气胸是肺部穿刺活检及消融等穿刺技术操作后最常见的并发症,其发生率约为2.4%~60%左右。其中约20%的气胸患者为缓解症状或者继续操作、治疗的需要需行胸腔置管引流。
多数气胸出现在术中操作过程中或术后1小时内,部分患者出现术后24小时以上的迟发性气胸,提示我们术后需严密监视患者症状,一旦出现气紧等症状需立即行胸片或胸部CT明确有无气胸、出血等情况。如气胸未及时治疗或效果欠佳,可能出现皮下气肿等症。
病灶及操作因素:如有学者认为肺上叶的病灶相对更容易发生气胸[1],此外,病灶位置较深、病灶直径小;反复穿刺、穿刺针与胸膜切面不垂直、多次穿刺胸膜或者穿刺路径经过叶间裂、肺气肿等都是气胸的高危因素[2]。
少量气胸、无症状和稳定性气胸无需特殊治疗。当气胸范围超过30%,或者气胸范围持续增大、出现严重症状、影响后续治疗或者操作时可以行置管抽吸或者胸腔闭式引流。
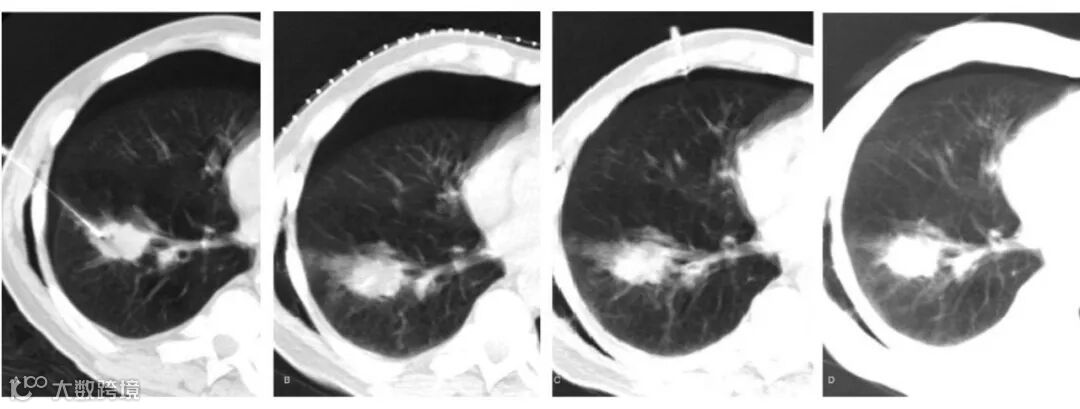
76岁女性,肺穿刺活检后气胸范围增大(A、B);更换穿刺点行气体抽吸(C);最后复查显示气胸明显好转(D)。
有学者提出使用明胶海绵颗粒封堵穿刺道可以有效控制术中气胸发生率[3]。其具体操作如下图示:
明胶海绵颗粒与生理盐水通过三通装置反复抽吸,使明胶海绵颗粒呈浆液状,在穿刺活检后于病灶内同轴针注入适量明胶海绵后缓慢拔除同轴针,明胶海绵用量和病灶位置、穿刺深度相关。
[1] Ng BH, Low HJ, Nuratiqah NA, Soo CI, Imree A, Mas FMJ, Azat AA, Faisal AH, Andrea BYL. Predictive risk factors for pneumothorax following fluoroscopic-guided transbronchial lung biopsy. Med J Malaysia. 2023 Dec;78(7):897-900.
[2] Sargent T, Kolderman N, Nair GB, Jankowski M, Al-Katib S. Risk Factors for Pneumothorax Development Following CT-Guided Core Lung Nodule Biopsy. J Bronchology Interv Pulmonol. 2022 Jul 1;29(3):198-205.
[3] Sum R, Lau T, Paul E, Lau K. Gelfoam slurry tract occlusion after computed tomography-guided percutaneous lung biopsy: Does it prevent major pneumothorax? J Med Imaging Radiat Oncol. 2021 Oct;65(6):678-685.
·END·
精彩推荐:
力荐!医学影像专业必关注的8个公众号
全网最全的解剖图库,千万不要错过 300+神经、头颈系统超全影像文章汇总
全网最全头颅影像解剖学,不容错过(更新版) 全网最全大关节影像解剖,不容错过(更新版) 影像科急诊必备手册,必点收藏 脊柱、脊髓解剖及常见疾病汇总(41篇) 乳腺解剖及影像学检查详细汇总 心胸系统文章汇总(132篇) 全网最全全身X线高清图谱
![]()
更多精彩医学影像内容,尽在鼎湖影像 权威医学影像公众号,欢迎您的关注↓↓
↓↓ 欢迎进入鼎湖学堂





