内应用。该系统的临床分期,用“c”前缀标记(c期或cTNM),包括在治疗开始之前反映肿瘤解剖范围的所有可用信息。临床分期在很大程度上依赖于影像学,但不仅限于影像学检查。由于影像学是临床分期的主要组成部分,因此熟悉分期更新中的细微差别和临床意义对于提供详细而简明有效的解读至关重要。病理分期,用“p”前缀标记(p期或pTNM),包括所有来自手术切除中的可用信息,辅以临床分期中所有可用的信息。
今日鼎湖影像将率先展示第9版肺癌TNM分期的定义,辅之以代表性图片,以便影像科医生照方抓药。
第9版TNM分期中对肺癌T分期未做出调整,与第8版一致。

图1. 三例T1期肺癌患者。
(A)76岁男性的轴位非增强胸部CT图像(肺窗),显示右上叶部分实性腺癌(箭头)。整体直径(箭头之间)为1.5厘米,实性成分(短箭头)仅为0.4厘米,符合临床T分期描述为T1(mi)。在部分实性结节中,由于实性成分与侵袭性癌症的相关性更强,因此在分期时使用实性成分,而整体直径仅作为记录。
(B)74岁女性的轴位非增强胸部CT图像(肺窗),显示右下叶部分实性腺癌(箭头),整体直径为4.5厘米(箭头之间),实性成分(短箭头)为1.5厘米,符合临床T分期描述为T1b。
(C)61岁女性的冠状重建非增强胸部CT图像(肺窗),显示右上叶实性腺癌(箭头),大小为2.4厘米,符合T1c期。

图2. 三例T2期肺癌患者。
(A)69岁男性非小细胞肺癌(NSCLC)患者的冠状重建非增强胸部CT图像(肺窗),显示右下叶上段有一个肿块(箭头),大小为3.5厘米,侵犯了脏层胸膜(短箭头),手术后组织学确认,符合T2a期。
(B)74岁女性NSCLC患者的冠状重建增强胸部CT图像(软组织窗),显示右肺中央肿块(箭头)无法测量,肿块涉及右下叶支气管并导致右下叶肺不张(短箭头),符合T2a期。
(C)71岁女性NSCLC患者的冠状重建增强胸部CT图像(软组织窗),显示左肺中央肿块(箭头),大小为4.2厘米,侵犯肺门和左主支气管(短箭头),但未涉及气管分叉,符合T2b期。

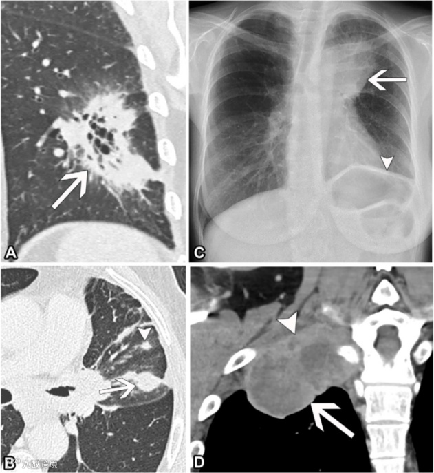
图3. 四例T3期肺癌患者。
(A)71岁女性非小细胞肺癌(NSCLC)患者的冠状重建非增强胸部CT图像(肺窗),显示左下叶有一个肿块(箭头),最大平面尺寸为5.8厘米。
(B)68岁男性NSCLC患者的轴位非增强胸部CT图像(肺窗),显示左上叶的原发肿瘤(箭头),并在同一叶内有一个独立的肿块结节(短箭头)。
(C)62岁女性NSCLC患者的后前位胸部X光片,显示左上叶的肿块(箭头),侵犯左膈神经(未显示),导致左膈肌升高(短箭头),因左膈神经受累所致。
(D)46岁男性NSCLC患者的冠状重建增强胸部CT图像(软组织窗),显示右侧上纵隔肿瘤(箭头),侵犯胸壁和第一肋骨(短箭头),但未侵犯椎骨、脊髓管或臂丛神经。

