来源:核医之家
检查出肿瘤,许多患者和家属的第一反应是尽快切除,但这种急切的冲动并非总是明智之举。在决定是否进行手术之前,必须弄清楚肿瘤是良性还是恶性、有没有淋巴结和远处转移。如果肿瘤只是无害的过客,那么动刀就显得小题大做了;对于那些已经发生多处转移、错过了最佳手术时机的肿瘤,可以选择放疗、化疗等治疗方法,避免给病情雪上加霜。
是否存在一种检查手段,既能精确地找出病灶、判断肿瘤良恶性,又能确定病变阶段,并评估手术的可行性呢?
PET/CT就是这样一种检查技术。
1 PET/CT:肿瘤诊断的利器
PET/CT检查是目前世界上公认的肿瘤筛查最有用的工具之一,通过一次全身PET/CT扫描,可以帮助判断大多数肿瘤的良恶性、寻找肿瘤原发灶、鉴别肿瘤有无复发转移、进行精准的术前分期,从而指导医生制定个体化的治疗方案。
据报道,PET/CT可以改变约40%肿瘤患者的分期,改变其治疗方式,避免了不必要的手术治疗、放化疗等,进而也提高了治疗的科学性、安全性和有效性。

PET/CT能够在早期判断肿瘤的良恶性,帮助指导治疗方式的选择。

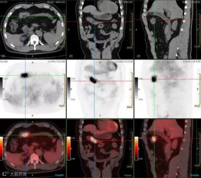
54岁男性,横结肠近段肠壁增厚,PET/CT检查提示18F-FDG代谢增高,诊断为结肠癌。疾病早期的PET/CT检查为患者进行临床治疗赢取了宝贵时间。
PET/CT在肿瘤分期中发挥着重要作用,它能够准确判断肿瘤是否有转移,避免了多种检查延误疾病诊断,以及对良性肿瘤不必要的手术和过度治疗,减轻患者的痛苦和经济负担。

老年男性,CT发现肺癌1周,拟行手术治疗。做PET/CT进行术前分期,发现右侧胸膜种植转移,避免了不必要的手术治疗。
PET/CT能够评估肿瘤治疗的疗效,及时调整治疗方案,减少不必要的治疗方法和剂量。

多发骨髓瘤患者化疗后进行PET/CT随访,显示患者多处肌肉及皮下新增病灶,提示化疗效果不佳,及时更换了治疗方案。
2 PET/CT检查费用
PET/CT检查效果出色,无疑是肿瘤患者的福音。但是高昂的费用令一部分患者望而却步,一次全身PET/CT检查的费用大约在9000~12000元之间,且通常需要自费。目前越来越多的地区开始将PET/CT纳入医保支付范围。如深圳已将PET/CT纳入医保,最高可报销95%。浙江省已将PET/CT纳入大病保险支付范围,价格调整为5300元/次,这显著减轻了肿瘤患者的医疗费用负担。
国家医保局表示将进一步指导各地落实好医疗服务价格动态调整机制,推动检查检验类医疗服务价格合理下降。有了医保政策的支持,越来越多的肿瘤患者能够接受PET/CT检查,从而获得更精准的治疗方案,减少不必要的手术和医疗费用。
所以,得了肿瘤,千万不要着急 “一切了之”,PET/CT检查可以帮助患者揪出病灶,判断是否适合进行手术,并指导做出合理的治疗计划。希望患者都能实现最好的治疗效果!
·END·
精彩推荐:
力荐!医学影像专业必关注的8个公众号
全网最全的解剖图库,千万不要错过
300+神经、头颈系统超全影像文章汇总
全网最全头颅影像解剖学,不容错过(更新版)
全网最全大关节影像解剖,不容错过(更新版)
影像科急诊必备手册,必点收藏
脊柱、脊髓解剖及常见疾病汇总(41篇)
乳腺解剖及影像学检查详细汇总
心胸系统文章汇总(132篇)
全网最全全身X线高清图谱
更多精彩医学影像内容,尽在鼎湖影像
权威医学影像公众号,欢迎您的关注↓↓
↓↓ 欢迎进入鼎湖学堂