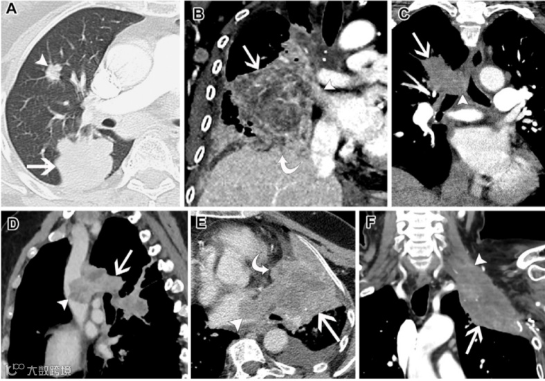
图4. 六例T4期肺癌患者。
(A)77岁女性非小细胞肺癌(NSCLC)患者的轴位非增强胸部CT图像(肺窗),显示右下叶肿块(箭头),并伴有右中叶的独立肿块结节(短箭头)。
(B)57岁女性NSCLC患者的冠状增强胸部CT图像(软组织窗),显示右肺的大型中央肿块(直箭头),侵犯纵隔(短箭头)和右膈肌(弯箭头)。
(C)73岁女性NSCLC患者的冠状重建增强胸部CT图像(软组织窗),显示右上叶肺肿块(箭头),侵犯气管远端和气管分叉(短箭头)。
(D)60岁女性NSCLC患者的矢状重建增强胸部CT图像(软组织窗),显示右上叶和右下叶均受累的肿块(箭头),并突入上腔静脉(短箭头)。
(E)64岁女性NSCLC患者的轴位增强胸部CT图像(软组织窗),显示左下叶肺癌(直箭头),侵犯心包和心外膜脂肪(弯箭头),并涉及左心房(短箭头)。
(F)63岁女性NSCLC患者的冠状重建增强胸部CT图像(软组织窗),显示左上叶上纵隔肿瘤(箭头),侵犯C8水平以上的左臂丛神经(短箭头)。

图5.纵膈淋巴结影像学示意图。
A-C为横断位;D为冠状位。气管的左侧壁,而非中线,作为2R和2L(A中的白线所示)以及4R和4L站点之间的边界(B中的绿色和蓝色区域所示)。Arch = aortic arch(主动脉弓),Asc. Ao = ascending aorta(升主动脉),Azygos V. = azygos vein(奇静脉),BCA = brachiocephalic artery(头臂动脉),Bronc. Inter. = bronchus intermedius(中间支气管),Des. Ao = descending aorta(降主动脉),Esp = esophagus(食管),LBCV = left brachiocephalic vein(左头臂静脉),LLL bronc = left lower lobe bronchus(左下叶支气管),LPA = left pulmonary artery(左肺动脉),LSCA = left subclavian artery(左锁骨下动脉),MPA = main pulmonary artery(主肺动脉),RBCV = right brachiocephalic vein(右头臂静脉),RPA = right pulmonary artery(右肺动脉),SVC = superior vena cava(上腔静脉),Tr = trachea(气管)。

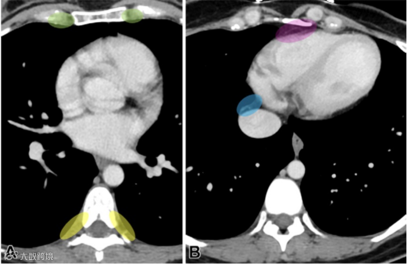
图6.位于胸部但并非区域性胸部淋巴结受累的区域。
(A)在左心房水平获取的轴位CT图像显示了内乳(绿色区域)和肋间(黄色区域)区域。
(B)在心脏基底水平获取的轴位CT图像显示了横膈上淋巴结前组(粉色区域)和中组(蓝色区域)区域。腋窝淋巴结或上述图像中展示的淋巴结区域,均被归类为远处转移(M1)。

图7. 插图展示了TNM-9肺癌分期系统中的N分类。
(A)N1未改变:同侧支气管旁、肺门和/或肺内转移淋巴结。
(B)N2a分类为第9版TNM分期新出现:单一站点的同侧纵隔或隆突下转移淋巴结。此插图显示了4R站点的一个转移淋巴结和同侧肺门的几个N1淋巴结。
(C)N2b分类为第9版TNM分期新出现:多站点的同侧纵隔和隆突下转移淋巴结。此插图显示了4R站点的两个转移淋巴结和7站点的一个淋巴结。
(D)N3未改变:对侧纵隔/肺门淋巴结转移;同侧或者对侧斜角肌间隙、锁骨上转移淋巴结。此插图中构成N3的淋巴结是对侧4L淋巴结和同侧锁骨上1R淋巴结。新的N2子集将N2分为N2a和N2b,基于IASLC淋巴结站点的数量,而不是淋巴结的数量,因为淋巴结计数不可靠。

图8. 54岁男性非小细胞肺癌(NSCLC)患者的N1期病变。
(A)轴位增强胸部CT图像(软组织窗)显示右上叶原发肿瘤(箭头)以及右肺门10R站点的单个转移性N1淋巴结(短箭头)。
(B)与A图像相同水平的轴位融合氟代脱氧葡萄糖(FDG)PET/CT图像显示该淋巴结(短箭头)呈FDG高摄取,代谢程度与原发肿瘤(箭头)相似。

图9. 65岁男性非小细胞肺癌(NSCLC)患者的N2a期病变。
(A)轴位增强胸部CT图像(软组织窗)显示右上叶原发肿瘤(箭头),并且在同侧气管旁4R站点发现单一站点的转移性N2淋巴结(短箭头)。
与A图像相同水平的轴位融合氟代脱氧葡萄糖(FDG)PET/CT图像(B)显示该淋巴结(短箭头)呈FDG高摄取,类似于原发肿瘤(箭头)。

图10. 53岁女性非小细胞肺癌(NSCLC)患者的N2b期病变。
不同水平的轴位融合氟代脱氧葡萄糖(FDG)PET/CT图像显示右下叶有一个FDG高摄取肿块(A中的箭头),并且在同侧4R和7站点发现多个站点的转移性FDG高摄取N2淋巴结(短箭头)。


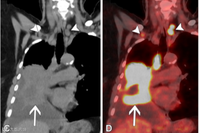
图11.两例N3期病变患者。
(A,B)63岁女性非小细胞肺癌(NSCLC)患者的冠状重建增强胸部CT图像(软组织窗)(A)显示左上叶原发肿瘤(箭头)直接侵犯左肺门,并且在对侧4R站点发现转移性N3淋巴结(短箭头)。与A图像相同水平的冠状融合FDG PET/CT图像(B)显示这些淋巴结(短箭头)呈FDG高摄取,类似于原发肿瘤(箭头)。
(C,D)58岁男性NSCLC患者的冠状重建未增强胸部CT图像(软组织窗)(C)显示右下叶原发肿瘤侵犯右肺门(箭头),并且在1R和1L站点发现转移性N3双侧低颈淋巴结(短箭头)。与C图像相同水平的冠状融合FDG PET/CT图像(D)显示这些淋巴结(短箭头)呈FDG高摄取,类似于原发肿瘤(箭头)。对于锁骨上淋巴结(1号站点)受累,无论是同侧还是对侧淋巴结受累,均视为N3期病变。


图12. 插图展示了TNM肺癌分期系统第九版中新增加的M1c分类。
(A)M1c1期病变是指在单一器官系统内的多个胸外转移。
(B)M1c2期是指在多个器官系统内的多个胸外转移。

图13. 三例M1a期转移性病变患者。
(A)59岁女性非小细胞肺癌(NSCLC)患者的冠状增强胸部CT图像(肺窗)显示右上叶原发肿瘤(箭头),左下叶有额外的肿块结节(短箭头);右下叶可见另一个转移灶。
(B)63岁男性NSCLC患者的轴位增强胸部CT图像(软组织窗)显示右上叶原发肿瘤(箭头)侵犯右肺门,伴右侧胸膜转移(短箭头),导致胸膜积液。
(C)75岁男性NSCLC患者的轴位增强胸部CT图像(软组织窗)显示右下叶肿块(箭头),伴有心包转移,包绕心包(短箭头)。

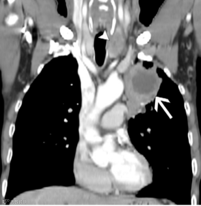
图14. 61岁男性非小细胞肺癌(NSCLC)患者的M1b期转移性病变。
增强胸部CT扫描的冠状重建图像(软组织窗)显示左上叶原发肿瘤(箭头),并且在左侧甲状腺叶发现一个单一的、经组织学证实的转移灶(短箭头)。

图15. 64岁男性非小细胞肺癌(NSCLC)患者的M1c1期转移性病变。
增强胸部CT扫描的冠状重建图像(软组织窗)显示左上叶肿块(箭头)侵犯纵隔,并且仅在肝脏内发现多个转移灶(短箭头)。

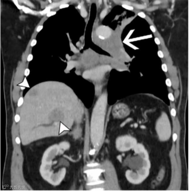
图16. 65岁男性非小细胞肺癌(NSCLC)患者的M1c2期转移性病变。
(A)增强胸部CT扫描的冠状重建图像(软组织窗)显示右上叶原发肿瘤(直箭头)侵犯纵隔,并在肝脏(短箭头)和左肾上腺(弯箭头)发现转移灶。
(B)与A图像相同水平的冠状融合FDG PET/CT图像显示这些转移灶(短箭头和弯箭头)呈FDG高摄取,类似于原发肿瘤(直箭头)。


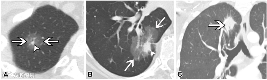
图17. 70岁男性非小细胞肺癌(NSCLC)患者的多灶性磨玻璃影或鳞状病灶(多灶性腺癌)。
左上叶的部分实性结节(箭头之间)为主病灶,其总直径为2.2厘米,其中实性成分为1.2厘米;这通常会被描述为T1b期病变。然而,在双肺中还有多个磨玻璃结节(短箭头)。对于多发磨玻璃结节或鳞状肿瘤,国际肺癌学会(IASLC)建议使用主病灶进行T分期。
由于存在多个额外的磨玻璃结节,总体描述为T1b(m),其中“m”代表多个。在计算主病灶以外的磨玻璃恶性病灶时,仅包括直径大于5mm的结节,因为直径小于5mm的结节被认为是非典型腺瘤样增生,这是肺腺癌的前驱病变。
第9版肺癌TNM分期相比第8版其主要更新发生在N2和M1c,其具体变化见下表。
参考文献
https://pubs.rsna.org/doi/10.1148/rg.240057
http://zhyxh.99885.net/#/details?id=1495697
·END·
精彩推荐:
力荐!医学影像专业必关注的8个公众号
全网最全的解剖图库,千万不要错过 300+神经、头颈系统超全影像文章汇总
全网最全头颅影像解剖学,不容错过(更新版) 全网最全大关节影像解剖,不容错过(更新版) 影像科急诊必备手册,必点收藏 脊柱、脊髓解剖及常见疾病汇总(41篇) 乳腺解剖及影像学检查详细汇总 心胸系统文章汇总(132篇) 全网最全全身X线高清图谱
![]()
更多精彩医学影像内容,尽在鼎湖影像 权威医学影像公众号,欢迎您的关注↓↓
↓↓ 欢迎进入鼎湖学堂





